Skip to main content

TIMP-2 Antibody (F27 P3 A4)

Novus Biologicals, part of Bio-Techne | Catalog # NB100-74552

Novus Biologicals, part of Bio-Techne
Catalog #
Availability
Size / Price
Qty
Loading...
NB100-74552
NB100-74552-0.025mg

Key Product Details

Species Reactivity

Validated:

Human, Mouse

Predicted:

Bovine (100%), Chicken (100%), Rabbit (100%), Rat (100%). Backed by our 100% Guarantee.

Applications

Immunocytochemistry/ Immunofluorescence, Immunohistochemistry, Immunohistochemistry-Paraffin, Western Blot

Label

Unconjugated

Antibody Source

Monoclonal Mouse IgG2a Kappa Clone # F27 P3 A4

Concentration

1 mg/ml

Product Specifications

Immunogen

Synthetic peptide corresponding to residues D(56) S G N D I Y G N P I(66) of mouse TIMP-2.

Reactivity Notes

Please note that this antibody is reactive to Mouse and derived from the same host, Mouse. Additional Mouse on Mouse blocking steps may be required for IHC and ICC experiments. Please contact Technical Support for more information.

Localization

Secreted

Clonality

Monoclonal

Host

Mouse

Isotype

IgG2a Kappa

Description

Novus Biologicals Mouse TIMP-2 Antibody (F27 P3 A4) (NB100-74552) is a monoclonal antibody validated for use in IHC, WB and ICC/IF. All Novus Biologicals antibodies are covered by our 100% guarantee.

Scientific Data Images for TIMP-2 Antibody (F27 P3 A4)

Immunocytochemistry/ Immunofluorescence: TIMP-2 Antibody (F27 P3 A4) [NB100-74552]

Immunocytochemistry/ Immunofluorescence: TIMP-2 Antibody (F27 P3 A4) [NB100-74552]

Immunocytochemistry/Immunofluorescence: TIMP-2 Antibody (F27 P3 A4) [NB100-74552] - Cells were grown on chamber slides and fixed with formaldehyde prior to staining. Cells were probed without (control) or with a TIMP2 monoclonal antibody at a dilution of 1:200 overnight at 4 C, washed with PBS and incubated with a DyLight-488 conjugated secondary antibody and nuclei with DAPI (blue) is shown.
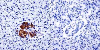
Immunohistochemistry-Paraffin: TIMP-2 Antibody (F27 P3 A4) [NB100-74552]

Immunohistochemistry-Paraffin: TIMP-2 Antibody (F27 P3 A4) [NB100-74552]

Immunohistochemistry-Paraffin: TIMP-2 Antibody (F27 P3 A4) [NB100-74552] - Normal biopsies of deparaffinized Mouse pancreas tissue at a dilution of 1:100.
Immunocytochemistry/ Immunofluorescence: TIMP-2 Antibody (F27 P3 A4) [NB100-74552]

Immunocytochemistry/ Immunofluorescence: TIMP-2 Antibody (F27 P3 A4) [NB100-74552]

Immunocytochemistry/Immunofluorescence: TIMP-2 Antibody (F27 P3 A4) [NB100-74552] - Cells were grown on chamber slides and fixed with formaldehyde prior to staining. Cells were probed without (control) or with a TIMP2 monoclonal antibody at a dilution of 1:200 overnight at 4 C, washed with PBS and incubated with a DyLight-488 conjugated secondary antibody and nuclei with DAPI (blue) is shown.

Applications for TIMP-2 Antibody (F27 P3 A4)

Application
Recommended Usage

Immunocytochemistry/ Immunofluorescence

1 - 2 ug/ml

Immunohistochemistry

1:100 - 1:500

Immunohistochemistry-Paraffin

1:50 - 1:500

Western Blot

1:500
Application Notes
WB: Detects an approx. 18-24 kDa protein representing TIMP-2 from mouse platelets. It is recommended to block with 3% BSA.

Formulation, Preparation, and Storage

Purification

Protein A purified

Formulation

PBS with 1 mg/ml BSA

Preservative

0.05% Sodium Azide

Concentration

1 mg/ml

Shipping

The product is shipped with polar packs. Upon receipt, store it immediately at the temperature recommended below.

Stability & Storage

Store at -20C. Avoid freeze-thaw cycles.

Background: TIMP-2

Tissue inhibitor of metalloproteinases-1 (TIMP-1) and Tissue inhibitor of metalloproteinases-2 (TIMP-2) are inhibitory enzymes of matrix metalloproteinase family. TIMP-1 forms a complex of 1:1 stoichiometry with activated interstitial collagenase, activated stromelysin, active form of 72 kD Type IV collagenase (MMP-2) and latent and active forms 92 kD Type IV collagenase (MMP-9). TIMPs inhibit the proteolytic invasiveness of tumor cells and normal placental trophoblast cells.

Long Name

Tissue Inhibitors of Metalloproteinases 2

Alternate Names

TIMP2

Entrez Gene IDs

21858 (Mouse)

Gene Symbol

TIMP2

UniProt

Additional TIMP-2 Products

Product Documents for TIMP-2 Antibody (F27 P3 A4)

Certificate of Analysis

To download a Certificate of Analysis, please enter a lot number in the search box below.

Product Specific Notices for TIMP-2 Antibody (F27 P3 A4)

This product is for research use only and is not approved for use in humans or in clinical diagnosis. Primary Antibodies are guaranteed for 1 year from date of receipt.

Loading...
Loading...
Loading...
Loading...