Skip to main content

Thioredoxin-2 Antibody (JE35-76)

Novus Biologicals, part of Bio-Techne | Catalog # NBP3-33011

Recombinant Monoclonal Antibody
Novus Biologicals, part of Bio-Techne
Catalog #
Availability
Size / Price
Qty
Loading...
NBP3-33011

Key Product Details

Species Reactivity

Human, Mouse, Rat

Applications

Immunocytochemistry/ Immunofluorescence, Immunohistochemistry, Immunohistochemistry-Paraffin, Western Blot

Label

Unconjugated

Antibody Source

Recombinant Monoclonal Rabbit IgG Clone # JE35-76 expressed in HEK293

Concentration

1 mg/ml

Product Specifications

Immunogen

Synthetic peptide. (Uniprot: Q99757)

Localization

Mitochondrion.

Clonality

Monoclonal

Host

Rabbit

Isotype

IgG

Theoretical MW

18 kDa.
Disclaimer note: The observed molecular weight of the protein may vary from the listed predicted molecular weight due to post translational modifications, post translation cleavages, relative charges, and other experimental factors.

Description

Novus Biologicals Rabbit Thioredoxin-2 Antibody (JE35-76) (NBP3-33011) is a recombinant monoclonal antibody validated for use in IHC, WB and ICC/IF. All Novus Biologicals antibodies are covered by our 100% guarantee.

Scientific Data Images for Thioredoxin-2 Antibody (JE35-76)

Thioredoxin-2 Antibody (JE35-76)

Western Blot: Thioredoxin-2 Antibody (JE35-76) [NBP3-33011]

Western Blot: Thioredoxin-2 Antibody (JE35-76) [NBP3-33011] - Western blot analysis of Thioredoxin-2 on different lysates with Rabbit anti-Thioredoxin-2 antibody (NBP3-33011) at 1/1,000 dilution.

Lane 1: Raji cell lysate
Lane 2: K-562 cell lysate
Lane 3: HeLa cell lysate
Lane 4: HepG2 cell lysate
Lane 5: C2C12 cell lysate
Lane 6: C6 cell lysate
Lane 7: PC-12 cell lysate

Lysates/proteins at 20 ug/Lane.

Predicted band size: 18 kDa
Observed band size: 12 kDa

Exposure time: 20 seconds; ECL;

4-20% SDS-PAGE gel.

Proteins were transferred to a PVDF membrane and blocked with 5% NFDM/TBST for 1 hour at room temperature. The primary antibody (NBP3-33011) at 1/1,000 dilution was used in 5% NFDM/TBST at 4C overnight. Goat Anti-Rabbit IgG - HRP Secondary Antibody at 1/50,000 dilution was used for 1 hour at room temperature.
Thioredoxin-2 Antibody (JE35-76)

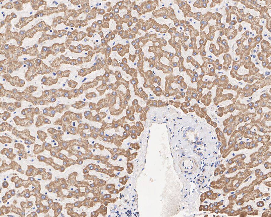
Immunohistochemistry: Thioredoxin-2 Antibody (JE35-76) [NBP3-33011]

Immunohistochemistry: Thioredoxin-2 Antibody (JE35-76) [NBP3-33011] - Immunohistochemical analysis of paraffin-embedded human liver tissue with Rabbit anti-Thioredoxin-2 antibody (NBP3-33011) at 1/2,000 dilution.

The section was pre-treated using heat mediated antigen retrieval with Tris-EDTA buffer (pH 9.0) for 20 minutes. The tissues were blocked in 1% BSA for 20 minutes at room temperature, washed with ddH2O and PBS, and then probed with the primary antibody (NBP3-33011) at 1/2,000 dilution for 1 hour at room temperature. The detection was performed using an HRP conjugated compact polymer system. DAB was used as the chromogen. Tissues were counterstained with hematoxylin and mounted with DPX.
Thioredoxin-2 Antibody (JE35-76)

Immunocytochemistry/ Immunofluorescence: Thioredoxin-2 Antibody (JE35-76) [NBP3-33011]

Immunocytochemistry/ Immunofluorescence: Thioredoxin-2 Antibody (JE35-76) [NBP3-33011] - Immunocytochemistry analysis of HeLa cells labeling Thioredoxin-2 with Rabbit anti-Thioredoxin-2 antibody (NBP3-33011) at 1/100 dilution.

Cells were fixed in 4% paraformaldehyde for 20 minutes at room temperature, permeabilized with 0.1% Triton X-100 in PBS for 5 minutes at room temperature, then blocked with 1% BSA in 10% negative goat serum for 1 hour at room temperature. Cells were then incubated with Rabbit anti-Thioredoxin-2 antibody (NBP3-33011) at 1/100 dilution in 1% BSA in PBST overnight at 4 ℃. Goat Anti-Rabbit IgG H&L (iFluor™ 488) was used as the secondary antibody at 1/1,000 dilution. PBS instead of the primary antibody was used as the secondary antibody only control. Nuclear DNA was labelled in blue with DAPI.

Beta tubulin (red) was stained at 1/100 dilution overnight at +4℃. Goat Anti-Mouse IgG H&L (iFluor™ 594) was used as the secondary antibody at 1/1,000 dilution.

Applications for Thioredoxin-2 Antibody (JE35-76)

Application
Recommended Usage

Immunocytochemistry/ Immunofluorescence

1:100

Immunohistochemistry-Paraffin

1:2000

Western Blot

1:1000

Formulation, Preparation, and Storage

Purification

Protein A purified

Formulation

1*TBS (pH7.4), 0.05% BSA and 40% Glycerol

Preservative

0.05% Sodium Azide

Concentration

1 mg/ml

Shipping

The product is shipped with polar packs. Upon receipt, store it immediately at the temperature recommended below.

Stability & Storage

Store at 4C short term. Aliquot and store at -20C long term. Avoid freeze-thaw cycles.

Background: Thioredoxin-2

This nuclear gene encodes a mitochondrial member of the thioredoxin family, a group of small multifunctional redox-active proteins. The encoded protein may play important roles in the regulation of the mitochondrial membrane potential and in protection against oxidant-induced apoptosis. (provided by RefSeq)

Alternate Names

MT-TRX, Thioredoxin2, Trx2, TXN2

Gene Symbol

TXN2

Additional Thioredoxin-2 Products

Product Documents for Thioredoxin-2 Antibody (JE35-76)

Certificate of Analysis

To download a Certificate of Analysis, please enter a lot number in the search box below.

Product Specific Notices for Thioredoxin-2 Antibody (JE35-76)

This product is for research use only and is not approved for use in humans or in clinical diagnosis. Primary Antibodies are guaranteed for 1 year from date of receipt.

Loading...
Loading...
Loading...
Loading...