Skip to main content

THEM6 Antibody - BSA Free

Novus Biologicals, part of Bio-Techne | Catalog # NBP1-84052

Novus Biologicals, part of Bio-Techne
Catalog #
Availability
Size / Price
Qty
Loading...
NBP1-84052
NBP1-84052-25ul

Key Product Details

Species Reactivity

Validated:

Human

Cited:

Human

Applications

Validated:

Immunohistochemistry, Immunohistochemistry-Paraffin, Western Blot, Immunocytochemistry/ Immunofluorescence

Cited:

Chemotaxis

Label

Unconjugated

Antibody Source

Polyclonal Rabbit IgG

Format

BSA Free

Concentration

Concentrations vary lot to lot. See vial label for concentration. If unlisted please contact technical services.

Product Specifications

Immunogen

This antibody was developed against Recombinant Protein corresponding to amino acids: LLGWDDRAFYLEARFVSLRDGFVCALLRFRQHLLGTSPERVVQHLCQRRVEPPELPADLQHWISYNEASSQLLRMESGLSDVTKDQ

Reactivity Notes

Immunogen displays the following percentage of sequence identity for non-tested species: Rat (88%), Mouse (88%).

Clonality

Polyclonal

Host

Rabbit

Isotype

IgG

Description

Novus Biologicals Rabbit THEM6 Antibody - BSA Free (NBP1-84052) is a polyclonal antibody validated for use in IHC, WB and ICC/IF. Anti-THEM6 Antibody: Cited in 1 publication. All Novus Biologicals antibodies are covered by our 100% guarantee.

Scientific Data Images for THEM6 Antibody - BSA Free

Western Blot: THEM6 Antibody [NBP1-84052]

Western Blot: THEM6 Antibody [NBP1-84052]

Western Blot: THEM6 Antibody [NBP1-84052] - Lane 1: Marker [kDa] 230, 130, 95, 72, 56, 36, 28, 17, 11. Lane 2: Human cell line RT-4. Lane 3: Human cell line U-251MG sp. Lane 4: Human plasma (IgG/HSA depleted). Lane 5: Human liver tissue
Immunocytochemistry/ Immunofluorescence: THEM6 Antibody [NBP1-84052]

Immunocytochemistry/ Immunofluorescence: THEM6 Antibody [NBP1-84052]

Immunocytochemistry/Immunofluorescence: THEM6 Antibody [NBP1-84052] - Immunofluorescent staining of human cell line U-251 MG shows localization to nuclear speckles & cytosol.
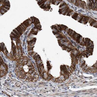
Immunohistochemistry-Paraffin: THEM6 Antibody [NBP1-84052]

Immunohistochemistry-Paraffin: THEM6 Antibody [NBP1-84052]

Immunohistochemistry-Paraffin: THEM6 Antibody [NBP1-84052] - Staining of human small intestine shows strong membranous and cytoplasmic positivity in glandular cells.

Applications for THEM6 Antibody - BSA Free

Application
Recommended Usage

Immunocytochemistry/ Immunofluorescence

0.25-2 ug/ml

Immunohistochemistry

1:500 - 1:1000

Immunohistochemistry-Paraffin

1:500 - 1:1000

Western Blot

0.04-0.4 ug/ml
Application Notes
For IHC-Paraffin, HIER pH 6 retrieval is recommended. ICC/IF Fixation Permeabilization: Use PFA/Triton X-100.

Formulation, Preparation, and Storage

Purification

Immunogen affinity purified

Formulation

PBS (pH 7.2) and 40% Glycerol

Format

BSA Free

Preservative

0.02% Sodium Azide

Concentration

Concentrations vary lot to lot. See vial label for concentration. If unlisted please contact technical services.

Shipping

The product is shipped with polar packs. Upon receipt, store it immediately at the temperature recommended below.

Stability & Storage

Store at 4C short term. Aliquot and store at -20C long term. Avoid freeze-thaw cycles.

Background: THEM6

Alternate Names

C8orf55, chromosome 8 open reading frame 55, DSCD75, Mesenchymal stem cell protein DSCD75, thioesterase superfamily member 6

Gene Symbol

THEM6

Additional THEM6 Products

Product Documents for THEM6 Antibody - BSA Free

Certificate of Analysis

To download a Certificate of Analysis, please enter a lot number in the search box below.

Product Specific Notices for THEM6 Antibody - BSA Free

This product is for research use only and is not approved for use in humans or in clinical diagnosis. Primary Antibodies are guaranteed for 1 year from date of receipt.

Loading...
Loading...
Loading...
Loading...