Skip to main content

TC-PTP/PTPN2 Antibody - BSA Free

Novus Biologicals, part of Bio-Techne | Catalog # NBP1-60066

Novus Biologicals, part of Bio-Techne
Catalog #
Availability
Size / Price
Qty
Loading...
NBP1-60066

Key Product Details

Species Reactivity

Human

Applications

Immunohistochemistry, Immunohistochemistry-Paraffin, Western Blot

Label

Unconjugated

Antibody Source

Polyclonal Rabbit IgG

Format

BSA Free

Concentration

0.5 mg/ml

Product Specifications

Immunogen

Synthetic peptides corresponding to PTPN2(protein tyrosine phosphatase, non-receptor type 2) The peptide sequence was selected from the middle region of PTPN2. Peptide sequence ESGSLNPDHGPAVIHCSAGIGRSGTFSLVDTCLVLMEKGDDINIKQVLLN. The peptide sequence for this immunogen was taken from within the described region.

Clonality

Polyclonal

Host

Rabbit

Isotype

IgG

Description

The addition of 50% glycerol is optional for those storing this antibody at -20C and not aliquoting smaller units. However, please note that glycerol may interrupt some downstream antibody applications and should be added with caution.

Scientific Data Images for TC-PTP/PTPN2 Antibody - BSA Free

Western Blot: TC-PTP/PTPN2 Antibody [NBP1-60066]

Western Blot: TC-PTP/PTPN2 Antibody [NBP1-60066]

Western Blot: TC-PTP/PTPN2 Antibody [NBP1-60066] - Transfected 293T, Antibody Titration: 0.2-1 ug/ml
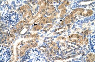
Immunohistochemistry-Paraffin: TC-PTP/PTPN2 Antibody [NBP1-60066]

Immunohistochemistry-Paraffin: TC-PTP/PTPN2 Antibody [NBP1-60066]

Immunohistochemistry-Paraffin: TC-PTP/PTPN2 Antibody [NBP1-60066] - Human kidney Tissue, antibody concentration 4-8ug/ml. Cells with positive label: renal corpuscle cells (indicated with arrows) 400X magnification.

Applications for TC-PTP/PTPN2 Antibody - BSA Free

Application
Recommended Usage

Immunohistochemistry

1:10-1:500

Immunohistochemistry-Paraffin

1:10-1:500

Western Blot

1.0 ug/ml

Formulation, Preparation, and Storage

Purification

Affinity purified

Formulation

PBS, 2% Sucrose

Format

BSA Free

Preservative

0.09% Sodium Azide

Concentration

0.5 mg/ml

Shipping

The product is shipped with polar packs. Upon receipt, store it immediately at the temperature recommended below.

Stability & Storage

Store at 4C short term. Aliquot and store at -20C long term. Avoid freeze-thaw cycles.

Background: TC-PTP

PTPN2 is a member of the protein tyrosine phosphatase (PTP) family. Members of the PTP family share a highly conserved catalytic motif, which is essential for the catalytic activity. PTPs are known to be signaling molecules that regulate a variety of cellular processes including cell growth, differentiation, mitotic cycle, and oncogenic transformation. Epidermal growth factor receptor and the adaptor protein Shc were reported to be substrates of this PTP, which suggested the roles in growth factor mediated cell signaling.The protein encoded by this gene is a member of the protein tyrosine phosphatase (PTP) family. Members of the PTP family share a highly conserved catalytic motif, which is essential for the catalytic activity. PTPs are known to be signaling molecules that regulate a variety of cellular processes including cell growth, differentiation, mitotic cycle, and oncogenic transformation. Epidermal growth factor receptor and the adaptor protein Shc were reported to be substrates of this PTP, which suggested the roles in growth factor mediated cell signaling. Three alternatively spliced variants of this gene, which encode isoforms differing at their extreme C-termini, have been described. The different C-termini are thought to determine the substrate specificity, as well as the cellular localization of the isoforms. Two highly related but distinctly processed pseudogenes that localize to distinct chromosomes have been reported.

Long Name

T Cell Protein Tyrosine Phosphatase

Alternate Names

PTP2, PTPN2, TCPTP

Gene Symbol

PTPN2

UniProt

Additional TC-PTP Products

Product Documents for TC-PTP/PTPN2 Antibody - BSA Free

Certificate of Analysis

To download a Certificate of Analysis, please enter a lot number in the search box below.

Product Specific Notices for TC-PTP/PTPN2 Antibody - BSA Free

This product is for research use only and is not approved for use in humans or in clinical diagnosis. Primary Antibodies are guaranteed for 1 year from date of receipt.

Loading...
Loading...
Loading...
Loading...