Thrombospondin-2 Antibody - BSA Free
Novus Biologicals, part of Bio-Techne | Catalog # NBP3-13399
Key Product Details
Validated by
Biological Validation
Species Reactivity
Human
Applications
Immunohistochemistry, Immunohistochemistry-Paraffin, Western Blot
Label
Unconjugated
Antibody Source
Polyclonal Rabbit IgG
Format
BSA Free
Concentration
Concentrations vary lot to lot. See vial label for concentration. If unlisted please contact technical services.
Product Specifications
Immunogen
Recombinant protein encompassing a sequence within the center region of human Thrombospondin-2. The exact sequence is proprietary.
Clonality
Polyclonal
Host
Rabbit
Isotype
IgG
Description
Centrifuge briefly prior to opening.
Scientific Data Images for Thrombospondin-2 Antibody - BSA Free
Western Blot: Thrombospondin-2 Antibody [NBP3-13399]
Western Blot: Thrombospondin-2 Antibody [NBP3-13399] - AsPC-1 whole cell extract and conditioned medium (30 ug) were separated by 5% SDS-PAGE, and the membrane was blotted with Thrombospondin-2 antibody (NBP3-13399) diluted at 1:1000. The HRP-conjugated anti-rabbit IgG antibody (NBP2-19301) was used to detect the primary antibody.Immunohistochemistry-Paraffin: Thrombospondin-2 Antibody [NBP3-13399]
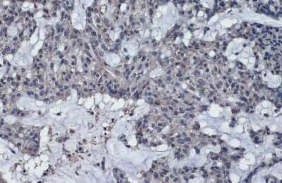
Immunohistochemistry-Paraffin: Thrombospondin-2 Antibody [NBP3-13399] - Thrombospondin-2 antibody detects Thrombospondin-2 protein at cytoplasm by immunohistochemical analysis. Sample: Paraffin-embedded human breast carcinoma. Thrombospondin-2 stained by Thrombospondin-2 antibody (NBP3-13399) diluted at 1:1000. Antigen Retrieval: Citrate buffer, pH 6.0, 15 minApplications for Thrombospondin-2 Antibody - BSA Free
Application
Recommended Usage
Immunohistochemistry
Optimal dilutions of this antibody should be experimentally determined.
Immunohistochemistry-Paraffin
Optimal dilutions of this antibody should be experimentally determined.
Western Blot
Optimal dilutions of this antibody should be experimentally determined.
Formulation, Preparation, and Storage
Purification
Antigen Affinity-purified
Formulation
PBS, 20% Glycerol
Format
BSA Free
Preservative
0.025% Proclin 300
Concentration
Concentrations vary lot to lot. See vial label for concentration. If unlisted please contact technical services.
Shipping
The product is shipped with polar packs. Upon receipt, store it immediately at the temperature recommended below.
Stability & Storage
Store at 4C short term. Aliquot and store at -20C long term. Avoid freeze-thaw cycles.
Background: Thrombospondin-2
Alternate Names
THBS2, Thrombospondin2, TSP-2
Gene Symbol
THBS2
Additional Thrombospondin-2 Products
Product Documents for Thrombospondin-2 Antibody - BSA Free
Product Specific Notices for Thrombospondin-2 Antibody - BSA Free
This product is for research use only and is not approved for use in humans or in clinical diagnosis. Primary Antibodies are guaranteed for 1 year from date of receipt.
Loading...
Loading...
Loading...
Loading...