TCTN1 Antibody - BSA Free
Novus Biologicals, part of Bio-Techne | Catalog # NBP1-77182
Conjugate
Catalog #
Key Product Details
Species Reactivity
Human, Mouse
Applications
Immunohistochemistry, Immunohistochemistry-Paraffin, Western Blot, ELISA, Immunocytochemistry/ Immunofluorescence
Label
Unconjugated
Antibody Source
Polyclonal Rabbit IgG
Format
BSA Free
Concentration
1 mg/ml
Product Specifications
Immunogen
Antibody was raised against a 15 amino acid synthetic peptide near the amino terminus of human TCTN1. The immunogen is located within amino acids 30 - 80 of TCTN1. Amino Acid Squence: PSTRPPGTPRAPGPS
Clonality
Polyclonal
Host
Rabbit
Isotype
IgG
Description
Novus Biologicals Rabbit TCTN1 Antibody - BSA Free (NBP1-77182) is a polyclonal antibody validated for use in IHC, WB, ELISA and ICC/IF. All Novus Biologicals antibodies are covered by our 100% guarantee.
Scientific Data Images for TCTN1 Antibody - BSA Free
Western Blot: TCTN1 AntibodyBSA Free [NBP1-77182]
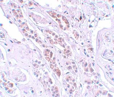
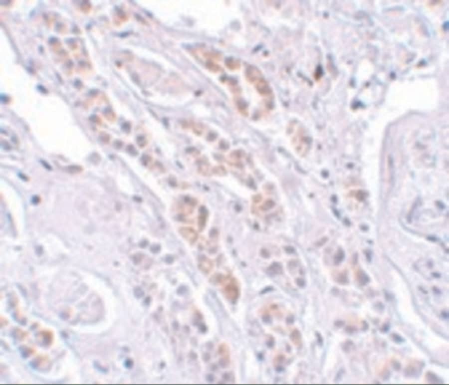
Western Blot: TCTN1 Antibody [NBP1-77182] - Mouse kidney tissue lysate with TCTN1 antibody at (A) 1 and (B) 2ug/mL.Immunohistochemistry-Paraffin: TCTN1 Antibody - BSA Free [NBP1-77182]
Immunohistochemistry-Paraffin: TCTN1 Antibody [NBP1-77182] - Human kidney tissue with TCTN1 antibody at 5 ug/mL.Immunocytochemistry/ Immunofluorescence: TCTN1 Antibody - BSA Free [NBP1-77182] -
Immunocytochemistry/ Immunofluorescence: TCTN1 Antibody - BSA Free [NBP1-77182] - Immunofluorescence of TCTN1 in Human Kidney cells with TCTN1 antibody at 20 u/mL.Applications for TCTN1 Antibody - BSA Free
Application
Recommended Usage
ELISA
1:100-1:2000
Immunocytochemistry/ Immunofluorescence
20 ug/mL
Immunohistochemistry
5 ug/ml
Immunohistochemistry-Paraffin
5 ug/ml
Western Blot
1-2 ug/ml
Formulation, Preparation, and Storage
Purification
Peptide affinity purified
Formulation
PBS
Format
BSA Free
Preservative
0.02% Sodium Azide
Concentration
1 mg/ml
Shipping
The product is shipped with polar packs. Upon receipt, store it immediately at the temperature recommended below.
Stability & Storage
Store at 4C short term. Aliquot and store at -20C long term. Avoid freeze-thaw cycles.
Background: TCTN1
Long Name
Tectonic Family Member 1
Alternate Names
JBTS13, TECT1, Tectonic-1
Gene Symbol
TCTN1
UniProt
Additional TCTN1 Products
Product Documents for TCTN1 Antibody - BSA Free
Product Specific Notices for TCTN1 Antibody - BSA Free
This product is for research use only and is not approved for use in humans or in clinical diagnosis. Primary Antibodies are guaranteed for 1 year from date of receipt.
Loading...
Loading...
Loading...
Loading...