Testin Antibody - BSA Free
Novus Biologicals, part of Bio-Techne | Catalog # NBP1-87987
Key Product Details
Validated by
Orthogonal Validation, Independent Antibodies
Species Reactivity
Validated:
Human
Cited:
Human, Canine
Applications
Validated:
Immunohistochemistry, Immunohistochemistry-Paraffin, Western Blot, Immunocytochemistry/ Immunofluorescence, Simple Western
Cited:
Immunohistochemistry-Paraffin
Label
Unconjugated
Antibody Source
Polyclonal Rabbit IgG
Format
BSA Free
Concentration
Concentrations vary lot to lot. See vial label for concentration. If unlisted please contact technical services.
Product Specifications
Immunogen
This antibody was developed against Recombinant Protein corresponding to amino acids: QLPAHDQDPSKCHELSPREVKEMEQFVKKYKSEALGVGDVKLPCEMDAQGPKQMNIPGGDRSTPAAVGAMEDKSAEHKRTQYSCYCCKLSMKEGDPAIYAERAGYDKLWHPACFVCSTCHELLVD
Reactivity Notes
Immunogen displays the following percentage of sequence identity for non-tested species: Mouse (82%), Rat (85%). Reactivity reported in scientific literature (PMID: 23227862)
Clonality
Polyclonal
Host
Rabbit
Isotype
IgG
Scientific Data Images for Testin Antibody - BSA Free
Immunocytochemistry/ Immunofluorescence: Testin Antibody [NBP1-87987]
Immunocytochemistry/Immunofluorescence: Testin Antibody [NBP1-87987] - Staining of human cell line SiHa shows localization to cytosol & focal adhesion sites. Antibody staining is shown in green.Immunohistochemistry-Paraffin: Testin Antibody [NBP1-87987]
Immunohistochemistry-Paraffin: Testin Antibody [NBP1-87987] - Staining of human endometrium, liver, testis and urinary bladder using Anti-TES antibody NBP1-87987 (A) shows similar protein distribution across tissues to independent antibody NBP1-85072 (B).Immunohistochemistry-Paraffin: Testin Antibody [NBP1-87987]
Immunohistochemistry-Paraffin: Testin Antibody [NBP1-87987] - Staining of human testis shows moderate cytoplasmic positivity in cells in seminiferous ducts.Applications for Testin Antibody - BSA Free
Application
Recommended Usage
Immunocytochemistry/ Immunofluorescence
0.25-2 ug/ml
Immunohistochemistry
1:50 - 1:200
Immunohistochemistry-Paraffin
1:50 - 1:200
Simple Western
1:20
Western Blot
0.04-0.4 ug/ml
Application Notes
For IHC-Paraffin, HIER pH 6 retrieval is recommended. ICC/IF Fixation Permeabilization: Use PFA/Triton X-100.
In Simple Western only 10 - 15 uL of the recommended dilution is used per data point.
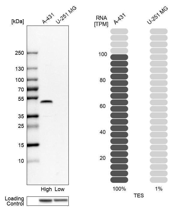
See Simple Western Antibody Database for Simple Western validation: Tested in RT-4, separated by Size, antibody dilution of 1:20, apparent MW was 57 kDa. Separated by Size-Wes, Sally Sue/Peggy Sue. Use in IHC-P reported in scientific literature (PMID:34440214).
In Simple Western only 10 - 15 uL of the recommended dilution is used per data point.
See Simple Western Antibody Database for Simple Western validation: Tested in RT-4, separated by Size, antibody dilution of 1:20, apparent MW was 57 kDa. Separated by Size-Wes, Sally Sue/Peggy Sue. Use in IHC-P reported in scientific literature (PMID:34440214).
Formulation, Preparation, and Storage
Purification
Affinity purified
Formulation
PBS (pH 7.2) and 40% Glycerol
Format
BSA Free
Preservative
0.02% Sodium Azide
Concentration
Concentrations vary lot to lot. See vial label for concentration. If unlisted please contact technical services.
Shipping
The product is shipped with polar packs. Upon receipt, store it immediately at the temperature recommended below.
Stability & Storage
Store at 4C short term. Aliquot and store at -20C long term. Avoid freeze-thaw cycles.
Background: Testin
Alternate Names
DKFZP586B2022, MGC1146, TESS, TESS-2, TESTIN, testis derived transcript (3 LIM domains)
Gene Symbol
TES
Additional Testin Products
Product Documents for Testin Antibody - BSA Free
Product Specific Notices for Testin Antibody - BSA Free
This product is for research use only and is not approved for use in humans or in clinical diagnosis. Primary Antibodies are guaranteed for 1 year from date of receipt.
Loading...
Loading...
Loading...
Loading...