Skip to main content

TDP-43/TARDBP Antibody (JM51-10)

Novus Biologicals, part of Bio-Techne | Catalog # NBP2-80137

Recombinant Monoclonal Antibody
Novus Biologicals, part of Bio-Techne
Catalog #
Availability
Size / Price
Qty
Loading...
NBP2-80137

Key Product Details

Validated by

Biological Validation

Species Reactivity

Human, Mouse, Rat, Zebrafish

Applications

Immunohistochemistry, Immunohistochemistry-Paraffin, Immunohistochemistry-Frozen, Western Blot, Flow Cytometry, Immunocytochemistry/ Immunofluorescence, Immunoprecipitation

Label

Unconjugated

Antibody Source

Recombinant Monoclonal Rabbit IgG Clone # JM51-10 expressed in HEK293

Concentration

1 mg/ml

Product Specifications

Immunogen

Synthetic peptide within Human TDP-43/TARDBP aa 354-390 / 414; (2)aa 253-290 / 414. (SwissProt: Q13148 Human; SwissProt: Q921F2 Mouse; Unigene:2633 Rat; Entrez Gene:325052 Zebrafish)

Localization

Cytoplasm, Mitochondrion, Nucleus.

Clonality

Monoclonal

Host

Rabbit

Isotype

IgG

Description

Novus Biologicals Rabbit TDP-43/TARDBP Antibody (JM51-10) (NBP2-80137) is a recombinant monoclonal antibody validated for use in IHC, WB, Flow, ICC/IF and IP. All Novus Biologicals antibodies are covered by our 100% guarantee.

Scientific Data Images for TDP-43/TARDBP Antibody (JM51-10)

Western Blot: TDP-43/TARDBP Antibody (JM51-10) [NBP2-80137]

Western Blot: TDP-43/TARDBP Antibody (JM51-10) [NBP2-80137]

Western Blot: TDP-43/TARDBP Antibody (JM51-10) [NBP2-80137] - Analysis of TDP43 on different lysates. Proteins were transferred to a PVDF membrane and blocked with 5% BSA in PBS for 1 hour at room temperature. The primary antibody (1/500) was used in 5% BSA at room temperature for 2 hours. Goat Anti-Rabbit IgG - HRP Secondary Antibody at 1:5,000 dilution was used for 1 hour at room temperature. Positive control: Lane 1: K562 cell lysate Lane 2: Hela cell lysate.
Immunocytochemistry/ Immunofluorescence: TDP-43/TARDBP Antibody (JM51-10) [NBP2-80137]

Immunocytochemistry/ Immunofluorescence: TDP-43/TARDBP Antibody (JM51-10) [NBP2-80137]

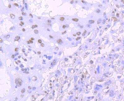
Immunocytochemistry/Immunofluorescence: TDP-43/TARDBP Antibody (JM51-10) [NBP2-80137] - Analysis of paraffin-embedded human pancreas tissue usingTDP-43/TARDBP Antibody (JM51-10). Counter stained with hematoxylin.
Immunohistochemistry-Paraffin: TDP-43/TARDBP Antibody (JM51-10) [NBP2-80137]

Immunohistochemistry-Paraffin: TDP-43/TARDBP Antibody (JM51-10) [NBP2-80137]

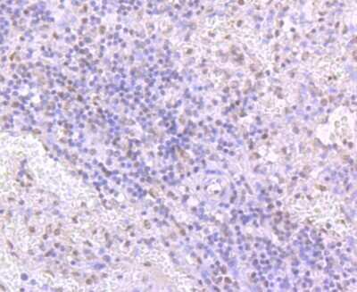
Immunohistochemistry-Paraffin: TDP-43/TARDBP Antibody (JM51-10) [NBP2-80137] - Immunohistochemical analysis of paraffin-embedded human spleen tissue using anti-TDP-43/TARDBP antibody. The section was pre-treated using heat mediated antigen retrieval with Tris-EDTA buffer (pH 8.0-8.4) for 20 minutes. The tissues were blocked in 5% BSA for 30 minutes at room temperature, washed with ddH2O and PBS, and then probed with the primary antibody (1/50) for 30 minutes at room temperature. The detection was performed using an HRP conjugated compact polymer system. DAB was used as the chromogen. Tissues were counterstained with hematoxylin and mounted with DPX.

Applications for TDP-43/TARDBP Antibody (JM51-10)

Application
Recommended Usage

Flow Cytometry

1:50-1:100

Immunocytochemistry/ Immunofluorescence

1:100-1:500

Immunohistochemistry-Frozen

1:100

Immunohistochemistry-Paraffin

1:50-1:200

Immunoprecipitation

Use at an assay dependent concentration.

Western Blot

1:500-1:5000

Formulation, Preparation, and Storage

Purification

Protein A purified

Formulation

TBS (pH7.4), 0.05% BSA, 40% Glycerol

Preservative

0.05% Sodium Azide

Concentration

1 mg/ml

Shipping

The product is shipped with polar packs. Upon receipt, store it immediately at the temperature recommended below.

Stability & Storage

Store at 4C short term. Aliquot and store at -20C long term. Avoid freeze-thaw cycles.

Background: TDP-43/TARDBP

TARDBP, also known as TAR DNA binding protein, is a DNA and RNA-binding protein which regulates transcription and splicing. TARDBP is also involved in the regulation of CFTR splicing and promotes CFTR exon 9 skipping by binding to the UG repeated motifs in the polymorphic region near the 3'-splice site of this exon. The resulting aberrant splicing is associated with pathological features typical of cystic fibrosis. TARD-BP may also be involved in microRNA biogenesis, apoptosis and cell division. TARDBP can repress HIV-1 transcription by binding to the HIV-1 long terminal repeat.

Long Name

TAR DNA-binding Protein 43

Alternate Names

ALS10, TARDBP, TDP43

Gene Symbol

TARDBP

Additional TDP-43/TARDBP Products

Product Documents for TDP-43/TARDBP Antibody (JM51-10)

Certificate of Analysis

To download a Certificate of Analysis, please enter a lot number in the search box below.

Product Specific Notices for TDP-43/TARDBP Antibody (JM51-10)

This product is for research use only and is not approved for use in humans or in clinical diagnosis. Primary Antibodies are guaranteed for 1 year from date of receipt.

Loading...
Loading...
Loading...
Loading...
Loading...