Skip to main content

TGF-beta 1 Antibody (PD00-17)

Novus Biologicals, part of Bio-Techne | Catalog # NBP3-33008

Recombinant Monoclonal Antibody
Novus Biologicals, part of Bio-Techne
Catalog #
Availability
Size / Price
Qty
Loading...
NBP3-33008

Key Product Details

Species Reactivity

Human, Mouse, Rat

Applications

Immunohistochemistry, Immunohistochemistry-Paraffin, Western Blot

Label

Unconjugated

Antibody Source

Recombinant Monoclonal Rabbit IgG Clone # PD00-17 expressed in HEK293

Concentration

1 mg/ml

Product Specifications

Immunogen

Synthetic peptide (KLH-coupled) corresponding to Human TGF-Beta 1 C-terminal. (Uniprot: P01137)

Localization

Extracellular matrix, Secreted.

Clonality

Monoclonal

Host

Rabbit

Isotype

IgG

Theoretical MW

44 kDa.
Disclaimer note: The observed molecular weight of the protein may vary from the listed predicted molecular weight due to post translational modifications, post translation cleavages, relative charges, and other experimental factors.

Description

Novus Biologicals Rabbit TGF-beta 1 Antibody (PD00-17) (NBP3-33008) is a recombinant monoclonal antibody validated for use in IHC and WB. All Novus Biologicals antibodies are covered by our 100% guarantee.

Scientific Data Images for TGF-beta 1 Antibody (PD00-17)

TGF-beta 1 Antibody (PD00-17)

Western Blot: TGF-beta 1 Antibody (PD00-17) [NBP3-33008]

Western Blot: TGF-beta 1 Antibody (PD00-17) [NBP3-33008] - Western blot analysis of TGF-beta 1 on different lysates with Rabbit anti-TGF-beta 1 antibody (NBP3-33008) at 1/2,000 dilution.

Lane 1: Raji cell lysate (15 ug/Lane)
Lane 2: K-562 cell lysate (15 ug/Lane)
Lane 3: Mouse spleen tissue lysate (20 ug/Lane)
Lane 4: Rat spleen tissue lysate (20 ug/Lane)

Predicted band size: 44 kDa
Observed band size: 44 kDa

Exposure time: 3 minutes 54 seconds;

4-20% SDS-PAGE gel.

Proteins were transferred to a PVDF membrane and blocked with 5% NFDM/TBST for 1 hour at room temperature. The primary antibody (NBP3-33008) at 1/2,000 dilution was used in 5% NFDM/TBST at 4C overnight. Goat Anti-Rabbit IgG - HRP Secondary Antibody at 1/50,000 dilution was used for 1 hour at room temperature.
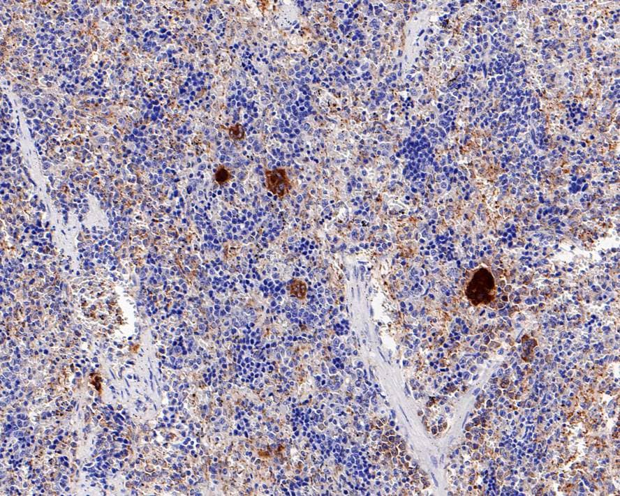
TGF-beta 1 Antibody (PD00-17)

Immunohistochemistry: TGF-beta 1 Antibody (PD00-17) [NBP3-33008]

Immunohistochemistry: TGF-beta 1 Antibody (PD00-17) [NBP3-33008] - Immunohistochemical analysis of paraffin-embedded rat spleen tissue with Rabbit anti-TGF-beta 1 antibody (NBP3-33008) at 1/200 dilution.

The section was pre-treated using heat mediated antigen retrieval with Tris-EDTA buffer (pH 9.0) for 20 minutes. The tissues were blocked in 1% BSA for 20 minutes at room temperature, washed with ddH2O and PBS, and then probed with the primary antibody (NBP3-33008) at 1/200 dilution for 1 hour at room temperature. The detection was performed using an HRP conjugated compact polymer system. DAB was used as the chromogen. Tissues were counterstained with hematoxylin and mounted with DPX.

Applications for TGF-beta 1 Antibody (PD00-17)

Application
Recommended Usage

Immunohistochemistry-Paraffin

1:200

Western Blot

1:2000

Formulation, Preparation, and Storage

Purification

Protein A purified

Formulation

PBS (pH7.4), 0.1% BSA and 40% Glycerol

Preservative

0.05% Sodium Azide

Concentration

1 mg/ml

Shipping

The product is shipped with polar packs. Upon receipt, store it immediately at the temperature recommended below.

Stability & Storage

Store at 4C short term. Aliquot and store at -20C long term. Avoid freeze-thaw cycles.

Background: TGF-beta 1

TGF-beta-1 is a multifunctional cytokine that belongs to a superfamily of structurally related regulatory proteins, which includes three mammalian TGF-beta isoforms (TGF-beta-1, -beta-2, and -beta-3), activin/inhibins and bone morphogenetic proteins. The most abundant isoform, TGF-beta-1, is a 25kDa homodimer composed of two 12.5kDa subunits joined by disulfide bonds. TGF-beta-1 is a highly conserved molecule - the amino acid sequence between human and mouse differ only by one residue. Although originally defined by its ability to cause anchorage independent cell growth and changes in cell morphology of rat fibroblasts, subsequent research has revealed that TGF-beta is actually a major growth inhibitor for most cell types. It is produced by a wide variety of cell and tissue types during all stages of cell differentiation. TGF-beta-1 sources include platelets, bone and soft tissues such as placenta and kidneys.

Long Name

Transforming Growth Factor beta 1

Alternate Names

TGF beta1, TGFB, TGFB1, TGFbeta 1

Gene Symbol

TGFB1

Additional TGF-beta 1 Products

Product Documents for TGF-beta 1 Antibody (PD00-17)

Certificate of Analysis

To download a Certificate of Analysis, please enter a lot number in the search box below.

Product Specific Notices for TGF-beta 1 Antibody (PD00-17)

This product is for research use only and is not approved for use in humans or in clinical diagnosis. Primary Antibodies are guaranteed for 1 year from date of receipt.

Loading...
Loading...
Loading...
Loading...
Loading...