Skip to main content

THSD7A Antibody (CL3778) - Azide and BSA Free

Novus Biologicals, part of Bio-Techne | Catalog # NBP3-44071

Novus Biologicals, part of Bio-Techne

Key Product Details

Validated by

Orthogonal Validation

Species Reactivity

Human

Applications

Immunohistochemistry-Paraffin

Label

Unconjugated

Antibody Source

Monoclonal Mouse IgG1 Clone # CL3778

Format

Azide and BSA Free

Concentration

LYOPH mg/ml

Product Specifications

Immunogen

This antibody was generated using a recombinant protein sequence of Q9UPZ6, with the exact immunogen sequence remaining proprietary.

Clonality

Monoclonal

Host

Mouse

Isotype

IgG1

Description

Novus Biologicals Mouse THSD7A Antibody (CL3778) - Azide and BSA Free (NBP2-61638) is a monoclonal antibody validated for use in IHC. All Novus Biologicals antibodies are covered by our 100% guarantee.

Scientific Data Images for THSD7A Antibody (CL3778) - Azide and BSA Free

THSD7A Antibody (CL3778) - Azide and BSA Free Immunohistochemistry-Paraffin: THSD7A Antibody [NBP3-44071]

Immunohistochemistry-Paraffin: THSD7A Antibody [NBP3-44071]

Analysis in human kidney and skeletal muscle tissues using NBP3-44071 antibody. Corresponding THSD7A RNA-seq data are presented for the same tissues.
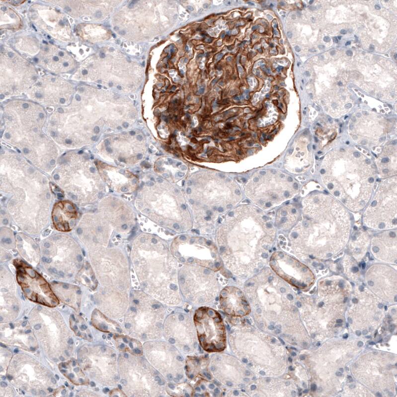
THSD7A Antibody (CL3778) - Azide and BSA Free Immunohistochemistry-Paraffin: THSD7A Antibody [NBP3-44071]

Immunohistochemistry-Paraffin: THSD7A Antibody [NBP3-44071]

Staining of human kidney shows strong membranous positivity in cells in glomeruli, as well as in a subset of renal tubules.
THSD7A Antibody (CL3778) - Azide and BSA Free Immunohistochemistry-Paraffin: THSD7A Antibody [NBP3-44071]

Immunohistochemistry-Paraffin: THSD7A Antibody [NBP3-44071]

Staining of human cerebral cortex shows moderate positivity in neuropil.

Applications for THSD7A Antibody (CL3778) - Azide and BSA Free

Application
Recommended Usage

Immunohistochemistry-Paraffin

1:500 - 1:1000
Application Notes
IHC-Paraffin HIER pH6 retrieval is recommended.

Formulation, Preparation, and Storage

Purification

Protein A purified

Reconstitution

Centrifuge the vial of lyophilized antibody at 12,000 x g for 20 seconds. Reconstitute by adding sterile, distilled water to achieve a final antibody concentration of 1mg/ml.

Formulation

Lyophilized from a 0.2 um filtered solution in PBS with Trehalose

Format

Azide and BSA Free

Preservative

No Preservative

Concentration

LYOPH mg/ml

Shipping

The product is shipped at ambient temperature. Upon receipt, store it immediately at the temperature recommended below.

Stability & Storage

Store at 4C short term. Aliquot and store at -20C long term. Avoid freeze-thaw cycles.

Background: THSD7A

Long Name

Thrombospondin, Type I, Domain Containing 1

Alternate Names

Gm837, KIAA0960

Gene Symbol

THSD7A

Additional THSD7A Products

Product Documents for THSD7A Antibody (CL3778) - Azide and BSA Free

Certificate of Analysis

To download a Certificate of Analysis, please enter a lot number in the search box below.

Product Specific Notices for THSD7A Antibody (CL3778) - Azide and BSA Free

This product is for research use only and is not approved for use in humans or in clinical diagnosis. Primary Antibodies are guaranteed for 1 year from date of receipt.

Loading...
Loading...
Loading...
Loading...
Loading...