Skip to main content

THOC2 Antibody - BSA Free

Novus Biologicals, part of Bio-Techne | Catalog # NBP1-92500

Novus Biologicals, part of Bio-Techne
Catalog #
Availability
Size / Price
Qty
Loading...
NBP1-92500
NBP1-92500-25ul

Key Product Details

Species Reactivity

Validated:

Human

Predicted:

Mouse (98%), Rat (98%). Backed by our 100% Guarantee.

Applications

Immunohistochemistry, Immunohistochemistry-Paraffin, Western Blot, Immunocytochemistry/ Immunofluorescence

Label

Unconjugated

Antibody Source

Polyclonal Rabbit IgG

Format

BSA Free

Concentration

Concentrations vary lot to lot. See vial label for concentration. If unlisted please contact technical services.

Product Specifications

Immunogen

This antibody was developed against Recombinant Protein corresponding to amino acids: VHKWHYKLTKASVHCLETGEYTHIRNILIVLTKILPWYPKVLNLGQALERRVHKICQEEKEKRPDLYALAMGYSGQLKSRKSYMIPENEFHHKDPPPRNAVASV

Clonality

Polyclonal

Host

Rabbit

Isotype

IgG

Description

Novus Biologicals Rabbit THOC2 Antibody - BSA Free (NBP1-92500) is a polyclonal antibody validated for use in IHC, WB and ICC/IF. Anti-THOC2 Antibody: Cited in 1 publication. All Novus Biologicals antibodies are covered by our 100% guarantee.

Scientific Data Images for THOC2 Antibody - BSA Free

Western Blot: THOC2 Antibody [NBP1-92500]

Western Blot: THOC2 Antibody [NBP1-92500]

Western Blot: THOC2 Antibody [NBP1-92500] - Analysis in human cell line SiHa.
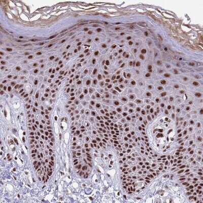
Immunohistochemistry-Paraffin: THOC2 Antibody [NBP1-92500]

Immunohistochemistry-Paraffin: THOC2 Antibody [NBP1-92500]

Immunohistochemistry-Paraffin: THOC2 Antibody [NBP1-92500] - Staining of human skin shows strong nuclear positivity in squamous epithelial cells.
Immunohistochemistry-Paraffin: THOC2 Antibody [NBP1-92500]

Immunohistochemistry-Paraffin: THOC2 Antibody [NBP1-92500]

Immunohistochemistry-Paraffin: THOC2 Antibody [NBP1-92500] - Staining of human fallopian tube shows strong nuclear positivity in glandular cells.

Applications for THOC2 Antibody - BSA Free

Application
Recommended Usage

Immunocytochemistry/ Immunofluorescence

0.25-2 ug/ml

Immunohistochemistry

1:50 - 1:200

Immunohistochemistry-Paraffin

1:50 - 1:200

Western Blot

0.04-0.4 ug/ml
Application Notes
For IHC-Paraffin, HIER pH 6 retrieval is recommended. ICC/IF Fixation Permeabilization: Use PFA/Triton X-100.

Formulation, Preparation, and Storage

Purification

Affinity purified

Formulation

PBS (pH 7.2) and 40% Glycerol

Format

BSA Free

Preservative

0.02% Sodium Azide

Concentration

Concentrations vary lot to lot. See vial label for concentration. If unlisted please contact technical services.

Shipping

The product is shipped with polar packs. Upon receipt, store it immediately at the temperature recommended below.

Stability & Storage

Store at 4C short term. Aliquot and store at -20C long term. Avoid freeze-thaw cycles.

Background: THOC2

THO2 is part of the TREX (transcription/export) complex, which includes TEX1 (MIM 606929), HPR1 (MIM 606930), ALY (MIM 604171), and UAP56 (MIM 606390).[supplied by OMIM]

Alternate Names

CXorf3, dJ506G2.1, hTREX120, THO complex 2, THO complex subunit 2

Gene Symbol

THOC2

Additional THOC2 Products

Product Documents for THOC2 Antibody - BSA Free

Certificate of Analysis

To download a Certificate of Analysis, please enter a lot number in the search box below.

Product Specific Notices for THOC2 Antibody - BSA Free

This product is for research use only and is not approved for use in humans or in clinical diagnosis. Primary Antibodies are guaranteed for 1 year from date of receipt.

Loading...
Loading...
Loading...
Loading...