Skip to main content

TIMM17B Antibody - BSA Free

Novus Biologicals, part of Bio-Techne | Catalog # NBP1-84036

Novus Biologicals, part of Bio-Techne
Catalog #
Availability
Size / Price
Qty
Loading...
NBP1-84036
NBP1-84036-25ul

Key Product Details

Species Reactivity

Validated:

Human

Predicted:

Mouse (92%), Rat (90%). Backed by our 100% Guarantee.

Applications

Immunohistochemistry, Immunohistochemistry-Paraffin, Western Blot

Label

Unconjugated

Antibody Source

Polyclonal Rabbit IgG

Format

BSA Free

Concentration

Concentrations vary lot to lot. See vial label for concentration. If unlisted please contact technical services.

Product Specifications

Immunogen

This antibody was developed against Recombinant Protein corresponding to amino acids: ILLALIEGVGILLTRYTAQQFRNAPPFLEDPSQLPPKDGTPAPGYPSYQQYH

Clonality

Polyclonal

Host

Rabbit

Isotype

IgG

Description

Novus Biologicals Rabbit TIMM17B Antibody - BSA Free (NBP1-84036) is a polyclonal antibody validated for use in IHC and WB. All Novus Biologicals antibodies are covered by our 100% guarantee.

Scientific Data Images for TIMM17B Antibody - BSA Free

Immunohistochemistry-Paraffin: TIMM17B Antibody [NBP1-84036]

Immunohistochemistry-Paraffin: TIMM17B Antibody [NBP1-84036]

Immunohistochemistry-Paraffin: TIMM17B Antibody [NBP1-84036] - Staining of human placenta shows weak to moderate cytoplasmic positivity in trophoblastic cells.
Immunohistochemistry-Paraffin: TIMM17B Antibody [NBP1-84036]

Immunohistochemistry-Paraffin: TIMM17B Antibody [NBP1-84036]

Immunohistochemistry-Paraffin: TIMM17B Antibody [NBP1-84036] - Staining of human duodenum shows moderate cytoplasmic positivity in glandular cells.
Immunohistochemistry-Paraffin: TIMM17B Antibody [NBP1-84036]

Immunohistochemistry-Paraffin: TIMM17B Antibody [NBP1-84036]

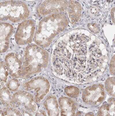
Immunohistochemistry-Paraffin: TIMM17B Antibody [NBP1-84036] - Staining of human kidney shows moderate cytoplasmic positivity in cells in tubules.

Applications for TIMM17B Antibody - BSA Free

Application
Recommended Usage

Immunohistochemistry

1:50 - 1:200

Immunohistochemistry-Paraffin

1:50 - 1:200

Western Blot

0.04-0.4 ug/ml
Application Notes
For IHC-Paraffin, HIER pH 6 retrieval is recommended.

Formulation, Preparation, and Storage

Purification

Affinity purified

Formulation

PBS (pH 7.2) and 40% Glycerol

Format

BSA Free

Preservative

0.02% Sodium Azide

Concentration

Concentrations vary lot to lot. See vial label for concentration. If unlisted please contact technical services.

Shipping

The product is shipped with polar packs. Upon receipt, store it immediately at the temperature recommended below.

Stability & Storage

Store at 4C short term. Aliquot and store at -20C long term. Avoid freeze-thaw cycles.

Background: TIMM17B

The TIMM17B gene encodes a protein that is part of the mitochondrial transport TIMM23 complex. TIM translocase complexes facilitate the transport of mitochondrial proteins from the cytosol across the mitochondrial inner membrane and into the mitochondrion. Two a

Alternate Names

inner mitochondrial membrane preprotein translocase, JM3, mitochondrial import inner membrane translocase subunit Tim17-B, TIM17BDXS9822, translocase of inner mitochondrial membrane 17 homolog B (yeast)

Gene Symbol

TIMM17B

Additional TIMM17B Products

Product Documents for TIMM17B Antibody - BSA Free

Certificate of Analysis

To download a Certificate of Analysis, please enter a lot number in the search box below.

Product Specific Notices for TIMM17B Antibody - BSA Free

This product is for research use only and is not approved for use in humans or in clinical diagnosis. Primary Antibodies are guaranteed for 1 year from date of receipt.

Loading...
Loading...
Loading...
Loading...