Skip to main content

TFF3 Antibody (JE32-01)

Novus Biologicals, part of Bio-Techne | Catalog # NBP3-33047

Recombinant Monoclonal Antibody
Novus Biologicals, part of Bio-Techne
Catalog #
Availability
Size / Price
Qty
Loading...
NBP3-33047

Key Product Details

Species Reactivity

Human

Applications

Immunohistochemistry, Immunohistochemistry-Paraffin, Western Blot, Flow Cytometry

Label

Unconjugated

Antibody Source

Recombinant Monoclonal Rabbit IgG Clone # JE32-01 expressed in HEK293

Concentration

1 mg/ml

Product Specifications

Immunogen

Synthetic peptide within Human TFF3 aa 31-80 / 80. (Uniprot: Q07654)

Localization

Secreted > extracellular space > extracellular matrix > apical lamina.

Clonality

Monoclonal

Host

Rabbit

Isotype

IgG

Theoretical MW

8 kDa.
Disclaimer note: The observed molecular weight of the protein may vary from the listed predicted molecular weight due to post translational modifications, post translation cleavages, relative charges, and other experimental factors.

Description

Novus Biologicals Rabbit TFF3 Antibody (JE32-01) (NBP3-33047) is a recombinant monoclonal antibody validated for use in IHC, WB and Flow. All Novus Biologicals antibodies are covered by our 100% guarantee.

Scientific Data Images for TFF3 Antibody (JE32-01)

TFF3 Antibody (JE32-01)

Western Blot: TFF3 Antibody (JE32-01) [NBP3-33047]

Western Blot: TFF3 Antibody (JE32-01) [NBP3-33047] - Western blot analysis of TFF3 on human small intestine tissue lysates with Rabbit anti-TFF3 antibody (NBP3-33047) at 1/1,000 dilution.

Lysates/proteins at 30 ug/Lane.

Predicted band size: 8 kDa
Observed band size: 11 kDa

Exposure time: 3 minutes;

4-20% SDS-PAGE gel.

Proteins were transferred to a PVDF membrane and blocked with 5% NFDM/TBST for 1 hour at room temperature. The primary antibody (NBP3-33047) at 1/1,000 dilution was used in 5% NFDM/TBST at 4C overnight. Goat Anti-Rabbit IgG - HRP Secondary Antibody at 1:100,000 dilution was used for 1 hour at room temperature.
TFF3 Antibody (JE32-01)

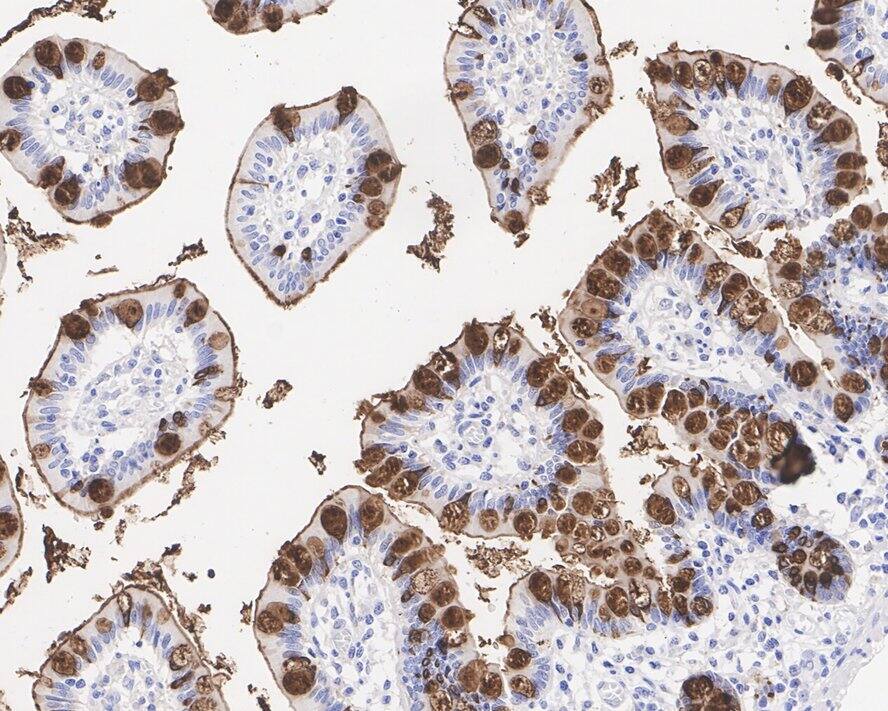
Immunohistochemistry: TFF3 Antibody (JE32-01) [NBP3-33047]

Immunohistochemistry: TFF3 Antibody (JE32-01) [NBP3-33047] - Immunohistochemical analysis of paraffin-embedded human small intestine tissue with Rabbit anti-TFF3 antibody (NBP3-33047) at 1/1,000 dilution.

