TMC7 Antibody - BSA Free
Novus Biologicals, part of Bio-Techne | Catalog # NBP1-83621
Key Product Details
Species Reactivity
Human
Applications
Immunohistochemistry, Immunohistochemistry-Paraffin, Immunocytochemistry/ Immunofluorescence
Label
Unconjugated
Antibody Source
Polyclonal Rabbit IgG
Format
BSA Free
Concentration
Concentrations vary lot to lot. See vial label for concentration. If unlisted please contact technical services.
Product Specifications
Immunogen
This antibody was developed against Recombinant Protein corresponding to amino acids: LDSSCFSSPPVNFLQELPSYRSIARRRTTVHSRDKQSGTLLKPTDSYSSQLEDRIAENLSSHSLRNYALNISEKRRLRDIQETQMKYLSEWDQWKRYSSKSWKRFLEKAREMTTHLE
Reactivity Notes
Immunogen displays the following percentage of sequence identity for non-tested species: Mouse (86%), Rat (85%)
Clonality
Polyclonal
Host
Rabbit
Isotype
IgG
Scientific Data Images for TMC7 Antibody - BSA Free
Immunocytochemistry/ Immunofluorescence: TMC7 Antibody [NBP1-83621]
Immunocytochemistry/Immunofluorescence: TMC7 Antibody [NBP1-83621] - Immunofluorescent staining of human cell line U-2 OS shows localization to vesicles.Immunohistochemistry-Paraffin: TMC7 Antibody [NBP1-83621] -
Immunohistochemistry-Paraffin: TMC7 Antibody [NBP1-83621] -Staining of human rectum shows strong cytoplasmic positivity in glandular cells.Immunohistochemistry-Paraffin: TMC7 Antibody [NBP1-83621] -
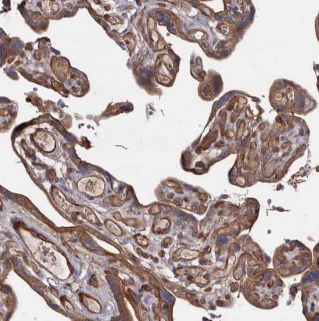
Immunohistochemistry-Paraffin: TMC7 Antibody [NBP1-83621] -Staining of human plancenta shows strong cytoplasmic positivity in trophoblastic cells.Applications for TMC7 Antibody - BSA Free
Application
Recommended Usage
Immunocytochemistry/ Immunofluorescence
0.25-2 ug/ml
Immunohistochemistry
1:50 - 1:200
Immunohistochemistry-Paraffin
1:50 - 1:200
Application Notes
For IHC-Paraffin, HIER pH 6 retrieval is recommended. ICC/IF, Fixation Permeabilization: Use PFA/Triton X-100.
Formulation, Preparation, and Storage
Purification
Affinity purified
Formulation
PBS (pH 7.2) and 40% Glycerol
Format
BSA Free
Preservative
0.02% Sodium Azide
Concentration
Concentrations vary lot to lot. See vial label for concentration. If unlisted please contact technical services.
Shipping
The product is shipped with polar packs. Upon receipt, store it immediately at the temperature recommended below.
Stability & Storage
Store at 4C short term. Aliquot and store at -20C long term. Avoid freeze-thaw cycles.
Background: TMC7
Alternate Names
DKFZp781O2274, FLJ21240, transmembrane channel-like 7, transmembrane channel-like protein 7
Gene Symbol
TMC7
Additional TMC7 Products
Product Documents for TMC7 Antibody - BSA Free
Product Specific Notices for TMC7 Antibody - BSA Free
This product is for research use only and is not approved for use in humans or in clinical diagnosis. Primary Antibodies are guaranteed for 1 year from date of receipt.
Loading...
Loading...
Loading...
Loading...