Skip to main content

TCP10 Antibody (OTI2C2) - Azide and BSA Free

Novus Biologicals, part of Bio-Techne | Catalog # NBP2-74474

Novus Biologicals, part of Bio-Techne

Key Product Details

Species Reactivity

Human

Applications

Immunohistochemistry, Immunohistochemistry-Paraffin, Western Blot

Label

Unconjugated

Antibody Source

Monoclonal Mouse IgG1 Clone # OTI2C2

Format

Azide and BSA Free

Concentration

LYOPH mg/ml

Product Specifications

Immunogen

Full length human recombinant protein of human TCP10 (NP_004601) produced in 293T cell.

Clonality

Monoclonal

Host

Mouse

Isotype

IgG1

Theoretical MW

35.4 kDa.
Disclaimer note: The observed molecular weight of the protein may vary from the listed predicted molecular weight due to post translational modifications, post translation cleavages, relative charges, and other experimental factors.

Description

Novus Biologicals Mouse TCP10 Antibody (OTI2C2) - Azide and BSA Free (NBP2-46090) is a monoclonal antibody validated for use in IHC and WB. All Novus Biologicals antibodies are covered by our 100% guarantee.

Scientific Data Images for TCP10 Antibody (OTI2C2) - Azide and BSA Free

Western Blot: TCP10 Antibody (OTI2C2)Azide and BSA Free [NBP2-74474]

Western Blot: TCP10 Antibody (OTI2C2)Azide and BSA Free [NBP2-74474]

Western Blot: TCP10 Antibody (OTI2C2) - Azide and BSA Free [NBP2-74474] - Analysis of HEK293T cells were transfected with the pCMV6-ENTRY control (Left lane) or pCMV6-ENTRY TCP10.
Immunohistochemistry: TCP10 Antibody (OTI2C2) - Azide and BSA Free [NBP2-74474]

Immunohistochemistry: TCP10 Antibody (OTI2C2) - Azide and BSA Free [NBP2-74474]

Immunohistochemistry: TCP10 Antibody (OTI2C2) - Azide and BSA Free [NBP2-74474] - Analysis of Human Ovary tissue. (Heat-induced epitope retrieval by 1mM EDTA in 10mM Tris buffer (pH8.5) at 120C for 3 min)
Immunohistochemistry: TCP10 Antibody (OTI2C2) - Azide and BSA Free [NBP2-74474]

Immunohistochemistry: TCP10 Antibody (OTI2C2) - Azide and BSA Free [NBP2-74474]

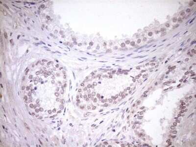
Immunohistochemistry: TCP10 Antibody (OTI2C2) - Azide and BSA Free [NBP2-74474] - Analysis of Carcinoma of Human prostate tissue.(Heat-induced epitope retrieval by 1mM EDTA in 10mM Tris buffer (pH8.5) at 120C for 3 min)

Applications for TCP10 Antibody (OTI2C2) - Azide and BSA Free

Application
Recommended Usage

Immunohistochemistry

1:150

Western Blot

1:2000

Formulation, Preparation, and Storage

Purification

Immunogen affinity purified

Reconstitution

we recommend adding 100uL distilled water to a final antibody concentration of about 1 mg/mL. To use this carrier-free antibody for conjugation experiment, we strongly recommend performing another round of desalting process.

Formulation

Lyophilized from PBS (pH 7.3) with 8% Trehalose

Format

Azide and BSA Free

Preservative

No Preservative

Concentration

LYOPH mg/ml

Shipping

The product is shipped with polar packs. Upon receipt, store it immediately at the temperature recommended below.

Stability & Storage

Store at -20C. Avoid freeze-thaw cycles.

Background: TCP10

Alternate Names

MGC34049, t-complex 10 (a murine tcp homolog), t-complex 10 (mouse), t-complex 10 homolog (mouse), T-complex protein 10A homolog, TCP10A

Gene Symbol

TCP10

Additional TCP10 Products

Product Documents for TCP10 Antibody (OTI2C2) - Azide and BSA Free

Certificate of Analysis

To download a Certificate of Analysis, please enter a lot number in the search box below.

Product Specific Notices for TCP10 Antibody (OTI2C2) - Azide and BSA Free

This product is for research use only and is not approved for use in humans or in clinical diagnosis. Primary Antibodies are guaranteed for 1 year from date of receipt.

Loading...
Loading...
Loading...
Loading...
Loading...