Skip to main content

THSD7A Antibody (CL3778)

Novus Biologicals, part of Bio-Techne | Catalog # NBP3-52073

Recombinant Monoclonal Antibody
Novus Biologicals, part of Bio-Techne
Catalog #
Availability
Size / Price
Qty
Loading...
NBP3-52073-100ul
NBP3-52073-25ul

Key Product Details

Species Reactivity

Human

Applications

Immunohistochemistry, Immunohistochemistry-Paraffin

Label

Unconjugated

Antibody Source

Recombinant Monoclonal Mouse IgG1 Clone # CL3778

Concentration

1 mg/ml

Product Specifications

Immunogen

This antibody was developed using a recombinant protein derived from Q9UPZ6, with the exact immunogen sequence remaining proprietary.

Clonality

Monoclonal

Host

Mouse

Isotype

IgG1

Scientific Data Images for THSD7A Antibody (CL3778)

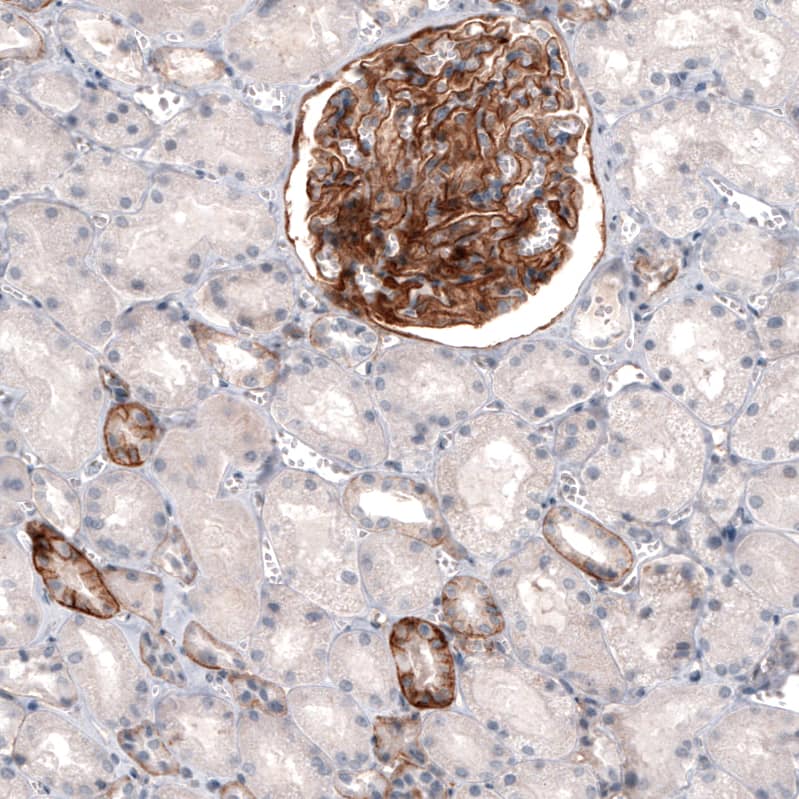
THSD7A Antibody (CL3778) Immunohistochemistry: THSD7A Antibody (CL3778) [NBP3-52073]

Immunohistochemistry: THSD7A Antibody (CL3778) [NBP3-52073]

Analysis in human kidney and skeletal muscle tissues. Corresponding THSD7A RNA-seq data are presented for the same tissues.
THSD7A Antibody (CL3778) Immunohistochemistry: THSD7A Antibody (CL3778) [NBP3-52073]

Immunohistochemistry: THSD7A Antibody (CL3778) [NBP3-52073]

Staining of human skeletal muscle shows no positivity in striated muscle fibers as expected.
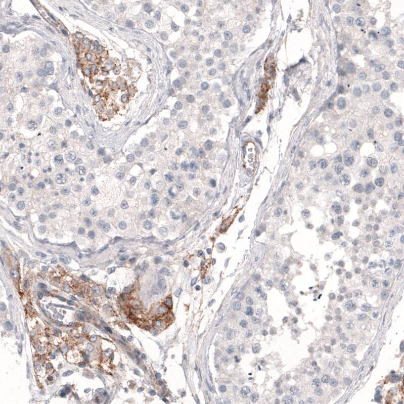
THSD7A Antibody (CL3778) Immunohistochemistry: THSD7A Antibody (CL3778) [NBP3-52073]

Immunohistochemistry: THSD7A Antibody (CL3778) [NBP3-52073]

Staining of human testis shows moderate membranous positivity in Leydig cells.

Applications for THSD7A Antibody (CL3778)

Application
Recommended Usage

Immunohistochemistry

1:500 - 1:1000

Immunohistochemistry-Paraffin

1:500 - 1:1000
Application Notes
For IHC-Paraffin, HIER pH 6 retrieval is recommended.

Formulation, Preparation, and Storage

Purification

Protein A purified

Formulation

PBS, pH 7.2, 40% glycerol

Preservative

0.02% Sodium Azide

Concentration

1 mg/ml

Shipping

The product is shipped with polar packs. Upon receipt, store it immediately at the temperature recommended below.

Stability & Storage

Store at 4C short term. Aliquot and store at -20C long term. Avoid freeze-thaw cycles.

Background: THSD7A

Long Name

Thrombospondin, Type I, Domain Containing 1

Alternate Names

Gm837, KIAA0960

Gene Symbol

THSD7A

Additional THSD7A Products

Product Documents for THSD7A Antibody (CL3778)

Certificate of Analysis

To download a Certificate of Analysis, please enter a lot number in the search box below.

Product Specific Notices for THSD7A Antibody (CL3778)

This product is for research use only and is not approved for use in humans or in clinical diagnosis. Primary Antibodies are guaranteed for 1 year from date of receipt.

Loading...
Loading...
Loading...
Loading...