Skip to main content

TDG Antibody (OTI3C11) - Azide and BSA Free

Novus Biologicals, part of Bio-Techne | Catalog # NBP2-74484

Novus Biologicals, part of Bio-Techne

Key Product Details

Species Reactivity

Human, Mouse, Rat

Applications

Immunohistochemistry, Immunohistochemistry-Paraffin, Western Blot

Label

Unconjugated

Antibody Source

Monoclonal Mouse IgG1 Clone # OTI3C11

Format

Azide and BSA Free

Concentration

LYOPH mg/ml

Product Specifications

Immunogen

Human recombinant protein fragment corresponding to amino acids 160-253 of human TDG(NP_003202) produced in E.coli.

Reactivity Notes

Please note that this antibody is reactive to Mouse and derived from the same host, Mouse. Mouse-On-Mouse blocking reagent may be needed for IHC and ICC experiments to reduce high background signal. You can find these reagents under catalog numbers PK-2200-NB and MP-2400-NB. Please contact Technical Support if you have any questions.

Clonality

Monoclonal

Host

Mouse

Isotype

IgG1

Theoretical MW

45.9 kDa.
Disclaimer note: The observed molecular weight of the protein may vary from the listed predicted molecular weight due to post translational modifications, post translation cleavages, relative charges, and other experimental factors.

Description

Novus Biologicals Mouse TDG Antibody (OTI3C11) - Azide and BSA Free (NBP2-46091) is a monoclonal antibody validated for use in IHC and WB. All Novus Biologicals antibodies are covered by our 100% guarantee.

Scientific Data Images for TDG Antibody (OTI3C11) - Azide and BSA Free

Western Blot: TDG Antibody (OTI3C11)Azide and BSA Free [NBP2-74484]

Western Blot: TDG Antibody (OTI3C11)Azide and BSA Free [NBP2-74484]

Western Blot: TDG Antibody (OTI3C11) - Azide and BSA Free [NBP2-74484] - Analysis of HEK293T cells were transfected with the pCMV6-ENTRY control (Left lane) or pCMV6-ENTRY TDG.
Immunohistochemistry: TDG Antibody (OTI3C11) - Azide and BSA Free [NBP2-74484]

Immunohistochemistry: TDG Antibody (OTI3C11) - Azide and BSA Free [NBP2-74484]

Immunohistochemistry: TDG Antibody (OTI3C11) - Azide and BSA Free [NBP2-74484] - Analysis of Human thyroid tissue. (Heat-induced epitope retrieval by 1mM EDTA in 10mM Tris buffer (pH8.5) at 120C for 3 min)
Immunohistochemistry: TDG Antibody (OTI3C11) - Azide and BSA Free [NBP2-74484]

Immunohistochemistry: TDG Antibody (OTI3C11) - Azide and BSA Free [NBP2-74484]

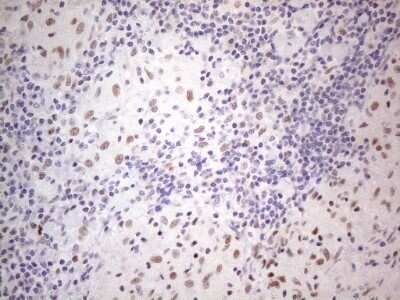
Immunohistochemistry: TDG Antibody (OTI3C11) - Azide and BSA Free [NBP2-74484] - Analysis of Adenocarcinoma of Human colon tissue. (Heat-induced epitope retrieval by 1mM EDTA in 10mM Tris buffer (pH8.5) at 120C for 3 min)

Applications for TDG Antibody (OTI3C11) - Azide and BSA Free

Application
Recommended Usage

Immunohistochemistry

1:150

Western Blot

1:2000

Formulation, Preparation, and Storage

Purification

Immunogen affinity purified

Reconstitution

we recommend adding 100uL distilled water to a final antibody concentration of about 1 mg/mL. To use this carrier-free antibody for conjugation experiment, we strongly recommend performing another round of desalting process.

Formulation

Lyophilized from PBS (pH 7.3) with 8% Trehalose

Format

Azide and BSA Free

Preservative

No Preservative

Concentration

LYOPH mg/ml

Shipping

The product is shipped with polar packs. Upon receipt, store it immediately at the temperature recommended below.

Stability & Storage

Store at -20C. Avoid freeze-thaw cycles.

Background: TDG

Thymine DNA glycosylase is encoded by this gene belongs to the TDG/mug DNA glycosylase family. Thymine-DNA glycosylase (TDG) removes thymine moieties from G/T mismatches by hydrolyzing the carbon-nitrogen bond between the sugar-phosphate backbone of DNA and the mispaired thymine. With lower activity, this enzyme also removes thymine from C/T and T/T mispairings. TDG can also remove uracil and 5-bromouracil from mispairings with guanine. This enzyme plays a central role in cellular defense against genetic mutation caused by the spontaneous deamination of 5-methylcytosine and cytosine. This gene may have a pseudogene in the p arm of chromosome 12. [provided by RefSeq]

Long Name

Thymine DNA Glycosylase

Alternate Names

EC 3.2.2.29, thymine-DNA glycosylaseG/T mismatch-specific thymine DNA glycosylase

Gene Symbol

TDG

Additional TDG Products

Product Documents for TDG Antibody (OTI3C11) - Azide and BSA Free

Certificate of Analysis

To download a Certificate of Analysis, please enter a lot number in the search box below.

Product Specific Notices for TDG Antibody (OTI3C11) - Azide and BSA Free

This product is for research use only and is not approved for use in humans or in clinical diagnosis. Primary Antibodies are guaranteed for 1 year from date of receipt.

Loading...
Loading...
Loading...
Loading...
Loading...