TIPIN Antibody - BSA Free
Novus Biologicals, part of Bio-Techne | Catalog # NBP1-83650
Key Product Details
Validated by
Orthogonal Validation
Species Reactivity
Human
Applications
Immunohistochemistry, Immunohistochemistry-Paraffin
Label
Unconjugated
Antibody Source
Polyclonal Rabbit IgG
Format
BSA Free
Concentration
Concentrations vary lot to lot. See vial label for concentration. If unlisted please contact technical services.
Product Specifications
Immunogen
This antibody was developed against Recombinant Protein corresponding to amino acids: EEQQQRIERNKQLALERRQAKLLSNSQTLGNDMLMNTPRAHTVEEVNTDEDQKEESNGLNEDILDNPCNDAIA
Reactivity Notes
Reactivity reported in scientific literature (PMID: 23435261)
Clonality
Polyclonal
Host
Rabbit
Isotype
IgG
Scientific Data Images for TIPIN Antibody - BSA Free
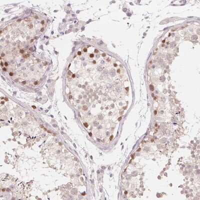
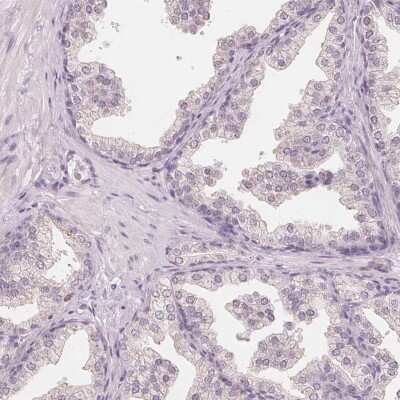
Immunohistochemistry-Paraffin: TIPIN Antibody [NBP1-83650]
Immunohistochemistry-Paraffin: TIPIN Antibody [NBP1-83650] - Staining of human prostate shows low expression as expected.Immunohistochemistry-Paraffin: TIPIN Antibody [NBP1-83650]
Immunohistochemistry-Paraffin: TIPIN Antibody [NBP1-83650] - Staining of human testis shows high expression.Applications for TIPIN Antibody - BSA Free
Application
Recommended Usage
Immunohistochemistry
1:2500 - 1:5000
Immunohistochemistry-Paraffin
1:2500 - 1:5000
Application Notes
For IHC-Paraffin, HIER pH 6 retrieval is recommended.
Formulation, Preparation, and Storage
Purification
Affinity purified
Formulation
PBS (pH 7.2) and 40% Glycerol
Format
BSA Free
Preservative
0.02% Sodium Azide
Concentration
Concentrations vary lot to lot. See vial label for concentration. If unlisted please contact technical services.
Shipping
The product is shipped with polar packs. Upon receipt, store it immediately at the temperature recommended below.
Stability & Storage
Store at 4C short term. Aliquot and store at -20C long term. Avoid freeze-thaw cycles.
Background: TIPIN
Alternate Names
FLJ20516, TIMELESS interacting protein, TIMELESS-interacting protein
Gene Symbol
TIPIN
Additional TIPIN Products
Product Documents for TIPIN Antibody - BSA Free
Product Specific Notices for TIPIN Antibody - BSA Free
This product is for research use only and is not approved for use in humans or in clinical diagnosis. Primary Antibodies are guaranteed for 1 year from date of receipt.
Loading...
Loading...
Loading...
Loading...