Skip to main content

TCEA1 Antibody (JE64-90)

Novus Biologicals, part of Bio-Techne | Catalog # NBP3-32999

Recombinant Monoclonal Antibody
Novus Biologicals, part of Bio-Techne
Catalog #
Availability
Size / Price
Qty
Loading...
NBP3-32999

Key Product Details

Species Reactivity

Human, Mouse, Rat

Applications

Immunohistochemistry, Immunohistochemistry-Paraffin, Western Blot

Label

Unconjugated

Antibody Source

Recombinant Monoclonal Rabbit IgG Clone # JE64-90 expressed in HEK293

Concentration

1 mg/ml

Product Specifications

Immunogen

Synthetic peptide within human TCEA1 aa 201-250/301. (Uniprot: P23193)

Localization

Nucleus.

Clonality

Monoclonal

Host

Rabbit

Isotype

IgG

Theoretical MW

34 kDa.
Disclaimer note: The observed molecular weight of the protein may vary from the listed predicted molecular weight due to post translational modifications, post translation cleavages, relative charges, and other experimental factors.

Description

Novus Biologicals Rabbit TCEA1 Antibody (JE64-90) (NBP3-32999) is a recombinant monoclonal antibody validated for use in IHC and WB. All Novus Biologicals antibodies are covered by our 100% guarantee.

Scientific Data Images for TCEA1 Antibody (JE64-90)

TCEA1 Antibody (JE64-90)

Western Blot: TCEA1 Antibody (JE64-90) [NBP3-32999]

Western Blot: TCEA1 Antibody (JE64-90) [NBP3-32999] - Western blot analysis of TCEA1 on different lysates with Rabbit anti-TCEA1 antibody (NBP3-32999) at 1/500 dilution.

Lane 1: K562 cell lysate
Lane 2: HUVEC cell lysate
Lane 3: Hela cell lysate
Lane 4: Jurkat cell lysate

Lysates/proteins at 10 ug/Lane.

Predicted band size: 34 kDa
Observed band size: 37 kDa

Exposure time: 1 minute;

12% SDS-PAGE gel.

Proteins were transferred to a PVDF membrane and blocked with 5% NFDM/TBST for 1 hour at room temperature. The primary antibody (NBP3-32999) at 1/500 dilution was used in 5% NFDM/TBST at room temperature for 2 hours. Goat Anti-Rabbit IgG - HRP Secondary Antibody at 1:300,000 dilution was used for 1 hour at room temperature.
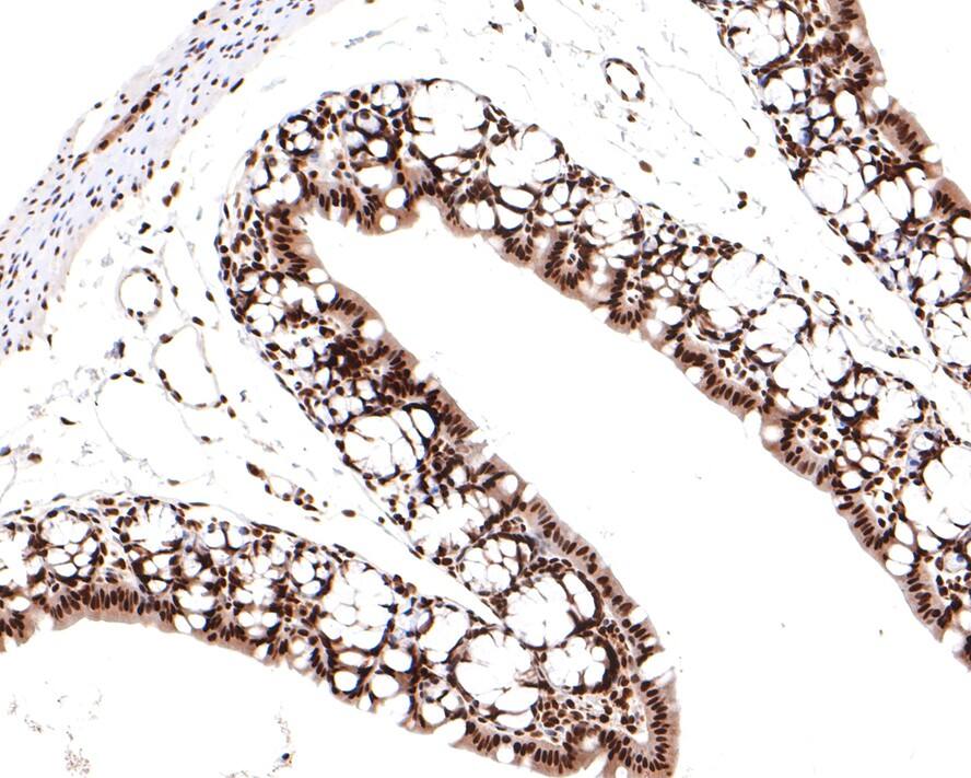
TCEA1 Antibody (JE64-90)

Immunohistochemistry: TCEA1 Antibody (JE64-90) [NBP3-32999]

Immunohistochemistry: TCEA1 Antibody (JE64-90) [NBP3-32999] - Immunohistochemical analysis of paraffin-embedded mouse large intestine tissue with Rabbit anti-TCEA1 antibody (NBP3-32999) at 1/400 dilution.

The section was pre-treated using heat mediated antigen retrieval with sodium citrate buffer (pH 6.0) for 2 minutes. The tissues were blocked in 1% BSA for 20 minutes at room temperature, washed with ddH2O and PBS, and then probed with the primary antibody (NBP3-32999) at 1/400 dilution for 1 hour at room temperature. The detection was performed using an HRP conjugated compact polymer system. DAB was used as the chromogen. Tissues were counterstained with hematoxylin and mounted with DPX.

Applications for TCEA1 Antibody (JE64-90)

Application
Recommended Usage

Immunohistochemistry-Paraffin

1:400-1:2000

Western Blot

1:500-1:2000

Formulation, Preparation, and Storage

Purification

Protein A purified

Formulation

1*TBS (pH7.4), 0.05% BSA and 40% Glycerol

Preservative

0.05% Sodium Azide

Concentration

1 mg/ml

Shipping

The product is shipped with polar packs. Upon receipt, store it immediately at the temperature recommended below.

Stability & Storage

Store at 4C short term. Aliquot and store at -20C long term. Avoid freeze-thaw cycles.

Background: TCEA1

TFIIS is a transcription elongation factor that plays a role in RNA polymerase II transcription initiation. It also plays a role in transcript cleavage activity of arrested RNA which allows resumption of elongation from the newly cleaved 3'-prime terminus.

Alternate Names

GTF2Stranscription elongation factor A protein 1, SII, TF2STCEA, TFIISTranscription elongation factor TFIIS.o, transcription elongation factor A (SII), 1, Transcription elongation factor S-II protein 1

Gene Symbol

TCEA1

Additional TCEA1 Products

Product Documents for TCEA1 Antibody (JE64-90)

Certificate of Analysis

To download a Certificate of Analysis, please enter a lot number in the search box below.

Product Specific Notices for TCEA1 Antibody (JE64-90)

This product is for research use only and is not approved for use in humans or in clinical diagnosis. Primary Antibodies are guaranteed for 1 year from date of receipt.

Loading...
Loading...
Loading...
Loading...