TFIIB Antibody - BSA Free
Novus Biologicals, part of Bio-Techne | Catalog # NBP3-35718
Key Product Details
Species Reactivity
Human, Mouse, Rat
Applications
ELISA, Immunocytochemistry/ Immunofluorescence, Immunohistochemistry, Immunohistochemistry-Paraffin, Western Blot
Label
Unconjugated
Antibody Source
Polyclonal Rabbit IgG
Format
BSA Free
Concentration
Please see the vial label for concentration. If unlisted please contact technical services.
Product Specifications
Immunogen
Recombinant fusion protein containing a sequence corresponding to amino acids 40-154 of TFIIB(NP_001505.1).
Sequence:
VVGDRVIDVGSEWRTFSNDKATKDPSRVGDSQNPLLSDGDLSTMIGKGTGAASFDEFGNSKYQNRRTMSSSDRAMMNAFKEITTMADRINLPRNIVDRTNNLFKQVYEQKSLKGR
Sequence:
VVGDRVIDVGSEWRTFSNDKATKDPSRVGDSQNPLLSDGDLSTMIGKGTGAASFDEFGNSKYQNRRTMSSSDRAMMNAFKEITTMADRINLPRNIVDRTNNLFKQVYEQKSLKGR
Clonality
Polyclonal
Host
Rabbit
Isotype
IgG
Theoretical MW
35 kDa.
Disclaimer note: The observed molecular weight of the protein may vary from the listed predicted molecular weight due to post translational modifications, post translation cleavages, relative charges, and other experimental factors.
Disclaimer note: The observed molecular weight of the protein may vary from the listed predicted molecular weight due to post translational modifications, post translation cleavages, relative charges, and other experimental factors.
Description
Novus Biologicals Rabbit TFIIB Antibody - BSA Free (NBP3-35718) is a polyclonal antibody validated for use in IHC, WB, ELISA and ICC/IF. All Novus Biologicals antibodies are covered by our 100% guarantee.
Scientific Data Images for TFIIB Antibody - BSA Free
Immunocytochemistry/ Immunofluorescence: TFIIB Antibody [NBP3-35718] -
Immunocytochemistry/ Immunofluorescence: TFIIB Antibody [NBP3-35718] - Immunofluorescence analysis of L929 cells using TFIIB Rabbit pAb at dilution of 1:100 (40x lens). Secondary antibody: Cy3-conjugated Goat anti-Rabbit IgG (H+L) at 1:500 dilution. Blue: DAPI for nuclear staining.Immunohistochemistry: TFIIB Antibody [NBP3-35718] -
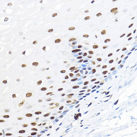
Immunohistochemistry: TFIIB Antibody [NBP3-35718] - Immunohistochemistry analysis of paraffin-embedded Human lung cancer using TFIIB Rabbit pAb at dilution of 1:100 (40x lens). High pressure antigen retrieval performed with 0.01M Citrate Bufferr (pH 6.0) prior to IHC staining.Immunohistochemistry: TFIIB Antibody [NBP3-35718] -
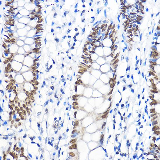
Immunohistochemistry: TFIIB Antibody [NBP3-35718] - Immunohistochemistry analysis of paraffin-embedded Human colon using TFIIB Rabbit pAb at dilution of 1:100 (40x lens). High pressure antigen retrieval performed with 0.01M Citrate Bufferr (pH 6.0) prior to IHC staining.Applications for TFIIB Antibody - BSA Free
Application
Recommended Usage
Immunocytochemistry/ Immunofluorescence
1:50 - 1:200
Immunohistochemistry-Paraffin
1:50 - 1:200
Western Blot
1:500 - 1:1000
Formulation, Preparation, and Storage
Purification
Affinity purified
Formulation
PBS (pH 7.3), 50% glycerol
Format
BSA Free
Preservative
0.01% Thimerosal
Concentration
Please see the vial label for concentration. If unlisted please contact technical services.
Shipping
The product is shipped with polar packs. Upon receipt, store it immediately at the temperature recommended below.
Stability & Storage
Store at -20C. Avoid freeze-thaw cycles.
Background: TFIIB
Alternate Names
general transcription factor IIB, General transcription factor TFIIB, S300-II, TFIIBTF2BRNA polymerase II transcription factor IIB, transcription initiation factor IIB
Gene Symbol
GTF2B
Additional TFIIB Products
Product Documents for TFIIB Antibody - BSA Free
Product Specific Notices for TFIIB Antibody - BSA Free
This product is for research use only and is not approved for use in humans or in clinical diagnosis. Primary Antibodies are guaranteed for 1 year from date of receipt.
Loading...
Loading...
Loading...
Loading...