Skip to main content

TM4SF1/L6 Antibody - BSA Free

Novus Biologicals, part of Bio-Techne | Catalog # NBP1-76549

Novus Biologicals, part of Bio-Techne

Key Product Details

Species Reactivity

Validated:

Human, Mouse, Rat

Cited:

Human

Applications

Validated:

Immunohistochemistry, Immunohistochemistry-Paraffin, Western Blot, ELISA, Immunocytochemistry/ Immunofluorescence

Cited:

Immunohistochemistry-Paraffin

Label

Unconjugated

Antibody Source

Polyclonal Rabbit IgG

Format

BSA Free

Concentration

1 mg/ml

Product Specifications

Immunogen

Antibody was raised against an 18 amino acid synthetic peptide near the amino terminus of human TM4SF1. The immunogen is located within the first 50 amino acids of TM4SF1. Amino Acid Squence: LYFPNGETKYASENHLSR

Specificity

At least three isoforms of TM4SF1 are known to exist; this antibody will recognize only the two largest isoforms. TM4SF1 antibody is predicted to not cross-react with other tetraspanin proteins.

Clonality

Polyclonal

Host

Rabbit

Isotype

IgG

Description

Novus Biologicals Rabbit TM4SF1/L6 Antibody - BSA Free (NBP1-76549) is a polyclonal antibody validated for use in IHC, WB, ELISA and ICC/IF. Anti-TM4SF1/L6 Antibody: Cited in 1 publication. All Novus Biologicals antibodies are covered by our 100% guarantee.

Scientific Data Images for TM4SF1/L6 Antibody - BSA Free

Western Blot: TM4SF1/L6 AntibodyBSA Free [NBP1-76549]

Western Blot: TM4SF1/L6 AntibodyBSA Free [NBP1-76549]

Western Blot: TM4SF1/L6 Antibody [NBP1-76549] - Human lung tissue lysate with TM4SF1 antibody at (A) 0.5 and (B) 1 ug/mL.
Immunohistochemistry-Paraffin: TM4SF1/L6 Antibody - BSA Free [NBP1-76549]

Immunohistochemistry-Paraffin: TM4SF1/L6 Antibody - BSA Free [NBP1-76549]

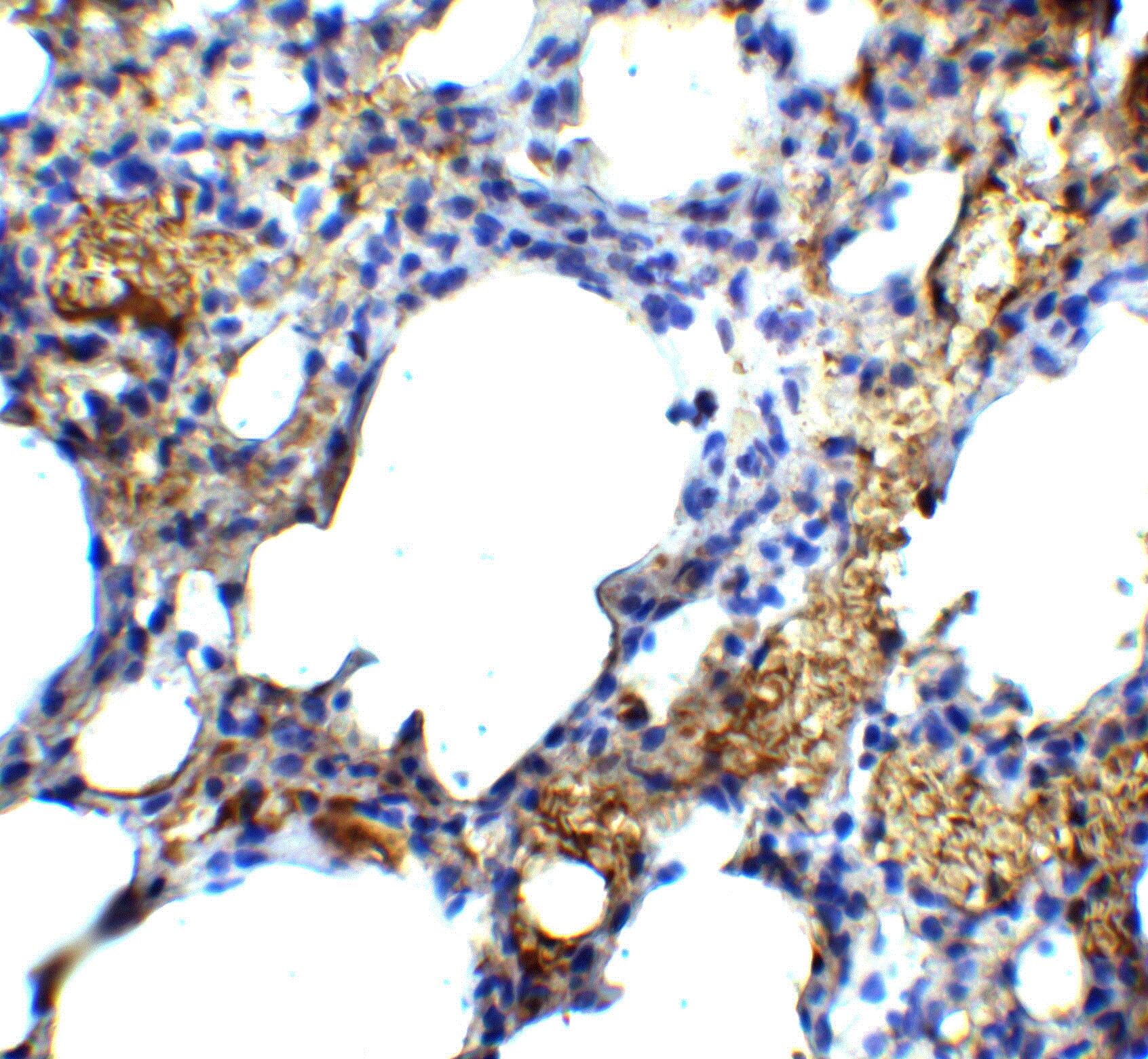
Immunohistochemistry-Paraffin: TM4SF1/L6 Antibody [NBP1-76549] - Mouse lung tissue with TM4SF1 antibody at 2 ug/mL.
Immunohistochemistry-Paraffin: TM4SF1/L6 Antibody - BSA Free [NBP1-76549]

