Skip to main content

TEAD1 Antibody - Azide and BSA Free

Novus Biologicals, part of Bio-Techne | Catalog # NBP2-94035

Novus Biologicals, part of Bio-Techne
Catalog #
Availability
Size / Price
Qty
Loading...
NBP2-94035-0.1ml
NBP2-94035-0.02ml

Key Product Details

Species Reactivity

Human, Mouse, Rat

Applications

Immunohistochemistry, Immunohistochemistry-Paraffin, Western Blot, ELISA, Immunocytochemistry/ Immunofluorescence, Chromatin Immunoprecipitation (ChIP)

Label

Unconjugated

Antibody Source

Polyclonal Rabbit IgG

Format

Azide and BSA Free

Concentration

Please see the vial label for concentration. If unlisted please contact technical services.

Product Specifications

Immunogen

A synthetic peptide corresponding to a sequence within amino acids 200-300 of human TEAD1 (NP_068780.2). APSVPAWQGRSIGTTKLRLVEFSAFLEQQRDPDSYNKHLFVHIGHANHSYSDPLLESVDIRQIYDKFPEKKGGLKELFGKGPQNAFFLVKFWADLNCNIQD

Clonality

Polyclonal

Host

Rabbit

Isotype

IgG

Theoretical MW

48 kDa.
Disclaimer note: The observed molecular weight of the protein may vary from the listed predicted molecular weight due to post translational modifications, post translation cleavages, relative charges, and other experimental factors.

Description

Novus Biologicals Rabbit TEAD1 Antibody - Azide and BSA Free (NBP2-94035) is a polyclonal antibody validated for use in IHC, WB, ELISA, ICC/IF and ChIP. All Novus Biologicals antibodies are covered by our 100% guarantee.

Scientific Data Images for TEAD1 Antibody - Azide and BSA Free

Western Blot: TEF1 AntibodyAzide and BSA Free [NBP2-94035]

Western Blot: TEF1 AntibodyAzide and BSA Free [NBP2-94035]

Western Blot: TEF1 Antibody [NBP2-94035] - Analysis of extracts of various cell lines, using TEAD1 antibody at 1:1000 dilution.Secondary antibody: HRP Goat Anti-Rabbit IgG (H+L) at 1:10000 dilution.Lysates/proteins: 25ug per lane. Blocking buffer: 3% nonfat dry milk in TBST.Detection: ECL Basic Kit. Exposure time: 1s.
Western Blot: TEF1 AntibodyAzide and BSA Free [NBP2-94035]

Western Blot: TEF1 AntibodyAzide and BSA Free [NBP2-94035]

Western Blot: TEF1 Antibody [NBP2-94035] - Analysis of extracts of various cell lines, using TEAD1 antibody at 1:1000 dilution.Secondary antibody: HRP Goat Anti-Rabbit IgG (H+L) at 1:10000 dilution.Lysates/proteins: 25ug per lane. Blocking buffer: 3% nonfat dry milk in TBST.Detection: ECL Basic Kit. Exposure time: 180s.
Immunocytochemistry/ Immunofluorescence: TEF1 Antibody - Azide and BSA Free [NBP2-94035]

Immunocytochemistry/ Immunofluorescence: TEF1 Antibody - Azide and BSA Free [NBP2-94035]

Immunocytochemistry/Immunofluorescence: TEF1 Antibody [NBP2-94035] - Analysis of MCF7 cells using TEF1 .

Applications for TEAD1 Antibody - Azide and BSA Free

Application
Recommended Usage

Chromatin Immunoprecipitation (ChIP)

5μg antibody for 10μg-15μg of Chromatin

ELISA

Recommended starting concentration is 1 μg/mL. Please optimize the concentration based on your specific assay requirements.

Immunocytochemistry/ Immunofluorescence

1:50-1:200

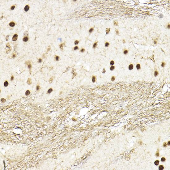
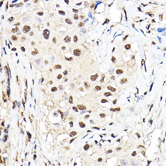
Immunohistochemistry

1:50-1:200

Western Blot

1:500 - 1:1000

Formulation, Preparation, and Storage

Purification

Affinity purified

Formulation

PBS (pH 7.3), 50% glycerol

Format

Azide and BSA Free

Preservative

0.02% Sodium Azide

Concentration

Please see the vial label for concentration. If unlisted please contact technical services.

Shipping

The product is shipped with polar packs. Upon receipt, store it immediately at the temperature recommended below.

Stability & Storage

Store at -20C. Avoid freeze-thaw cycles.

Background: TEAD1

This gene encodes a ubiquitous transcriptional enhancer factor that is a member of the TEA/ATTS domain family. This protein directs the transactivation of a wide variety of genes and, in placental cells, also acts as a transcriptional repressor. Mutations in this gene cause Sveinsson's chorioretinal atrophy. Additional transcript variants have been described but their full-length natures have not been experimentally verified.

Long Name

Transcriptional enhancer factor TEF-1

Alternate Names

AA, NTEF-1, protein GT-IIC, REF1, TCF13, TCF-13, TEA domain family member 1 (SV40 transcriptional enhancer factor), TEAD1, TEAD-1, TEF-1, transcription factor 13, transcriptional enhancer factor 1, transcriptional enhancer factor TEF-1

Gene Symbol

TEAD1

Additional TEAD1 Products

Product Documents for TEAD1 Antibody - Azide and BSA Free

Certificate of Analysis

To download a Certificate of Analysis, please enter a lot number in the search box below.

Product Specific Notices for TEAD1 Antibody - Azide and BSA Free

This product is for research use only and is not approved for use in humans or in clinical diagnosis. Primary Antibodies are guaranteed for 1 year from date of receipt.

Loading...
Loading...
Loading...
Loading...

⚠ WARNING: This product can expose you to chemicals including Methotrexate, which is known to the State of California to cause reproductive toxicity with developmental effects. For more information, go to www.P65Warnings.ca.gov