Skip to main content

Thyroid Peroxidase Antibody (TPO/6417R) - Azide and BSA Free

Novus Biologicals, part of Bio-Techne | Catalog # NBP3-08762

Recombinant Monoclonal Antibody
Novus Biologicals, part of Bio-Techne

Key Product Details

Species Reactivity

Human

Applications

Immunohistochemistry-Paraffin

Label

Unconjugated

Antibody Source

Recombinant Monoclonal Rabbit IgG Clone # TPO/6417R

Format

Azide and BSA Free

Concentration

1 mg/ml

Product Specifications

Immunogen

Recombinant fragment of human Thyroid Peroxidase (around aa 685-804) (Exact sequence is proprietary) (Uniprot: P07202 )

Localization

Cytoplasm, Cell surface

Specificity

Thyroperoxidase (TPO) is a 933 amino acid, type I transmembrane glycoprotein that plays a key role in thyroid gland function and autoimmunity. It is present as a dimer on the apical surface of thyroid follicular cells. TPO functions in the iodination of tyrosine residues in thyroglobulin and phenoxy-ester formation between pairs of iodinated tyrosines to generate the thyroid hormones, thyroxine and triiodothyronine. Mutations in this gene are associated with several disorders of thyroid hormonogenesis, including congenital hypothyroidism, congenital goiter, and thyroid hormone organification defect IIA. Malignant thyroid tumors exhibit an anomaly in TPO resulting in lower affinity for anti-TPO. This antibody may aid in the differentiation between benign and malignant thyroid tumors.

Marker

Thyroid Marker

Clonality

Monoclonal

Host

Rabbit

Isotype

IgG

Theoretical MW

100 kDa.
Disclaimer note: The observed molecular weight of the protein may vary from the listed predicted molecular weight due to post translational modifications, post translation cleavages, relative charges, and other experimental factors.

Description

1.0 mg/ml of antibody purified from Bioreactor Concentrate by Protein A/G. Prepared in 10mM PBS WITHOUT BSA & azide. Also available at 200 ug/ml WITH BSA & azide (NBP3-07739).

Antibody with azide - store at 2 to 8C. Antibody without azide - store at -20 to -80 C.

Scientific Data Images for Thyroid Peroxidase Antibody (TPO/6417R) - Azide and BSA Free

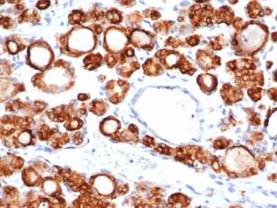
Immunohistochemistry-Paraffin: Thyroid Peroxidase Antibody (TPO/6417R) - Azide and BSA Free [NBP3-08762]

Immunohistochemistry-Paraffin: Thyroid Peroxidase Antibody (TPO/6417R) - Azide and BSA Free [NBP3-08762]

Immunohistochemistry-Paraffin: Thyroid Peroxidase Antibody (TPO/6417R) - Azide and BSA Free [NBP3-08762] - Formalin-fixed, paraffin-embedded human thyroid carcinoma stained with Thyroid Peroxidase Recombinant Rabbit Monoclonal Antibody (TPO/6417R).
Immunohistochemistry-Paraffin: Thyroid Peroxidase Antibody (TPO/6417R) - Azide and BSA Free [NBP3-08762]

Immunohistochemistry-Paraffin: Thyroid Peroxidase Antibody (TPO/6417R) - Azide and BSA Free [NBP3-08762]

Immunohistochemistry-Paraffin: Thyroid Peroxidase Antibody (TPO/6417R) - Azide and BSA Free [NBP3-08762] - Formalin-fixed, paraffin-embedded human thyroid carcinoma stained with Thyroid Peroxidase Recombinant Rabbit Monoclonal Antibody (TPO/6417R).

Applications for Thyroid Peroxidase Antibody (TPO/6417R) - Azide and BSA Free

Application
Recommended Usage

Immunohistochemistry-Paraffin

1-2 ug/ml
Application Notes
Immunohistochemistry Formalin-fixed: 1-2ug/ml for 30 minutes at RT. Staining of formalin-fixed tissues requires heating tissue sections in 10mM Tris with 1mM EDTA, pH 9.0, for 45 min at 95C followed by cooling at RT for 20 minutes. Optimal dilution for a specific application should be determined.

Formulation, Preparation, and Storage

Purification

Protein A or G purified

Formulation

10 mM PBS

Format

Azide and BSA Free

Preservative

No Preservative

Concentration

1 mg/ml

Shipping

The product is shipped with polar packs. Upon receipt, store it immediately at the temperature recommended below.

Stability & Storage

Store at -20 to -80C. Avoid freeze-thaw cycles.

Background: Thyroid Peroxidase

Thyroid Peroxidase encodes a membrane-bound glycoprotein. The encoded protein acts as an enzyme and plays a central role in thyroid gland function. The protein functions in the iodination of tyrosine residues in thyroglobulin and phenoxy-ester formation between pairs of iodinated tyrosines to generate the thyroid hormones, thyroxine and triiodothyronine. Mutations in this gene are associated with several disorders of thyroid hormonogenesis, including congenital hypothyroidism, congenital goiter, and thyroid hormone organification defect IIA. Multiple transcript variants encoding distinct isoforms have been identified for this gene. Additional splice variants have been described but their biological natures have not been determined. [provided by RefSeq]

Alternate Names

EC 1.11.1, MSA, TDH2A, thyroid microsomal antigen, thyroid peroxidase, thyroperoxidase, TPXEC 1.11.1.8

Gene Symbol

TPO

Additional Thyroid Peroxidase Products

Product Documents for Thyroid Peroxidase Antibody (TPO/6417R) - Azide and BSA Free

Certificate of Analysis

To download a Certificate of Analysis, please enter a lot number in the search box below.

Product Specific Notices for Thyroid Peroxidase Antibody (TPO/6417R) - Azide and BSA Free

This product is for research use only and is not approved for use in humans or in clinical diagnosis. Primary Antibodies are guaranteed for 1 year from date of receipt.

Loading...
Loading...
Loading...
Loading...