Skip to main content

TIAM1 Antibody - BSA Free

Novus Biologicals, part of Bio-Techne | Catalog # NBP3-35111

Novus Biologicals, part of Bio-Techne
Catalog #
Availability
Size / Price
Qty
Loading...
NBP3-35111-20ul
NBP3-35111-100ul

Key Product Details

Species Reactivity

Human, Rat

Applications

Immunohistochemistry, Immunohistochemistry-Paraffin, Western Blot, ELISA

Label

Unconjugated

Antibody Source

Polyclonal Rabbit IgG

Format

BSA Free

Concentration

Please see the vial label for concentration. If unlisted please contact technical services.

Product Specifications

Immunogen

Recombinant fusion protein containing a sequence corresponding to amino acids 1392-1591 of human TIAM1 (NP_003244.2).

Sequence:
SILRDKHRRQLLKTESLPSSQQYVPFGGKRLCALKGARPAMSRAVSAPSKSLGRRRRRLARNRFTIDSDAVSASSPEKESQQPPGGGDTDRWVEEQFDLAQYEEQDDIKETDILSDDDEFCESVKGASVDRDLQERLQATSISQRERGRKTLDSHASRMAQLKKQAALSGINGGLESASEEVIWVRREDFAPSRKLNTEI

Clonality

Polyclonal

Host

Rabbit

Isotype

IgG

Theoretical MW

178 kDa.
Disclaimer note: The observed molecular weight of the protein may vary from the listed predicted molecular weight due to post translational modifications, post translation cleavages, relative charges, and other experimental factors.

Description

Novus Biologicals Rabbit TIAM1 Antibody - BSA Free (NBP3-35111) is a polyclonal antibody validated for use in IHC, WB and ELISA. All Novus Biologicals antibodies are covered by our 100% guarantee.

Scientific Data Images for TIAM1 Antibody - BSA Free

TIAM1 Antibody

Immunohistochemistry: TIAM1 Antibody [NBP3-35111] -

Immunohistochemistry: TIAM1 Antibody [NBP3-35111] - Immunohistochemistry analysis of paraffin-embedded Human colon carcinoma using TIAM1 Rabbit pAb at dilution of 1:100 (40x lens). Microwave antigen retrieval performed with 0.01M PBS Buffer (pH 7.2) prior to IHC staining.
TIAM1 Antibody

Western Blot: TIAM1 Antibody [NBP3-35111] -

Western Blot: TIAM1 Antibody [NBP3-35111] - Western blot analysis of lysates from Rat testis, using TIAM1 Rabbit pAb at 1:1000 dilution.
Secondary antibody: HRP-conjugated Goat anti-Rabbit IgG (H+L) at 1:10000 dilution.
Lysates/proteins: 25ug per lane.
Blocking buffer: 3% nonfat dry milk in TBST.
Detection: ECL Enhanced Kit.
Exposure time: 30s.
TIAM1 Antibody

Immunohistochemistry: TIAM1 Antibody [NBP3-35111] -

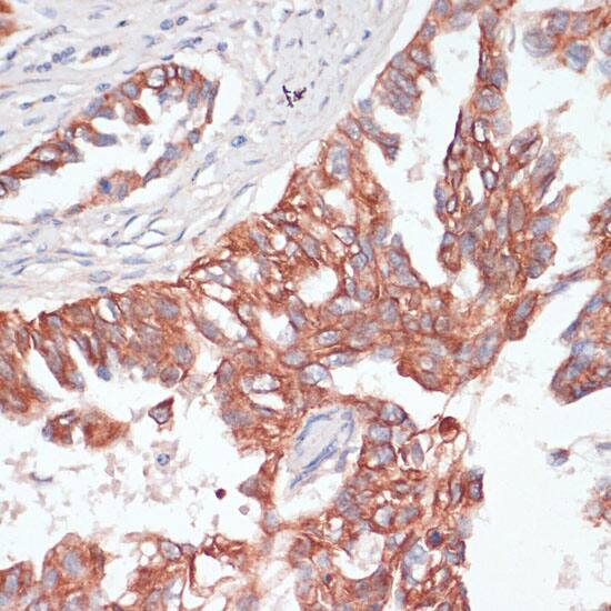
Immunohistochemistry: TIAM1 Antibody [NBP3-35111] - Immunohistochemistry analysis of paraffin-embedded Human lung cancer using TIAM1 Rabbit pAb at dilution of 1:100 (40x lens). Microwave antigen retrieval performed with 0.01M PBS Buffer (pH 7.2) prior to IHC staining.

Applications for TIAM1 Antibody - BSA Free

Application
Recommended Usage

Immunohistochemistry-Paraffin

1:50 - 1:200

Western Blot

1:500 - 1:1000

Formulation, Preparation, and Storage

Purification

Affinity purified

Formulation

PBS (pH 7.3), 50% glycerol

Format

BSA Free

Preservative

0.02% Sodium Azide

Concentration

Please see the vial label for concentration. If unlisted please contact technical services.

Shipping

The product is shipped with polar packs. Upon receipt, store it immediately at the temperature recommended below.

Stability & Storage

Store at -20C. Avoid freeze-thaw cycles.

Background: TIAM1

TIAM1 modulates the activity of RHO like proteins and connects extracellular signals to cytoskeletal activities. It acts as a GDP dissociation stimulator protein that stimulates the GDP-GTP exchange activity of RHO like GTPases and activates them. It activates RAC1, CDC42, and to a lesser extent RHOA.

Long Name

T-cell Lymphoma Invasion and Metastasis 1

Alternate Names

FLJ36302, human T-lymphoma invasion and metastasis inducing TIAM1 protein, 10TIAM-1, T-cell lymphoma invasion and metastasis 1, T-lymphoma invasion and metastasis-inducing protein 1

Gene Symbol

TIAM1

Additional TIAM1 Products

Product Documents for TIAM1 Antibody - BSA Free

Certificate of Analysis

To download a Certificate of Analysis, please enter a lot number in the search box below.

Product Specific Notices for TIAM1 Antibody - BSA Free

This product is for research use only and is not approved for use in humans or in clinical diagnosis. Primary Antibodies are guaranteed for 1 year from date of receipt.

Loading...
Loading...
Loading...
Loading...