TfR2 Antibody - BSA Free
Novus Biologicals, part of Bio-Techne | Catalog # NBP2-86865
Key Product Details
Species Reactivity
Human
Applications
Immunohistochemistry, Immunohistochemistry-Paraffin, Western Blot
Label
Unconjugated
Antibody Source
Polyclonal Rabbit
Format
BSA Free
Concentration
0.5 mg/ml
Product Specifications
Immunogen
The immunogen is a synthetic peptide directed towards the middle region of human TfR2. Peptide sequence: YVSLDNAVLGDDKFHAKTSPLLTSLIESVLKQVDSPNHSGQTLYEQVVFT The peptide sequence for this immunogen was taken from within the described region.
Clonality
Polyclonal
Host
Rabbit
Description
Novus Biologicals Rabbit TfR2 Antibody - BSA Free (NBP2-86865) is a polyclonal antibody validated for use in IHC and WB. All Novus Biologicals antibodies are covered by our 100% guarantee.
Scientific Data Images for TfR2 Antibody - BSA Free
Western Blot: TfR2 Antibody [NBP2-86865]
Western Blot: TfR2 Antibody [NBP2-86865] - WB Suggested Anti-TFR2 Antibody Titration: 0.2-1 ug/ml. ELISA Titer: 1:62500. Positive Control: Hela cell lysateImmunohistochemistry: TfR2 Antibody [NBP2-86865]
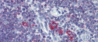
Immunohistochemistry: TfR2 Antibody [NBP2-86865] - Immunohistochemistry with Human Thymus lysate tissue at an antibody concentration of 5.0ug/ml using anti-TFR2 antibodyApplications for TfR2 Antibody - BSA Free
Application
Recommended Usage
Western Blot
1.0 ug/ml
Formulation, Preparation, and Storage
Purification
Affinity purified
Formulation
PBS, 2% Sucrose
Format
BSA Free
Preservative
0.09% Sodium Azide
Concentration
0.5 mg/ml
Shipping
The product is shipped with polar packs. Upon receipt, store it immediately at the temperature recommended below.
Stability & Storage
Store at 4C short term. Aliquot and store at -20C long term. Avoid freeze-thaw cycles.
Background: TfR2
Long Name
Transferrin Receptor 2
Alternate Names
HFE3, TFRC2
Gene Symbol
TFR2
Additional TfR2 Products
Product Specific Notices for TfR2 Antibody - BSA Free
This product is for research use only and is not approved for use in humans or in clinical diagnosis. Primary Antibodies are guaranteed for 1 year from date of receipt.
Loading...
Loading...
Loading...
Loading...