Skip to main content

TIF1 gamma Antibody

Novus Biologicals, part of Bio-Techne | Catalog # NB100-57498

Novus Biologicals, part of Bio-Techne
Catalog #
Availability
Size / Price
Qty
Loading...
NB100-57498

Key Product Details

Validated by

Independent Antibodies, Biological Validation

Species Reactivity

Validated:

Human, Mouse

Cited:

Mouse

Applications

Validated:

Immunohistochemistry, Immunohistochemistry-Paraffin, Western Blot, Immunoprecipitation

Cited:

Western Blot

Label

Unconjugated

Antibody Source

Polyclonal Rabbit IgG

Concentration

0.2 mg/ml

Product Specifications

Immunogen

The immunogen recognized by this antibody maps to a region between residue 1077 and the C-terminus (residue 1127) of human tripartite motif-containing 33 (transcriptional intermediary factor 1 gamma) using the numbering given in entry NP_056990.3 (GeneID

Clonality

Polyclonal

Host

Rabbit

Isotype

IgG

Description

Novus Biologicals Rabbit TIF1 gamma Antibody (NB100-57498) is a polyclonal antibody validated for use in IHC, WB and IP. Anti-TIF1 gamma Antibody: Cited in 1 publication. All Novus Biologicals antibodies are covered by our 100% guarantee.

Scientific Data Images for TIF1 gamma Antibody

Western Blot: TIF1 gamma Antibody [NB100-57498]

Western Blot: TIF1 gamma Antibody [NB100-57498]

Western Blot: TIF1 gamma Antibody [NB100-57498] - Detection of Mouse TRIM33/ TIF1gamma by Western Blot. Samples: Whole cell lysate (50 ug) from TCMK-1, Renca, 4T1, and CT26.WT cells. Antibodies: Affinity purified rabbit anti-TRIM33/ TIF1gamma antibody NB100-57498 used for WB at 0.1 ug/ml. Detection: Chemiluminescence with an exposure time of 3 minutes.
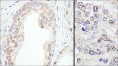
Immunohistochemistry-Paraffin: TIF1 gamma Antibody [NB100-57498]

Immunohistochemistry-Paraffin: TIF1 gamma Antibody [NB100-57498]

Immunohistochemistry-Paraffin: TIF1 gamma Antibody [NB100-57498] - Section of human prostate carcinoma (left) and mouse teratoma (right). Antibody: Affinity purified rabbit anti- TRIM33/TIF1gamma used at a dilution of 1:200 (1ug/ml). Detection: DAB
Western Blot: TIF1 gamma Antibody [NB100-57498]

Western Blot: TIF1 gamma Antibody [NB100-57498]

Western Blot: TIF1 gamma Antibody [NB100-57498] - Detection of Human TIF1gamma on HeLa whole cell lysate using NB100-57498. TIF1gamma was also immunoprecipitated by rabbit anti-TIF1gamma antibody NB100-57497.

Applications for TIF1 gamma Antibody

Application
Recommended Usage

Immunohistochemistry

1:100-1:500

Immunohistochemistry-Paraffin

1:100-1:500

Immunoprecipitation

2-5 ug/mg lysate

Western Blot

1:2000-1:10000
Application Notes
Epitope retrieval with citrate buffer pH6.0 is recommended for FFPE tissue sections.

Formulation, Preparation, and Storage

Purification

Immunogen affinity purified

Formulation

TBS and 0.1% BSA

Preservative

0.09% Sodium Azide

Concentration

0.2 mg/ml

Shipping

The product is shipped with polar packs. Upon receipt, store it immediately at the temperature recommended below.

Stability & Storage

Store at 4C. Do not freeze.

Background: TIF1 gamma

The protein encoded by this gene is thought to be a transcriptional corepressor. However, molecules that interact with this protein have not yet been identified. The protein is a member of the tripartite motif family. This motif includes three zinc-binding domains, a RING, a B-box type 1 and a B-box type 2, and a coiled-coil region. Three alternatively spliced transcript variants for this gene have been described, however, the full-length nature of one variant has not been determined.

Alternate Names

E3 ubiquitin-protein ligase TRIM33, EC 6.3.2, EC 6.3.2.-, Ectodermin homolog, KIAA1113, Protein Rfg7, PTC7FLJ32925, RET-fused gene 7 protein, RFG7FLJ11429, TF1G, TIF1GAMMA, TIF1-gamma, TIF1GECTO, TIFGAMMA, Transcription intermediary factor 1-gamma, transcriptional intermediary factor 1 gamma, tripartite motif containing 33, tripartite motif-containing 33, Tripartite motif-containing protein 33

Entrez Gene IDs

51592 (Human)

Gene Symbol

TRIM33

UniProt

Additional TIF1 gamma Products

Product Documents for TIF1 gamma Antibody

Certificate of Analysis

To download a Certificate of Analysis, please enter a lot number in the search box below.

Product Specific Notices for TIF1 gamma Antibody

This product is for research use only and is not approved for use in humans or in clinical diagnosis. Primary Antibodies are guaranteed for 1 year from date of receipt.

Loading...
Loading...
Loading...
Loading...