TCF-12/HTF4 Antibody - BSA Free
Novus Biologicals, part of Bio-Techne | Catalog # NBP2-99046
Conjugate
Catalog #
Key Product Details
Species Reactivity
Validated:
Human
Predicted:
Mouse (100%), Rat (100%). Backed by our 100% Guarantee.
Applications
Immunohistochemistry, Immunohistochemistry-Paraffin, Western Blot, Immunocytochemistry/ Immunofluorescence
Label
Unconjugated
Antibody Source
Polyclonal Rabbit IgG
Format
BSA Free
Concentration
Please see the vial label for concentration. If unlisted please contact technical services.
Product Specifications
Immunogen
Produced in rabbits immunized with a synthetic peptide corresponding to the N-terminus of the Human TCF-12/HTF4.
Clonality
Polyclonal
Host
Rabbit
Isotype
IgG
Description
This antibody can be stored at 2C to 8C for one month without detectable loss of activity. Antibody products are stable for twelve months from date of receipt when stored at -20C to -80C. Avoid repeated freeze-thaw cycles.
Scientific Data Images for TCF-12/HTF4 Antibody - BSA Free
Western Blot: TCF-12/HTF4 Antibody [NBP2-99046]
Western Blot: TCF-12/HTF4 Antibody [NBP2-99046] - Anti-TCF-12/HTF4 rabbit polyclonal antibody at 1:500 dilution. Lane A: HeLa Whole Cell Lysate. Lane B: Jurkat Whole Cell Lysate. Lysates/proteins at 30 ug per lane. Secondary Goat Anti-Rabbit IgG (H+L)/HRP at 1/10000 dilution. Developed using the ECL technique. Performed under reducing conditions. Predicted band size: 73 kDa. Observed band size: 85 kDaImmunohistochemistry-Paraffin: TCF-12/HTF4 Antibody [NBP2-99046]
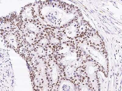
Immunohistochemistry-Paraffin: TCF-12/HTF4 Antibody [NBP2-99046] - Immunochemical staining of human TCF-12/HTF4 in human colon carcinoma with rabbit polyclonal antibody at 1:300 dilution, formalin-fixed paraffin embedded sections.Immunohistochemistry-Paraffin: TCF-12/HTF4 Antibody [NBP2-99046]
Immunohistochemistry-Paraffin: TCF-12/HTF4 Antibody [NBP2-99046] - Immunochemical staining of human TCF-12/HTF4 in human breast carcinoma with rabbit polyclonal antibody at 1:300 dilution, formalin-fixed paraffin embedded sections.Applications for TCF-12/HTF4 Antibody - BSA Free
Application
Recommended Usage
Immunocytochemistry/ Immunofluorescence
1:300-1:10000
Immunohistochemistry-Paraffin
1:200-1:1000
Western Blot
1:500-1:2000
Formulation, Preparation, and Storage
Purification
Antigen and protein A Affinity-purified
Formulation
PBS
Format
BSA Free
Preservative
0.03% Proclin 300
Concentration
Please see the vial label for concentration. If unlisted please contact technical services.
Shipping
The product is shipped with polar packs. Upon receipt, store it immediately at the temperature recommended below.
Stability & Storage
Store at 4C short term. Aliquot and store at -20C long term. Avoid freeze-thaw cycles.
Background: TCF-12/HTF4
Long Name
Transcription Factor 12
Alternate Names
BHLHB20, HEB, HTF4, TCF12
Gene Symbol
TCF12
Additional TCF-12/HTF4 Products
Product Documents for TCF-12/HTF4 Antibody - BSA Free
Product Specific Notices for TCF-12/HTF4 Antibody - BSA Free
This product is for research use only and is not approved for use in humans or in clinical diagnosis. Primary Antibodies are guaranteed for 1 year from date of receipt.
Loading...
Loading...
Loading...
Loading...