Skip to main content

Thymopoietin/LAP2 Antibody - BSA Free

Novus Biologicals, part of Bio-Techne | Catalog # NBP3-29536

Novus Biologicals, part of Bio-Techne
Catalog #
Availability
Size / Price
Qty
Loading...
NBP3-29536

Key Product Details

Species Reactivity

Human, Mouse

Applications

Immunohistochemistry, Western Blot, Immunoprecipitation

Label

Unconjugated

Antibody Source

Polyclonal Rabbit IgG

Format

BSA Free

Concentration

Please see the vial label for concentration. If unlisted please contact technical services.

Product Specifications

Immunogen

Between 1 and 50

Clonality

Polyclonal

Host

Rabbit

Isotype

IgG

Description

Novus Biologicals Rabbit Thymopoietin/LAP2 Antibody - BSA Free (NBP3-29536) is a polyclonal antibody validated for use in IHC, WB and IP. All Novus Biologicals antibodies are covered by our 100% guarantee.

Scientific Data Images for Thymopoietin/LAP2 Antibody - BSA Free

Thymopoietin/LAP2 Antibody

Immunohistochemistry;Thymopoietin/LAP2 Antibody[NBP3-29535]

Immunohistochemistry;Thymopoietin/LAP2 Antibody[NBP3-29535]Detection of human LAP2 alpha beta gamma/TMPO by immunohistochemistry. Sample: FFPE section of human colon carcinoma. Antibody: Affinity purified rabbit anti-L AP2 alpha beta gamma/TMPO used at a dilution of 1:5,000 . Detection: DAB
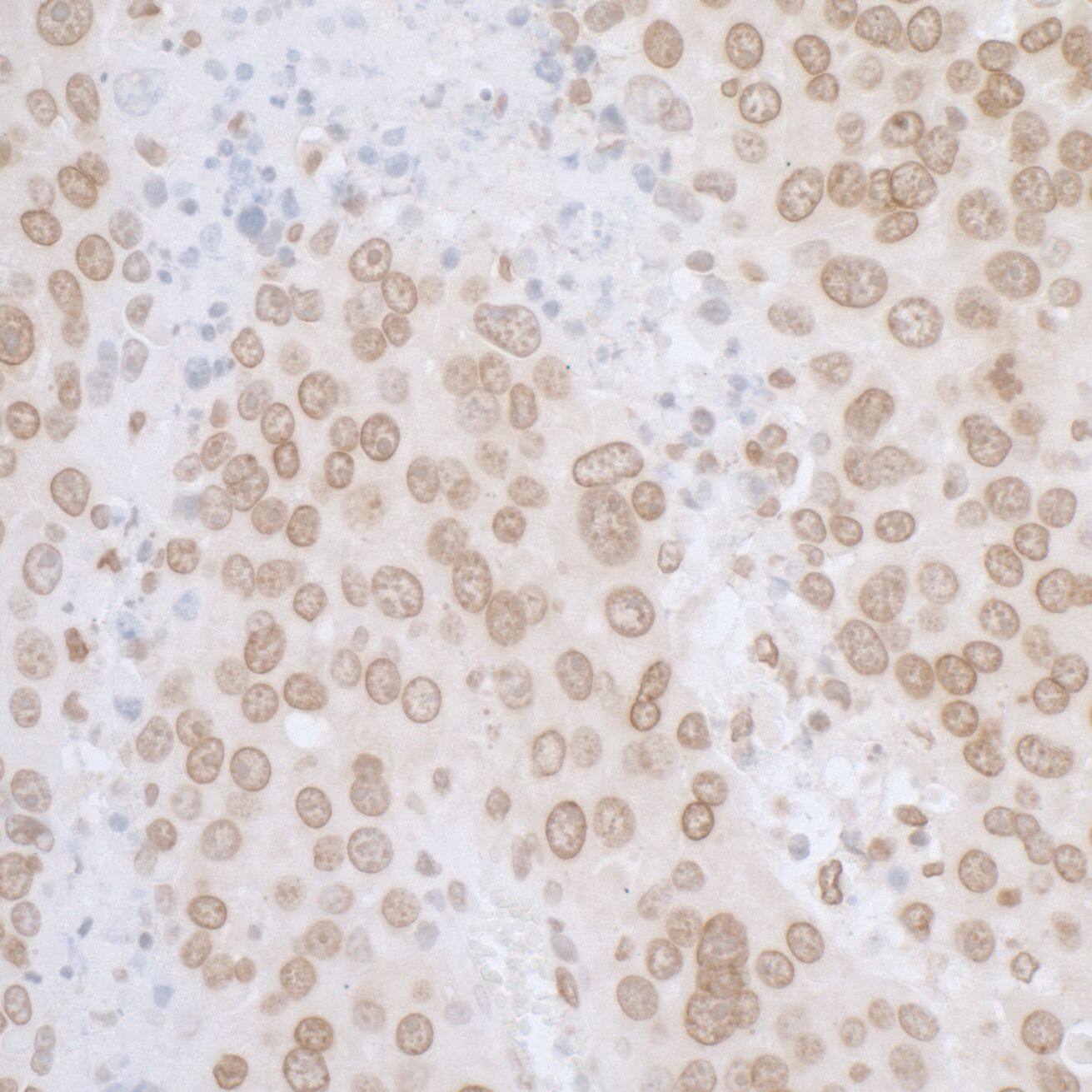
Thymopoietin/LAP2 Antibody