Immunohistochemistry-Paraffin: TM4SF1/L6 Antibody - BSA Free [NBP1-76549]

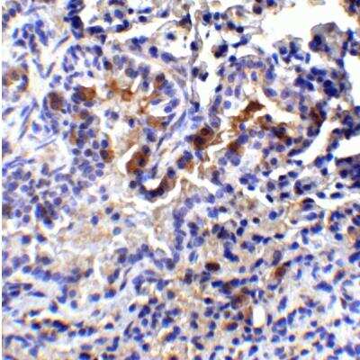
Immunohistochemistry-Paraffin: TM4SF1/L6 Antibody [NBP1-76549] - Human lung tissue with TM4SF1 antibody at 5 ug/mL.

Applications for TM4SF1/L6 Antibody - BSA Free

Application
Recommended Usage

ELISA

1:100-1:2000

Immunocytochemistry/ Immunofluorescence

20 ug/ml

Immunohistochemistry

5 ug/ml

Western Blot

0.5-1 ug/ml

Formulation, Preparation, and Storage

Purification

Peptide affinity purified

Formulation

PBS

Format

BSA Free

Preservative

0.02% Sodium Azide

Concentration

1 mg/ml

Shipping

The product is shipped with polar packs. Upon receipt, store it immediately at the temperature recommended below.

Stability & Storage

Store at 4C short term. Aliquot and store at -20C long term. Avoid freeze-thaw cycles.

Background: TM4SF1/L6

TM4SF1 is a member of the transmembrane 4 superfamily, also known as the tetraspanin family. Most of these members are cell-surface proteins that are characterized by the presence of four hydrophobic domains and mediate signal transduction events that play a role in the regulation of cell development, activation, growth and motility. TM4SF1 is a cell surface antigen and is highly expressed in the vascular endothelium of several human cancers. Knockdown experiments of TM4SF1 prevented filopodia formation, inhibited cell mobility, blocked cytokinesis, and inhibited maturation of VEGF-A-induced angiogenesis, suggesting that TM4SF1 may be an attractive target for anti-angiogenesis therapy.

Long Name

Transmembrane 4 L Six Family Member 1

Alternate Names

L6, M3s1, TAAL6

Entrez Gene IDs

4071 (Human); 17112 (Mouse)

Gene Symbol

TM4SF1

UniProt

Additional TM4SF1/L6 Products

Product Documents for TM4SF1/L6 Antibody - BSA Free

Certificate of Analysis

To download a Certificate of Analysis, please enter a lot number in the search box below.

Product Specific Notices for TM4SF1/L6 Antibody - BSA Free

This product is for research use only and is not approved for use in humans or in clinical diagnosis. Primary Antibodies are guaranteed for 1 year from date of receipt.

Loading...
Loading...
Loading...
Loading...