TMCO3 Antibody - BSA Free
Novus Biologicals, part of Bio-Techne | Catalog # NBP2-47603
Key Product Details
Species Reactivity
Validated:
Human
Predicted:
Mouse (93%), Rat (93%). Backed by our 100% Guarantee.
Applications
Immunohistochemistry, Immunohistochemistry-Paraffin, Immunocytochemistry/ Immunofluorescence
Label
Unconjugated
Antibody Source
Polyclonal Rabbit IgG
Format
BSA Free
Concentration
Concentrations vary lot to lot. See vial label for concentration. If unlisted please contact technical services.
Product Specifications
Immunogen
This antibody was developed against a recombinant protein corresponding to amino acids: RIKPTQSVFISTCLSLSSTPLVSRFLMGSARGDKEGDIDYSTVLLGMLVTQDVQL
Clonality
Polyclonal
Host
Rabbit
Isotype
IgG
Description
Novus Biologicals Rabbit TMCO3 Antibody - BSA Free (NBP2-47603) is a polyclonal antibody validated for use in IHC and ICC/IF. All Novus Biologicals antibodies are covered by our 100% guarantee.
Scientific Data Images for TMCO3 Antibody - BSA Free
Immunocytochemistry/ Immunofluorescence: TMCO3 Antibody [NBP2-47603]
Immunocytochemistry/Immunofluorescence: TMCO3 Antibody [NBP2-47603] - Immunofluorescent staining of human cell line A-431 shows localization to cytosol.Immunohistochemistry: TMCO3 Antibody [NBP2-47603]
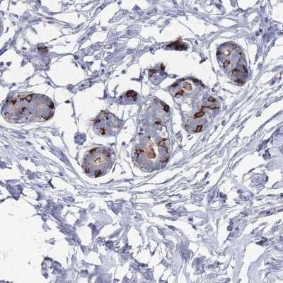
Immunohistochemistry: TMCO3 Antibody [NBP2-47603] - Staining of human breast shows strong cytoplasmic positivity in subset of glandular cells.Applications for TMCO3 Antibody - BSA Free
Application
Recommended Usage
Immunocytochemistry/ Immunofluorescence
0.25-2 ug/ml
Immunohistochemistry
1:500 - 1:1000
Immunohistochemistry-Paraffin
1:500 - 1:1000
Application Notes
For IHC-Paraffin, HIER pH 6 retrieval is recommended. Immunocytochemistry/Immunofluorescence Fixation Permeabilization: Use PFA/Triton X-100.
Formulation, Preparation, and Storage
Purification
Affinity purified
Formulation
PBS (pH 7.2) and 40% Glycerol
Format
BSA Free
Preservative
0.02% Sodium Azide
Concentration
Concentrations vary lot to lot. See vial label for concentration. If unlisted please contact technical services.
Shipping
The product is shipped with polar packs. Upon receipt, store it immediately at the temperature recommended below.
Stability & Storage
Store at 4C short term. Aliquot and store at -20C long term. Avoid freeze-thaw cycles.
Background: TMCO3
Alternate Names
B230339H12Rik, C13orf11, chromosome 13 open reading frame 11, FLJ20623, Putative LAG1-interacting protein, transmembrane and coiled-coil domain-containing protein 3, transmembrane and coiled-coil domains 3
Gene Symbol
TMCO3
Additional TMCO3 Products
Product Documents for TMCO3 Antibody - BSA Free
Product Specific Notices for TMCO3 Antibody - BSA Free
This product is for research use only and is not approved for use in humans or in clinical diagnosis. Primary Antibodies are guaranteed for 1 year from date of receipt.
Loading...
Loading...
Loading...
Loading...