Skip to main content

THUMPD1 Antibody - BSA Free

Novus Biologicals, part of Bio-Techne | Catalog # NBP3-45244

Novus Biologicals, part of Bio-Techne
Catalog #
Availability
Size / Price
Qty
Loading...
NBP3-45244

Key Product Details

Species Reactivity

Human, Mouse, Rat

Applications

Immunohistochemistry, Western Blot, ELISA

Label

Unconjugated

Antibody Source

Polyclonal Rabbit IgG

Format

BSA Free

Concentration

Please see the vial label for concentration. If unlisted please contact technical services.

Product Specifications

Immunogen

THUMP domain containing 1. (Uniprot# Q9NXG2)

Clonality

Polyclonal

Host

Rabbit

Isotype

IgG

Theoretical MW

49 kDa.
Disclaimer note: The observed molecular weight of the protein may vary from the listed predicted molecular weight due to post translational modifications, post translation cleavages, relative charges, and other experimental factors.

Description

Novus Biologicals Rabbit THUMPD1 Antibody - BSA Free (NBP3-45244) is a polyclonal antibody validated for use in IHC, WB and ELISA. All Novus Biologicals antibodies are covered by our 100% guarantee.

Scientific Data Images for THUMPD1 Antibody - BSA Free

THUMPD1 Antibody - BSA Free

Western Blot: THUMPD1 Antibody - BSA Free [NBP3-45244] -

Western Blot: THUMPD1 Antibody - BSA Free [NBP3-45244] - MCF7 cells were subjected to SDS PAGE followed by western blot with (THUMPD1 antibody) at dilution of 1:1000
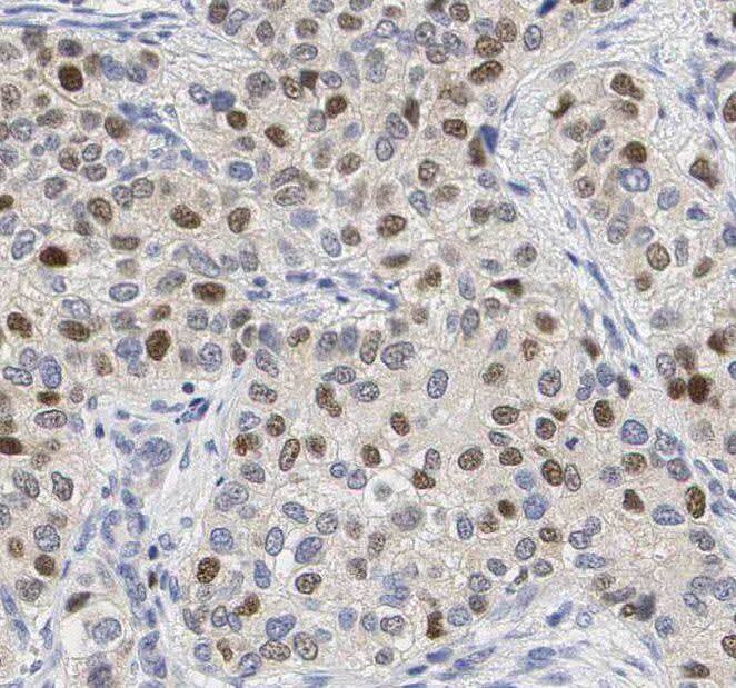
THUMPD1 Antibody - BSA Free

Immunohistochemistry: THUMPD1 Antibody - BSA Free [NBP3-45244] -

Immunohistochemistry: THUMPD1 Antibody - BSA Free [NBP3-45244] - Immunohistochemistry of paraffin-embedded human breast cancer using (THUMPD1 antibody) at dilution of 1:100

Applications for THUMPD1 Antibody - BSA Free

Application
Recommended Usage

Immunohistochemistry

1:20-1:200

Western Blot

1:500-1:2000

Formulation, Preparation, and Storage

Purification

Immunogen affinity purified

Formulation

PBS, 50% Glycerol, pH (7.3)

Format

BSA Free

Preservative

0.02% Sodium Azide

Concentration

Please see the vial label for concentration. If unlisted please contact technical services.

Shipping

The product is shipped with polar packs. Upon receipt, store it immediately at the temperature recommended below.

Stability & Storage

Store at -20C. Avoid freeze-thaw cycles.

Background: THUMPD1

Alternate Names

DKFZp686C1054, FLJ20274, THUMP domain containing 1, THUMP domain-containing protein 1

Gene Symbol

THUMPD1

Additional THUMPD1 Products

Product Documents for THUMPD1 Antibody - BSA Free

Certificate of Analysis

To download a Certificate of Analysis, please enter a lot number in the search box below.

Product Specific Notices for THUMPD1 Antibody - BSA Free

This product is for research use only and is not approved for use in humans or in clinical diagnosis. Primary Antibodies are guaranteed for 1 year from date of receipt.

Loading...
Loading...
Loading...
Loading...