Skip to main content

TCF-2/HNF-1 beta Antibody (3H4) - Azide and BSA Free

Novus Biologicals, part of Bio-Techne | Catalog # H00006928-M01

Novus Biologicals, part of Bio-Techne
Catalog #
Availability
Size / Price
Qty
Loading...
H00006928-M01

Key Product Details

Species Reactivity

Human

Applications

Western Blot, ELISA, Immunocytochemistry/ Immunofluorescence

Label

Unconjugated

Antibody Source

Monoclonal Mouse IgG2a Kappa Clone # 3H4

Format

Azide and BSA Free

Concentration

Concentrations vary lot to lot. See vial label for concentration. If unlisted please contact technical services.

Product Specifications

Immunogen

TCF2 (NP_000449, 29 a.a. ~ 118 a.a) partial recombinant protein with GST tag. MW of the GST tag alone is 26 KDa. ALEELLPSPNFGVKLETLPLSPGSGAEPDTKPVFHTLTNGHAKGRLSGDEGSEDGDDYDTPPILKELQALNTEEAAEQRAEVDRMLSEDP

Specificity

TCF2 - transcription factor 2, hepatic; LF-B3; variant hepatic nuclear factor (3H4)

Clonality

Monoclonal

Host

Mouse

Isotype

IgG2a Kappa

Description

Quality control test: Antibody Reactive Against Recombinant Protein.

Scientific Data Images for TCF-2/HNF-1 beta Antibody (3H4) - Azide and BSA Free

Western Blot: TCF-2/HNF-1 beta Antibody (3H4) [H00006928-M01]

Western Blot: TCF-2/HNF-1 beta Antibody (3H4) [H00006928-M01]

Western Blot: TCF-2/HNF-1 beta Antibody (3H4) [H00006928-M01] - TCF2 monoclonal antibody (M01), clone 3H4. Analysis of TCF2 expression in human lung cancer.
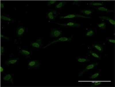
Immunocytochemistry/ Immunofluorescence: TCF-2/HNF-1 beta Antibody (3H4) [H00006928-M01]

Immunocytochemistry/ Immunofluorescence: TCF-2/HNF-1 beta Antibody (3H4) [H00006928-M01]

Immunocytochemistry/Immunofluorescence: TCF-2/HNF-1 beta Antibody (3H4) [H00006928-M01] - Analysis of monoclonal antibody to HNF1B on HeLa cell . Antibody concentration 10 ug/ml.
Western Blot: TCF-2/HNF-1 beta Antibody (3H4) [H00006928-M01]

Western Blot: TCF-2/HNF-1 beta Antibody (3H4) [H00006928-M01]

Western Blot: TCF-2/HNF-1 beta Antibody (3H4) [H00006928-M01] - TCF2 monoclonal antibody (M01), clone 3H4. Analysis of TCF2 expression in human skin.

Applications for TCF-2/HNF-1 beta Antibody (3H4) - Azide and BSA Free

Application
Recommended Usage

ELISA

Optimal dilutions of this antibody should be experimentally determined.

Immunocytochemistry/ Immunofluorescence

Optimal dilutions of this antibody should be experimentally determined.

Western Blot

Optimal dilutions of this antibody should be experimentally determined.
Application Notes
Antibody reactivity against tissue lysate and recombinant protein for WB. It has been used for ELISA.

Formulation, Preparation, and Storage

Purification

IgG purified

Formulation

In 1x PBS, pH 7.4

Format

Azide and BSA Free

Preservative

No Preservative

Concentration

Concentrations vary lot to lot. See vial label for concentration. If unlisted please contact technical services.

Shipping

The product is shipped with polar packs. Upon receipt, store it immediately at the temperature recommended below.

Stability & Storage

Aliquot and store at -20C or -80C. Avoid freeze-thaw cycles.

Background: TCF-2/HNF-1 beta

This gene encodes a member of the transcription factor superfamily. The encoded protein forms heterodimers with another member of this transcription factor family, HNF1A. Multiple alternatively spliced transcript variants have been described, however the biological validity all of these variants needs to be determined.

Long Name

Transcription Factor 2

Alternate Names

HNF-1 beta, HNF1B, HNF2, LF-B3, MODY5, TCF2, VHNF1

Entrez Gene IDs

6928 (Human)

Gene Symbol

HNF1B

Additional TCF-2/HNF-1 beta Products

Product Documents for TCF-2/HNF-1 beta Antibody (3H4) - Azide and BSA Free

Certificate of Analysis

To download a Certificate of Analysis, please enter a lot number in the search box below.

Product Specific Notices for TCF-2/HNF-1 beta Antibody (3H4) - Azide and BSA Free

This product is produced by and distributed for Abnova, a company based in Taiwan.

This product is for research use only and is not approved for use in humans or in clinical diagnosis. Primary Antibodies are guaranteed for 1 year from date of receipt.

Loading...
Loading...
Loading...
Loading...