Skip to main content

TDO2 Antibody (C10) - BSA Free

Novus Biologicals, part of Bio-Techne | Catalog # NBP3-41855

Novus Biologicals, part of Bio-Techne
Catalog #
Availability
Size / Price
Qty
Loading...
NBP3-41855

Key Product Details

Species Reactivity

Human, Rat, Porcine

Applications

Immunohistochemistry, Immunohistochemistry-Paraffin, Western Blot

Label

Unconjugated

Antibody Source

Monoclonal Mouse IgG2b Kappa Clone # C10

Format

BSA Free

Concentration

1 mg/ml

Product Specifications

Immunogen

Immunized with recombinant Human TDO2 (Uniprot#: P48775; Met1-Asp406 (Uniprot#: P48775)

Clonality

Monoclonal

Host

Mouse

Isotype

IgG2b Kappa

Description

Novus Biologicals Mouse TDO2 Antibody (C10) - BSA Free (NBP3-41855) is a monoclonal antibody validated for use in IHC and WB. All Novus Biologicals antibodies are covered by our 100% guarantee.

Scientific Data Images for TDO2 Antibody (C10) - BSA Free

TDO2 Antibody (C10)

Western Blot: TDO2 Antibody (C10) [NBP3-41855] -

Western Blot: TDO2 Antibody (C10) [NBP3-41855] - Sample: Lane1: Rat Liver lysate; Lane2: HepG2 cell lysate Primary Ab: 3ug/ml NBP3-41855; Second Ab: 0.2ug/mL HRP-Linked Caprine Anti-Mouse IgG Polyclonal Antibody
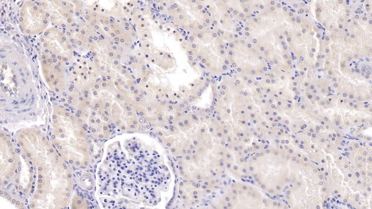
TDO2 Antibody (C10)

Immunohistochemistry-Paraffin: TDO2 Antibody (C10) [NBP3-41855] -

Immunohistochemistry-Paraffin: TDO2 Antibody (C10) [NBP3-41855] - DAB staining on IHC-P; Sample: Human Kidney Tissue; Primary Ab: 20ug/ml NBP3-41855; Second Ab: 2ug/mL HRP-Linked Caprine Anti-Mouse IgG Polyclonal Antibody

Applications for TDO2 Antibody (C10) - BSA Free

Application
Recommended Usage

Immunohistochemistry

5-30ug/mL

Immunohistochemistry-Paraffin

5-30ug/mL

Western Blot

0.5-3ug/mL

Formulation, Preparation, and Storage

Purification

Affinity purified

Formulation

0.01M PBS, pH7.4, 50% glycerol

Format

BSA Free

Preservative

0.05% Proclin 300

Concentration

1 mg/ml

Shipping

The product is shipped with polar packs. Upon receipt, store it immediately at the temperature recommended below.

Stability & Storage

Store at 4C short term. Aliquot and store at -20C long term. Avoid freeze-thaw cycles.

Background: TDO2

Tryptophan 2,3-dioxygenase (EC 1.13.11.11) plays a role in catalyzing the first and rat-limiting step in the kynurenine pathway, the major pathway of tryptophan metabolism.[supplied by OMIM]

Long Name

Tryptophan 2,3-dioxygenase

Alternate Names

chky, TDO, TO, TRPO, Tryptophan Oxygenase, Tryptophan Pyrrolase, Tryptophanase

Gene Symbol

TDO2

Additional TDO2 Products

Product Documents for TDO2 Antibody (C10) - BSA Free

Certificate of Analysis

To download a Certificate of Analysis, please enter a lot number in the search box below.

Product Specific Notices for TDO2 Antibody (C10) - BSA Free

This product is for research use only and is not approved for use in humans or in clinical diagnosis. Primary Antibodies are guaranteed for 1 year from date of receipt.

Loading...
Loading...
Loading...
Loading...