Skip to main content

TFII-I Antibody

Novus Biologicals, part of Bio-Techne | Catalog # NB100-61054

Novus Biologicals, part of Bio-Techne
Catalog #
Availability
Size / Price
Qty
Loading...
NB100-61054

Key Product Details

Validated by

Independent Antibodies

Species Reactivity

Human, Mouse

Applications

Immunocytochemistry/ Immunofluorescence, Immunohistochemistry, Immunohistochemistry-Paraffin, Immunoprecipitation, Western Blot

Label

Unconjugated

Antibody Source

Polyclonal Rabbit IgG

Concentration

0.2 mg/ml

Product Specifications

Immunogen

The immunogen recognized by this antibody maps to a region between residue 985 and 998 of human general transcription factor II, i using the numbering given in entry NP_127492.1 (GeneID 2969).

Clonality

Polyclonal

Host

Rabbit

Isotype

IgG

Description

Novus Biologicals Rabbit TFII-I Antibody (NB100-61054) is a polyclonal antibody validated for use in IHC, WB, ICC/IF and IP. All Novus Biologicals antibodies are covered by our 100% guarantee.

Scientific Data Images for TFII-I Antibody

Immunocytochemistry/ Immunofluorescence: TFII-I Antibody [NB100-61054]

Immunocytochemistry/ Immunofluorescence: TFII-I Antibody [NB100-61054]

Immunocytochemistry/Immunofluorescence: TFII-I Antibody [NB100-61054] - FFPE section of human colon carcinoma. Affinity purified rabbit anti-GTF2I/TF II-I used at a dilution of 1:100.
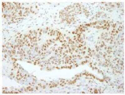
Immunohistochemistry: TFII-I Antibody [NB100-61054]

Immunohistochemistry: TFII-I Antibody [NB100-61054]

Immunohistochemistry: TFII-I Antibody [NB100-61054] - Sample: FFPE section of human Ewing sarcoma (left) and mouse teratoma (right). Antibody: Affinity purified rabbit anti-GTF2I/TFII-I used at a dilution of 1:200 (1ug/ml). Detection: DAB
Immunohistochemistry-Paraffin: TFII-I Antibody [NB100-61054]

Immunohistochemistry-Paraffin: TFII-I Antibody [NB100-61054]

Immunohistochemistry-Paraffin: TFII-I Antibody [NB100-61054] - FFPE section of human colon carcinoma. Affinity purified rabbit anti-GTF2I/TFII-I used at a dilution of 1:100.

Applications for TFII-I Antibody

Application
Recommended Usage

Immunocytochemistry/ Immunofluorescence

1:10-1:500

Immunohistochemistry

1:10-1:500

Immunohistochemistry-Paraffin

1:100-1:500

Formulation, Preparation, and Storage

Purification

Immunogen affinity purified

Formulation

TBS and 0.1% BSA

Preservative

0.09% Sodium Azide

Concentration

0.2 mg/ml

Shipping

The product is shipped with polar packs. Upon receipt, store it immediately at the temperature recommended below.

Stability & Storage

Store at 4C. Do not freeze.

Background: TFII-I

This gene encodes a multifunctional phosphoprotein with roles in transcription and signal transduction. It is deleted in Williams-Beuren syndrome, a multisystem developmental disorder caused by the deletion of contiguous genes at chromosome 7q11.23. The exon(s) encoding 5' UTR has not been fully defined, but this gene is known to contain at least 34 exons, and its alternative splicing generates 4 transcript variants.

Alternate Names

BAP-135,135kD, BAP135WBS, Bruton tyrosine kinase-associated protein 135, BTKAP1, DIWS, FLJ38776, FLJ56355, general transcription factor II, i, general transcription factor IIi, general transcription factor II-I, GTFII-I, IB291, SPINBTK-associated protein 135, TFII-ISRF-Phox1-interacting protein, WBSCR6, Williams-Beuren syndrome chromosome region 6

Entrez Gene IDs

2969 (Human)

Gene Symbol

GTF2I

Additional TFII-I Products

Product Documents for TFII-I Antibody

Certificate of Analysis

To download a Certificate of Analysis, please enter a lot number in the search box below.

Product Specific Notices for TFII-I Antibody

This product is for research use only and is not approved for use in humans or in clinical diagnosis. Primary Antibodies are guaranteed for 1 year from date of receipt.

Loading...
Loading...
Loading...
Loading...