TICRR Antibody - BSA Free
Novus Biologicals, part of Bio-Techne | Catalog # NBP2-41283
Conjugate
Catalog #
Key Product Details
Species Reactivity
Validated:
Human
Cited:
Human
Applications
Validated:
Immunohistochemistry, Immunohistochemistry-Paraffin, Western Blot, ELISA, Immunocytochemistry/ Immunofluorescence, Knockdown Validated
Cited:
Western Blot, Knockdown Validated
Label
Unconjugated
Antibody Source
Polyclonal Rabbit IgG
Format
BSA Free
Concentration
1 mg/ml
Product Specifications
Immunogen
Antibody was raised against a 19 amino acid peptide near the carboxy terminus of human TICRR. The immunogen is located within amino acids 1840 - 1890 of TICRR. Amino Acid Squence: FQGKTPSSQSKDPRDEDVD
Specificity
TICRR antibody is human specific. At least two isoforms of TICRR are known to exist.
Clonality
Polyclonal
Host
Rabbit
Isotype
IgG
Theoretical MW
220 kDa.
Disclaimer note: The observed molecular weight of the protein may vary from the listed predicted molecular weight due to post translational modifications, post translation cleavages, relative charges, and other experimental factors.
Disclaimer note: The observed molecular weight of the protein may vary from the listed predicted molecular weight due to post translational modifications, post translation cleavages, relative charges, and other experimental factors.
Description
Novus Biologicals Rabbit TICRR Antibody - BSA Free (NBP2-41283) is a polyclonal antibody validated for use in IHC, WB, ELISA and ICC/IF. Anti-TICRR Antibody: Cited in 1 publication. All Novus Biologicals antibodies are covered by our 100% guarantee.
Scientific Data Images for TICRR Antibody - BSA Free
Western Blot: TICRR AntibodyBSA Free [NBP2-41283]
Western Blot: TICRR Antibody [NBP2-41283] - Western blot analysis of TICRR in human small intestine tissue lysate with TICRR antibody at 1 ug/ml.Immunohistochemistry: TICRR Antibody - BSA Free [NBP2-41283] -
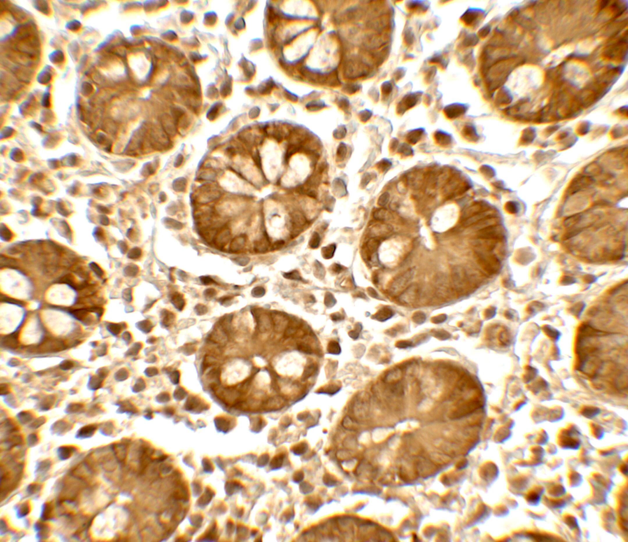
Immunohistochemistry: TICRR Antibody - BSA Free [NBP2-41283] - Immunohistochemistry of TICRR in human small intestine tissue with TICRR antibody at 5 ug/mL.Immunocytochemistry/ Immunofluorescence: TICRR Antibody - BSA Free [NBP2-41283] -
Immunocytochemistry/ Immunofluorescence: TICRR Antibody - BSA Free [NBP2-41283] - Immunofluorescence of TICRR in human small intestine tissue with TICRR antibody at 20 ug/mL.Applications for TICRR Antibody - BSA Free
Application
Recommended Usage
Immunocytochemistry/ Immunofluorescence
20 ug/mL
Immunohistochemistry
5 ug/mL
Immunohistochemistry-Paraffin
5 ug/ml
Western Blot
1-2 ug/ml
Formulation, Preparation, and Storage
Purification
Peptide affinity purified
Formulation
PBS
Format
BSA Free
Preservative
0.02% Sodium Azide
Concentration
1 mg/ml
Shipping
The product is shipped with polar packs. Upon receipt, store it immediately at the temperature recommended below.
Stability & Storage
Store at 4C short term. Aliquot and store at -20C long term. Avoid freeze-thaw cycles.
Background: TICRR
Alternate Names
C15orf42, Chromosome 15 Open Reading Frame 42, SLD3, SLD3 Homolog, SLD3 Homolog (S. Cerevisiae), TOPBP1-Interacting Checkpoint And Replication Regulator, TOPBP1-Interacting Replication-Stimulating Protein, TopBP1-Interacting, Replication-Stimulating Protein, Treslin
Gene Symbol
TICRR
Additional TICRR Products
Product Documents for TICRR Antibody - BSA Free
Product Specific Notices for TICRR Antibody - BSA Free
This product is for research use only and is not approved for use in humans or in clinical diagnosis. Primary Antibodies are guaranteed for 1 year from date of receipt.
Loading...
Loading...
Loading...
Loading...