Skip to main content

TCIRG1 Antibody - BSA Free

Novus Biologicals, part of Bio-Techne | Catalog # NBP3-35541

Novus Biologicals, part of Bio-Techne
Catalog #
Availability
Size / Price
Qty
Loading...
NBP3-35541-20ul
NBP3-35541-100ul

Key Product Details

Species Reactivity

Human, Mouse, Rat

Applications

Immunohistochemistry, Immunohistochemistry-Paraffin, Western Blot, ELISA, Immunocytochemistry/ Immunofluorescence

Label

Unconjugated

Antibody Source

Polyclonal Rabbit IgG

Format

BSA Free

Concentration

Please see the vial label for concentration. If unlisted please contact technical services.

Product Specifications

Immunogen

Recombinant fusion protein containing a sequence corresponding to amino acids 1-130 of human TCIRG1 (NP_006010.2).

Sequence:
MGSMFRSEEVALVQLFLPTAAAYTCVSRLGELGLVEFRDLNASVSAFQRRFVVDVRRCEELEKTFTFLQEEVRRAGLVLPPPKGRLPAPPPRDLLRIQEETERLAQELRDVRGNQQALRAQLHQLQLHAA

Clonality

Polyclonal

Host

Rabbit

Isotype

IgG

Theoretical MW

93 kDa.
Disclaimer note: The observed molecular weight of the protein may vary from the listed predicted molecular weight due to post translational modifications, post translation cleavages, relative charges, and other experimental factors.

Description

Novus Biologicals Rabbit TCIRG1 Antibody - BSA Free (NBP3-35541) is a polyclonal antibody validated for use in IHC, WB, ELISA and ICC/IF. All Novus Biologicals antibodies are covered by our 100% guarantee.

Scientific Data Images for TCIRG1 Antibody - BSA Free

TCIRG1 Antibody

Immunohistochemistry: TCIRG1 Antibody [NBP3-35541] -

Immunohistochemistry: TCIRG1 Antibody [NBP3-35541] - Immunohistochemistry analysis of paraffin-embedded Rat ovary using TCIRG1 Rabbit pAb at dilution of 1:100 (40x lens). Microwave antigen retrieval performed with 0.01M PBS Buffer (pH 7.2) prior to IHC staining.
TCIRG1 Antibody

Immunohistochemistry: TCIRG1 Antibody [NBP3-35541] -

Immunohistochemistry: TCIRG1 Antibody [NBP3-35541] - Immunohistochemistry analysis of paraffin-embedded Mouse spleen using TCIRG1 Rabbit pAb at dilution of 1:100 (40x lens). Microwave antigen retrieval performed with 0.01M PBS Buffer (pH 7.2) prior to IHC staining.
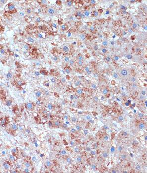
TCIRG1 Antibody

Immunohistochemistry: TCIRG1 Antibody [NBP3-35541] -

Immunohistochemistry: TCIRG1 Antibody [NBP3-35541] - Immunohistochemistry analysis of paraffin-embedded Human liver using TCIRG1 Rabbit pAb at dilution of 1:100 (40x lens). Microwave antigen retrieval performed with 0.01M PBS Buffer (pH 7.2) prior to IHC staining.

Applications for TCIRG1 Antibody - BSA Free

Application
Recommended Usage

Immunocytochemistry/ Immunofluorescence

1:50 - 1:200

Immunohistochemistry-Paraffin

1:50 - 1:200

Western Blot

1:500 - 1:1000

Formulation, Preparation, and Storage

Purification

Affinity purified

Formulation

PBS (pH 7.3), 50% glycerol

Format

BSA Free

Preservative

0.02% Sodium Azide

Concentration

Please see the vial label for concentration. If unlisted please contact technical services.

Shipping

The product is shipped with polar packs. Upon receipt, store it immediately at the temperature recommended below.

Stability & Storage

Store at -20C. Avoid freeze-thaw cycles.

Background: TCIRG1

TCIRG1 - T-cell, immune regulator 1, ATPase, H+ transporting, lysosomal V0 protein a isoform 3

Long Name

T-cell Immune Regulator 1

Alternate Names

Atp6i, ATP6N1C, OC116, OPTB1, Stv1, TIRC7, Vph1

Gene Symbol

TCIRG1

Additional TCIRG1 Products

Product Documents for TCIRG1 Antibody - BSA Free

Certificate of Analysis

To download a Certificate of Analysis, please enter a lot number in the search box below.

Product Specific Notices for TCIRG1 Antibody - BSA Free

This product is for research use only and is not approved for use in humans or in clinical diagnosis. Primary Antibodies are guaranteed for 1 year from date of receipt.

Loading...
Loading...
Loading...
Loading...