Immunohistochemistry;Thymopoietin/LAP2 Antibody[NBP3-29536]

Immunohistochemistry;Thymopoietin/LAP2 Antibody[NBP3-29536]Detection of mouse LAP2 alpha beta gamma/TMPO by immunohistochemistry. Sample: FFPE section of mouse plasmacytoma. Antibody: Affinity purified rabbit anti-L AP2 alpha beta gamma/TMPO used at a dilution of 1:5,000 . Detection: DAB

Applications for Thymopoietin/LAP2 Antibody - BSA Free

Application
Recommended Usage

Immunohistochemistry

Optimal dilutions of this antibody should be experimentally determined.

Immunoprecipitation

Optimal dilutions of this antibody should be experimentally determined.

Western Blot

Optimal dilutions of this antibody should be experimentally determined.

Formulation, Preparation, and Storage

Purification

Affinity purified

Formulation

Tris-citrate/phosphate pH 7 -8.

Format

BSA Free

Preservative

0.09% Sodium Azide

Concentration

Please see the vial label for concentration. If unlisted please contact technical services.

Shipping

The product is shipped with polar packs. Upon receipt, store it immediately at the temperature recommended below.

Stability & Storage

Store at 4C. Do not freeze.

Background: Thymopoietin

Lamins are type V intermediate filament proteins and are grouped into constitutively expressed B-type lamins and developmentally regulated A-type lamins. Lamin-binding proteins in the nuclear lamina and the nuclear interior include several protein families and/or types of proteins in higher eukaryotes such as the inner nuclear membrane proteins, lamin B receptor, emerin, and MANI, three isoforms of lamina-associated polypeptide 1 (LAP 1), and several isoforms of LAP 2. Up to six LAP 2 isoforms derive from a single gene by alternative splicing in mammals and various isoforms have been described in Xenopus. The best characterized LAP2 isoforms are the inner nuclear membrane protein LAP 2 beta and the nucleoplasmic protein LAP 2 alpha, which are identical in their N-terminal 187-amino acid constant region but differ in their C termini. While LAP 2 beta binds to B-type lamins at the nuclear periphery and was suggested to regulate nuclear lamina growth , LAP 2 alpha specifically interacts with A-type lamins within the nuclear interior as part of a detergent/salt-resistant nucleoskeletal structure.

Alternate Names

TMPO

Gene Symbol

TMPO

Additional Thymopoietin Products

Product Documents for Thymopoietin/LAP2 Antibody - BSA Free

Certificate of Analysis

To download a Certificate of Analysis, please enter a lot number in the search box below.

Product Specific Notices for Thymopoietin/LAP2 Antibody - BSA Free

This product is for research use only and is not approved for use in humans or in clinical diagnosis. Primary Antibodies are guaranteed for 1 year from date of receipt.

Loading...
Loading...
Loading...
Loading...