Skip to main content

TCEAL1 Antibody (OTI2G10) - Azide and BSA Free

Novus Biologicals, part of Bio-Techne | Catalog # NBP2-74472

Novus Biologicals, part of Bio-Techne

Key Product Details

Species Reactivity

Human

Applications

Immunohistochemistry, Immunohistochemistry-Paraffin, Western Blot

Label

Unconjugated

Antibody Source

Monoclonal Mouse IgG1 Clone # OTI2G10

Format

Azide and BSA Free

Concentration

LYOPH mg/ml

Product Specifications

Immunogen

Full length human recombinant protein of human TCEAL1 (NP_004771) produced in E.coli.

Clonality

Monoclonal

Host

Mouse

Isotype

IgG1

Theoretical MW

18.5 kDa.
Disclaimer note: The observed molecular weight of the protein may vary from the listed predicted molecular weight due to post translational modifications, post translation cleavages, relative charges, and other experimental factors.

Description

Novus Biologicals Mouse TCEAL1 Antibody (OTI2G10) - Azide and BSA Free (NBP2-46085) is a monoclonal antibody validated for use in IHC and WB. All Novus Biologicals antibodies are covered by our 100% guarantee.

Scientific Data Images for TCEAL1 Antibody (OTI2G10) - Azide and BSA Free

Western Blot: TCEAL1 Antibody (OTI2G10)Azide and BSA Free [NBP2-74472]

Western Blot: TCEAL1 Antibody (OTI2G10)Azide and BSA Free [NBP2-74472]

Western Blot: TCEAL1 Antibody (OTI2G10) - Azide and BSA Free [NBP2-74472] - Analysis of HEK293T cells were transfected with the pCMV6-ENTRY control (Left lane) or pCMV6-ENTRY TCEAL1.
Immunohistochemistry: TCEAL1 Antibody (OTI2G10) - Azide and BSA Free [NBP2-74472]

Immunohistochemistry: TCEAL1 Antibody (OTI2G10) - Azide and BSA Free [NBP2-74472]

Immunohistochemistry: TCEAL1 Antibody (OTI2G10) - Azide and BSA Free [NBP2-74472] - Analysis of Human pancreas tissue. (Heat-induced epitope retrieval by 1mM EDTA in 10mM Tris buffer (pH8.5) at 120C for 3 min)
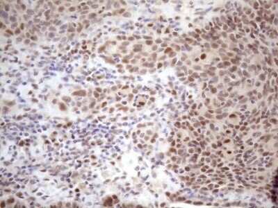
Immunohistochemistry: TCEAL1 Antibody (OTI2G10) - Azide and BSA Free [NBP2-74472]

Immunohistochemistry: TCEAL1 Antibody (OTI2G10) - Azide and BSA Free [NBP2-74472]

Immunohistochemistry: TCEAL1 Antibody (OTI2G10) - Azide and BSA Free [NBP2-74472] - Analysis of Adenocarcinoma of Human endometrium tissue. (Heat-induced epitope retrieval by 1mM EDTA in 10mM Tris buffer (pH8.5) at 120C for 3 min)

Applications for TCEAL1 Antibody (OTI2G10) - Azide and BSA Free

Application
Recommended Usage

Immunohistochemistry

1:150

Western Blot

1:2000

Formulation, Preparation, and Storage

Purification

Immunogen affinity purified

Reconstitution

we recommend adding 100uL distilled water to a final antibody concentration of about 1 mg/mL. To use this carrier-free antibody for conjugation experiment, we strongly recommend performing another round of desalting process.

Formulation

Lyophilized from PBS (pH 7.3) with 8% Trehalose

Format

Azide and BSA Free

Preservative

No Preservative

Concentration

LYOPH mg/ml

Shipping

The product is shipped with polar packs. Upon receipt, store it immediately at the temperature recommended below.

Stability & Storage

Store at -20C. Avoid freeze-thaw cycles.

Background: TCEAL1

TCEAL1 encodes a member of the transcription elongation factor A (SII)-like (TCEAL) gene family. Members of this family may function as nuclear phosphoproteins that modulate transcription in a promoter context-dependent manner. The encoded protein is similar to transcription elongation factor A/transcription factor SII and contains a zinc finger-like motif as well as a sequence related to the transcription factor SII Pol II-binding region. It may exert its effects via protein-protein interactions with other transcriptional regulators rather than via direct binding of DNA. Multiple family members are located on the X chromosome. Alternative splicing results in multiple transcript variants encoding a single isoform.

Alternate Names

Nuclear phosphoprotein p21/SIIR, P21, pp21, SIIRTCEA-like protein 1, transcription elongation factor A (SII)-like 1, transcription elongation factor A protein-like 1, Transcription elongation factor S-II protein-like 1

Gene Symbol

TCEAL1

Additional TCEAL1 Products

Product Documents for TCEAL1 Antibody (OTI2G10) - Azide and BSA Free

Certificate of Analysis

To download a Certificate of Analysis, please enter a lot number in the search box below.

Product Specific Notices for TCEAL1 Antibody (OTI2G10) - Azide and BSA Free

This product is for research use only and is not approved for use in humans or in clinical diagnosis. Primary Antibodies are guaranteed for 1 year from date of receipt.

Loading...
Loading...
Loading...
Loading...
Loading...