Skip to main content

TIP60 Antibody - BSA Free

Novus Biologicals, part of Bio-Techne | Catalog # NBP2-20647

Novus Biologicals, part of Bio-Techne
Catalog #
Availability
Size / Price
Qty
Loading...
NBP2-20647

Key Product Details

Species Reactivity

Validated:

Human, Mouse

Cited:

Human

Predicted:

Bovine (98%), Porcine (99%). Backed by our 100% Guarantee.

Applications

Validated:

Immunohistochemistry, Immunohistochemistry-Paraffin, Western Blot, Immunoprecipitation

Cited:

Western Blot, Immunoprecipitation

Label

Unconjugated

Antibody Source

Polyclonal Rabbit IgG

Format

BSA Free

Concentration

Concentrations vary lot to lot. See vial label for concentration. If unlisted please contact technical services.

Product Specifications

Immunogen

Recombinant protein encompassing a sequence within the center region of human TIP60. The exact sequence is proprietary.

Localization

Nucleus; nucleolus; Cytoplasm; perinuclear region

Clonality

Polyclonal

Host

Rabbit

Isotype

IgG

Theoretical MW

59 kDa.
Disclaimer note: The observed molecular weight of the protein may vary from the listed predicted molecular weight due to post translational modifications, post translation cleavages, relative charges, and other experimental factors.

Description

Novus Biologicals Rabbit TIP60 Antibody - BSA Free (NBP2-20647) is a polyclonal antibody validated for use in IHC, WB and IP. Anti-TIP60 Antibody: Cited in 2 publications. All Novus Biologicals antibodies are covered by our 100% guarantee.

Scientific Data Images for TIP60 Antibody - BSA Free

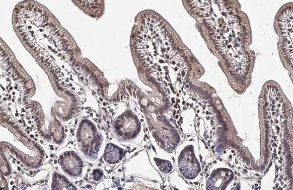
TIP60 Antibody - BSA Free

Immunohistochemistry-Paraffin: TIP60 Antibody [NBP2-20647] -

TIP60 antibody detects TIP60 protein at cytoplasm and nucleus by immunohistochemical analysis.
Sample: Paraffin-embedded mouse intestine.
TIP60 stained by TIP60 antibody (NBP2-20647) diluted at 1:200.
Antigen Retrieval: Citrate buffer, pH 6.0, 15 min
TIP60 Antibody - BSA Free

Western Blot: TIP60 Antibody [NBP2-20647] -

Jurkat whole cell and nuclear extracts (30 ug) were separated by 10% SDS-PAGE, and the membrane was blotted with TIP60 antibody (NBP2-20647) diluted at 1:500. The HRP-conjugated anti-rabbit IgG antibody was used to detect the primary antibody.
TIP60 Antibody - BSA Free

Immunohistochemistry: TIP60 Antibody [NBP2-20647] -

Immunohistochemical analysis of paraffin-embedded Hela xenograft, using TIP60(NBP2-20647) antibody at 1:500 dilution. br>Antigen Retrieval: Trilogy(TM) (EDTA based, pH 8.0) buffer, 15min

Applications for TIP60 Antibody - BSA Free

Application
Recommended Usage

Immunohistochemistry

1:100-1:1000

Immunohistochemistry-Paraffin

1:100-1:1000

Immunoprecipitation

Reported in scientific literature (PMID: 29320743).

Western Blot

1:500-1:3000

Formulation, Preparation, and Storage

Purification

Antigen Affinity-purified

Formulation

PBS, 20% Glycerol

Format

BSA Free

Preservative

0.025% Proclin 300

Concentration

Concentrations vary lot to lot. See vial label for concentration. If unlisted please contact technical services.

Shipping

The product is shipped with polar packs. Upon receipt, store it immediately at the temperature recommended below.

Stability & Storage

Aliquot and store at -20C or -80C. Avoid freeze-thaw cycles.

Background: TIP60

The protein encoded by this gene belongs to the MYST family of histone acetyl transferases (HATs) and was originally isolated as an HIV-1 TAT-interactive protein. HATs play important roles in regulating chromatin remodeling, transcription and other nuclear processes by acetylating histone and nonhistone proteins. This protein is a histone acetylase that has a role in DNA repair and apoptosis and is thought to play an important role in signal transduction. Alternative splicing of this gene results in multiple transcript variants. [provided by RefSeq]

Long Name

Histone acetyltransferase KAT5

Alternate Names

HTATIP, KAT5

Gene Symbol

KAT5

UniProt

Additional TIP60 Products

Product Documents for TIP60 Antibody - BSA Free

Certificate of Analysis

To download a Certificate of Analysis, please enter a lot number in the search box below.

Product Specific Notices for TIP60 Antibody - BSA Free

This product is for research use only and is not approved for use in humans or in clinical diagnosis. Primary Antibodies are guaranteed for 1 year from date of receipt.

Loading...
Loading...
Loading...
Loading...

⚠ WARNING: This product can expose you to chemicals including mercury, which is known to the State of California to cause reproductive toxicity with developmental effects.  For more information go to www.P65Warnings.ca.gov.