Skip to main content

TET2 Antibody (CL6873)

Novus Biologicals, part of Bio-Techne | Catalog # NBP3-52056

Recombinant Monoclonal Antibody
Novus Biologicals, part of Bio-Techne
Catalog #
Availability
Size / Price
Qty
Loading...
NBP3-52056-100ul
NBP3-52056-25ul

Key Product Details

Species Reactivity

Human

Applications

Immunohistochemistry, Immunohistochemistry-Paraffin, Western Blot, Immunocytochemistry/ Immunofluorescence

Label

Unconjugated

Antibody Source

Recombinant Monoclonal Mouse IgG2B Clone # CL6873

Concentration

1 mg/ml

Product Specifications

Immunogen

This antibody was developed using a synthetic peptide derived from Q6N021, with the exact immunogen sequence remaining proprietary.

Clonality

Monoclonal

Host

Mouse

Isotype

IgG2B

Scientific Data Images for TET2 Antibody (CL6873)

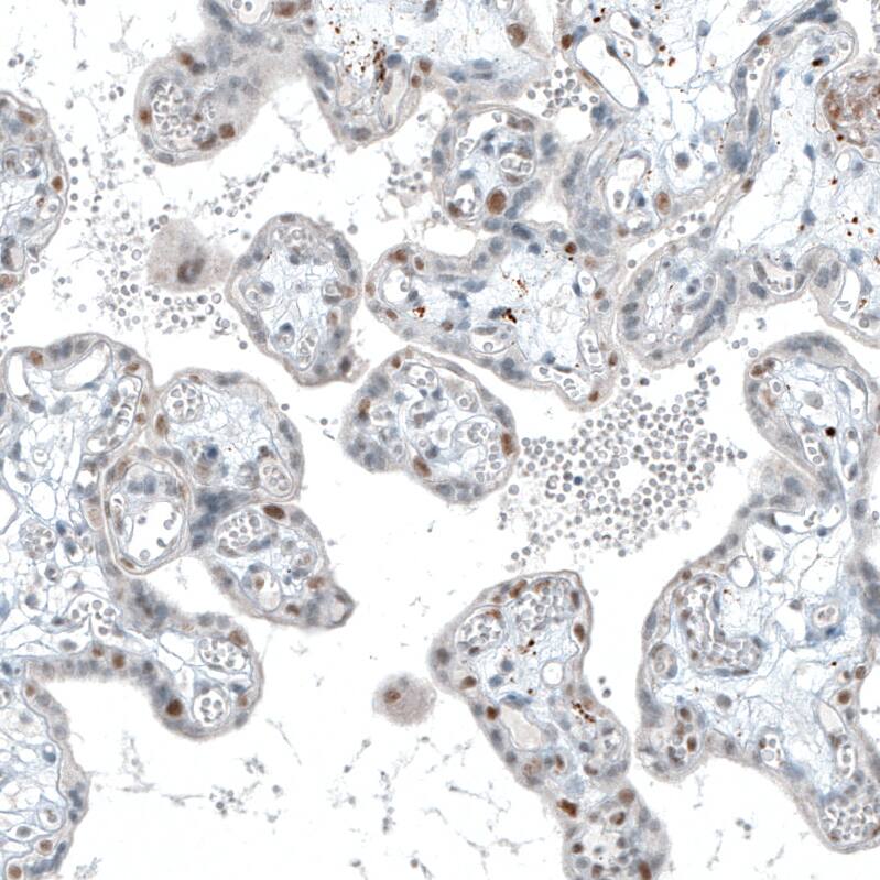
TET2 Antibody (CL6873) Immunohistochemistry: TET2 Antibody (CL6873) [NBP3-52056]

Immunohistochemistry: TET2 Antibody (CL6873) [NBP3-52056]

Staining of human placenta shows moderate nuclear positivity in a subset of trophoblastic cells.
TET2 Antibody (CL6873) Immunohistochemistry: TET2 Antibody (CL6873) [NBP3-52056]

Immunohistochemistry: TET2 Antibody (CL6873) [NBP3-52056]

Analysis in human placenta and pancreas tissues. Corresponding TET2 RNA-seq data are presented for the same tissues.
TET2 Antibody (CL6873) Immunohistochemistry: TET2 Antibody (CL6873) [NBP3-52056]

Immunohistochemistry: TET2 Antibody (CL6873) [NBP3-52056]

Staining of human tonsil shows weak to moderate nuclear positivity in squamous epithelial cells.

Applications for TET2 Antibody (CL6873)

Application
Recommended Usage

Immunocytochemistry/ Immunofluorescence

2-10 ug/ml

Immunohistochemistry

1:20 - 1:50

Immunohistochemistry-Paraffin

1:20 - 1:50

Western Blot

1 ug/ml
Application Notes
For IHC-Paraffin, HIER pH 6 retrieval is recommended. ICC/IF Fixation Permeabilization: Use PFA/Triton X-100.

Formulation, Preparation, and Storage

Purification

Protein A purified

Formulation

PBS, pH 7.2, 40% glycerol

Preservative

0.02% Sodium Azide

Concentration

1 mg/ml

Shipping

The product is shipped with polar packs. Upon receipt, store it immediately at the temperature recommended below.

Stability & Storage

Store at 4C short term. Aliquot and store at -20C long term. Avoid freeze-thaw cycles.

Background: TET2

Long Name

Methylcytosine dioxygenase TET2

Alternate Names

KIAA1546, Nbla00191

Gene Symbol

TET2

Additional TET2 Products

Product Documents for TET2 Antibody (CL6873)

Certificate of Analysis

To download a Certificate of Analysis, please enter a lot number in the search box below.

Product Specific Notices for TET2 Antibody (CL6873)

This product is for research use only and is not approved for use in humans or in clinical diagnosis. Primary Antibodies are guaranteed for 1 year from date of receipt.

Loading...
Loading...
Loading...
Loading...