Skip to main content

TCP10L Antibody - BSA Free

Novus Biologicals, part of Bio-Techne | Catalog # NBP3-45277

Novus Biologicals, part of Bio-Techne
Catalog #
Availability
Size / Price
Qty
Loading...
NBP3-45277

Key Product Details

Species Reactivity

Human, Mouse

Applications

Immunohistochemistry, Western Blot, ELISA, Immunocytochemistry/ Immunofluorescence

Label

Unconjugated

Antibody Source

Polyclonal Rabbit IgG

Format

BSA Free

Concentration

Please see the vial label for concentration. If unlisted please contact technical services.

Product Specifications

Immunogen

t-complex 10(Mouse)-like. (Uniprot# Q8TDR4)

Clonality

Polyclonal

Host

Rabbit

Isotype

IgG

Theoretical MW

24 kDa.
Disclaimer note: The observed molecular weight of the protein may vary from the listed predicted molecular weight due to post translational modifications, post translation cleavages, relative charges, and other experimental factors.

Description

Novus Biologicals Rabbit TCP10L Antibody - BSA Free (NBP3-45277) is a polyclonal antibody validated for use in IHC, WB, ELISA and ICC/IF. All Novus Biologicals antibodies are covered by our 100% guarantee.

Scientific Data Images for TCP10L Antibody - BSA Free

TCP10L Antibody - BSA Free

Western Blot: TCP10L Antibody - BSA Free [NBP3-45277] -

Western Blot: TCP10L Antibody - BSA Free [NBP3-45277] - Mouse testis tissue were subjected to SDS PAGE followed by western blot with (TCP10L antibody) at dilution of 1:200
TCP10L Antibody - BSA Free

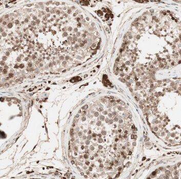
Immunohistochemistry: TCP10L Antibody - BSA Free [NBP3-45277] -

Immunohistochemistry: TCP10L Antibody - BSA Free [NBP3-45277] - Immunohistochemistry of paraffin-embedded human testis using (TCP10L antibody) at dilution of 1:50

Applications for TCP10L Antibody - BSA Free

Application
Recommended Usage

Immunocytochemistry/ Immunofluorescence

1:20-1:200

Immunohistochemistry

1:20-1:200

Western Blot

1:500-1:2000

Formulation, Preparation, and Storage

Purification

Immunogen affinity purified

Formulation

PBS, 50% Glycerol, pH (7.3)

Format

BSA Free

Preservative

0.02% Sodium Azide

Concentration

Please see the vial label for concentration. If unlisted please contact technical services.

Shipping

The product is shipped with polar packs. Upon receipt, store it immediately at the temperature recommended below.

Stability & Storage

Store at -20C. Avoid freeze-thaw cycles.

Background: TCP10L

Alternate Names

C21orf77, FLJ10932, gene similar to TCP10, spliced ESTs AA465232, MGC34297, PRED77, T1886510t-complex 10 (a murine tcp homolog)-like, t-complex 10 (mouse)-like, T-complex 10A-2, T-complex protein 10A homolog 2, T-complex protein 10A-2, TCP10A-2, TCP10-like

Gene Symbol

TCP10L

Additional TCP10L Products

Product Documents for TCP10L Antibody - BSA Free

Certificate of Analysis

To download a Certificate of Analysis, please enter a lot number in the search box below.

Product Specific Notices for TCP10L Antibody - BSA Free

This product is for research use only and is not approved for use in humans or in clinical diagnosis. Primary Antibodies are guaranteed for 1 year from date of receipt.

Loading...
Loading...
Loading...
Loading...