Skip to main content

TFB2M Antibody

Novus Biologicals, part of Bio-Techne | Catalog # NBP1-78283

Novus Biologicals, part of Bio-Techne
Catalog #
Availability
Size / Price
Qty
Loading...
NBP1-78283

Key Product Details

Species Reactivity

Human

Applications

Immunohistochemistry, Immunohistochemistry-Paraffin, Western Blot, Peptide ELISA

Label

Unconjugated

Antibody Source

Polyclonal Goat IgG

Concentration

0.5 mg/ml

Product Specifications

Immunogen

Peptide with sequence KHCFGRRSATVIDH corresponding to internal region according to NP_071761.1.

Clonality

Polyclonal

Host

Goat

Isotype

IgG

Scientific Data Images for TFB2M Antibody

Western Blot: TFB2M Antibody [NBP1-78283]

Western Blot: TFB2M Antibody [NBP1-78283]

Western Blot: TFB2M Antibody [NBP1-78283] - (0.1ug/ml) staining of Human Lung lysate (35ug protein in RIPA buffer). Primary incubation was 1 hour. Detected by chemiluminescence.
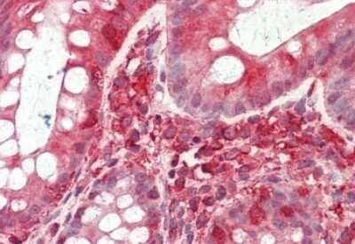
Immunohistochemistry-Paraffin: TFB2M Antibody [NBP1-78283]

Immunohistochemistry-Paraffin: TFB2M Antibody [NBP1-78283]

Immunohistochemistry-Paraffin: TFB2M Antibody [NBP1-78283] - 5ug/ml staining of paraffin embedded Human Colon. Steamed antigen retrieval with citrate buffer pH 6, AP-staining.

Applications for TFB2M Antibody

Application
Recommended Usage

Immunohistochemistry

0.1-0.3ug/ml

Peptide ELISA

Detection limit 1:64000

Western Blot

0.1 ug/ml
Application Notes
Western blot: Approx 45kDa band observed in Human Lung lysates (calculated MW of 45.3kDa according to NP_071761.1). Primary incubation was 1 hour
IHC: Paraffin embedded Human Colon.

Formulation, Preparation, and Storage

Purification

Immunogen affinity purified

Formulation

Tris saline (20 mM Tris pH 7.3, 150 mM NaCl), 0.5% BSA

Preservative

0.02% Sodium Azide

Concentration

0.5 mg/ml

Shipping

The product is shipped with polar packs. Upon receipt, store it immediately at the temperature recommended below.

Stability & Storage

Store at -20C. Avoid freeze-thaw cycles.

Background: TFB2M

S-adenosyl-L-methionine-dependent methyltransferase which specifically dimethylates mitochondrial 12S rRNA atthe conserved stem loop. Also required for basal transcription of mitochondrial DNA, probably via its interaction withPOLRMT and TFAM. Stimulates transcription independently of the methyltransferase activity. Compared to TFB1M, itactivates transcription of mitochondrial DNA more efficiently, while it has less methyltransferase activity

Alternate Names

dimethyladenosine transferase 2, mitochondrial, EC 2.1.1.-, FLJ22661, FLJ23182, HCV NS5A-transactivated protein 5, Hepatitis C virus NS5A-transactivated protein 5, Hkp1, h-mtTFB, h-mtTFB2, hTFB2M, Mitochondrial 12S rRNA dimethylase 2, Mitochondrial transcription factor B2, mtTFB2, NS5ATP5, S-adenosylmethionine-6-N', N'-adenosyl(rRNA) dimethyltransferase 2, transcription factor B2, mitochondrial

Gene Symbol

TFB2M

Additional TFB2M Products

Product Documents for TFB2M Antibody

Certificate of Analysis

To download a Certificate of Analysis, please enter a lot number in the search box below.

Product Specific Notices for TFB2M Antibody

This product is for research use only and is not approved for use in humans or in clinical diagnosis. Primary Antibodies are guaranteed for 1 year from date of receipt.

Loading...
Loading...
Loading...
Loading...