Skip to main content

THAP1 Antibody - BSA Free

Novus Biologicals, part of Bio-Techne | Catalog # NBP3-45254

Novus Biologicals, part of Bio-Techne
Catalog #
Availability
Size / Price
Qty
Loading...
NBP3-45254

Key Product Details

Species Reactivity

Human, Mouse, Rat

Applications

ELISA, Immunocytochemistry/ Immunofluorescence, Immunohistochemistry, Western Blot

Label

Unconjugated

Antibody Source

Polyclonal Rabbit IgG

Format

BSA Free

Concentration

Please see the vial label for concentration. If unlisted please contact technical services.

Product Specifications

Immunogen

THAP domain containing, apoptosis associated protein 1. (Uniprot# Q9NVV9)

Clonality

Polyclonal

Host

Rabbit

Isotype

IgG

Theoretical MW

25 kDa.
Disclaimer note: The observed molecular weight of the protein may vary from the listed predicted molecular weight due to post translational modifications, post translation cleavages, relative charges, and other experimental factors.

Description

Novus Biologicals Rabbit THAP1 Antibody - BSA Free (NBP3-45254) is a polyclonal antibody validated for use in IHC, WB, ELISA and ICC/IF. All Novus Biologicals antibodies are covered by our 100% guarantee.

Scientific Data Images for THAP1 Antibody - BSA Free

THAP1 Antibody - BSA Free

Western Blot: THAP1 Antibody - BSA Free [NBP3-45254] -

Western Blot: THAP1 Antibody - BSA Free [NBP3-45254] - HEK-293 cells were subjected to SDS PAGE followed by western blot with ( THAP1 Antibody) at dilution of 1:1000
THAP1 Antibody - BSA Free

Immunocytochemistry/ Immunofluorescence: THAP1 Antibody - BSA Free [NBP3-45254] -

Immunocytochemistry/ Immunofluorescence: THAP1 Antibody - BSA Free [NBP3-45254] - Immunofluorescence analysis of A549 cells using (THAP1 antibody)
THAP1 Antibody - BSA Free

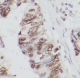
Immunohistochemistry: THAP1 Antibody - BSA Free [NBP3-45254] -

Immunohistochemistry: THAP1 Antibody - BSA Free [NBP3-45254] - Immunohistochemistry of paraffin-embedded human colon cancer using (THAP1 antibody) at dilution of 1:50

Applications for THAP1 Antibody - BSA Free

Application
Recommended Usage

Immunocytochemistry/ Immunofluorescence

1:50 - 1:200

Immunohistochemistry

1:50 - 1:200

Western Blot

1:500 - 1:2000

Formulation, Preparation, and Storage

Purification

Immunogen affinity purified

Formulation

PBS, 50% Glycerol, pH (7.3)

Format

BSA Free

Preservative

0.02% Sodium Azide

Concentration

Please see the vial label for concentration. If unlisted please contact technical services.

Shipping

The product is shipped with polar packs. Upon receipt, store it immediately at the temperature recommended below.

Stability & Storage

Store at -20C. Avoid freeze-thaw cycles.

Background: THAP1

THAP1 is encoded by this gene contains a THAP domain, a conserved DNA-binding domain. This protein colocalizes with the apoptosis response protein PAWR/PAR-4 in promyelocytic leukemia (PML) nuclear bodies, and functions as a proapoptotic factor that links PAWR to PML nuclear bodies. Alternatively spliced transcript variants encoding distinct isoforms have been observed.

Alternate Names

4833431A01Rik, dystonia 6, torsion (autosomal dominant), DYT6, FLJ10477, MGC33014, nuclear proapoptotic factor, THAP domain containing, apoptosis associated protein 1, THAP domain protein 1, THAP domain-containing protein 1

Gene Symbol

THAP1

Additional THAP1 Products

Product Documents for THAP1 Antibody - BSA Free

Certificate of Analysis

To download a Certificate of Analysis, please enter a lot number in the search box below.

Product Specific Notices for THAP1 Antibody - BSA Free

This product is for research use only and is not approved for use in humans or in clinical diagnosis. Primary Antibodies are guaranteed for 1 year from date of receipt.

Loading...
Loading...
Loading...
Loading...