The section was pre-treated using heat mediated antigen retrieval with Tris-EDTA buffer (pH 9.0) for 20 minutes. The tissues were blocked in 1% BSA for 20 minutes at room temperature, washed with ddH2O and PBS, and then probed with the primary antibody (NBP3-33047) at 1/1,000 dilution for 1 hour at room temperature. The detection was performed using an HRP conjugated compact polymer system. DAB was used as the chromogen. Tissues were counterstained with hematoxylin and mounted with DPX.
TFF3 Antibody (JE32-01)

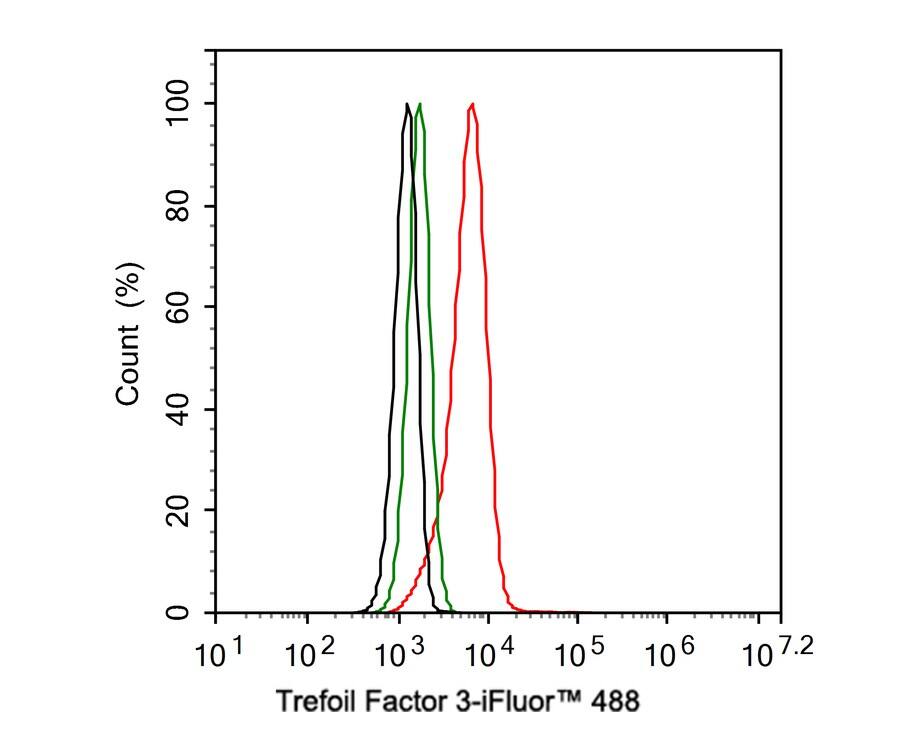
Flow Cytometry: TFF3 Antibody (JE32-01) [NBP3-33047]

Flow Cytometry: TFF3 Antibody (JE32-01) [NBP3-33047] - Flow cytometric analysis of HT-29 cells labeling TFF3.

Cells were fixed and permeabilized. Then stained with the primary antibody (NBP3-33047, 1ug/ml) (red) compared with Rabbit IgG Isotype Control (green). After incubation of the primary antibody at +4℃ for an hour, the cells were stained with a iFluor™ 488 conjugate-Goat anti-Rabbit IgG Secondary antibody at 1/1,000 dilution for 30 minutes at +4℃. Unlabelled sample was used as a control (cells without incubation with primary antibody; black).

Applications for TFF3 Antibody (JE32-01)

Application
Recommended Usage

Flow Cytometry

1:500-1:1000

Immunohistochemistry-Paraffin

1:1000

Western Blot

1:1000

Formulation, Preparation, and Storage

Purification

Protein A purified

Formulation

1*TBS (pH7.4), 0.05% BSA and 40% Glycerol

Preservative

0.05% Sodium Azide

Concentration

1 mg/ml

Shipping

The product is shipped with polar packs. Upon receipt, store it immediately at the temperature recommended below.

Stability & Storage

Store at 4C short term. Aliquot and store at -20C long term. Avoid freeze-thaw cycles.

Background: TFF3

Trefoil Factor 3 is a member of the trefoil family are characterized by having at least one copy of the trefoil motif, a 40-amino acid domain that contains three conserved disulfides. They are stable secretory proteins expressed in gastrointestinal mucosa. Their functions are not defined, but they may protect the mucosa from insults, stabilize the mucus layer and affect healing of the epithelium. This gene is expressed in goblet cells of the intestines and colon. Trefoil Factor 3 and two other related trefoil family member genes are found in a cluster on chromosome 21.

Long Name

Trefoil Factor 3

Alternate Names

ITF, TFI

Gene Symbol

TFF3

Additional TFF3 Products

Product Documents for TFF3 Antibody (JE32-01)

Certificate of Analysis

To download a Certificate of Analysis, please enter a lot number in the search box below.

Product Specific Notices for TFF3 Antibody (JE32-01)

This product is for research use only and is not approved for use in humans or in clinical diagnosis. Primary Antibodies are guaranteed for 1 year from date of receipt.

Loading...
Loading...
Loading...
Loading...
Loading...