Skip to main content

TBK1 Antibody - BSA Free

Novus Biologicals, part of Bio-Techne | Catalog # NBP2-13416

Novus Biologicals, part of Bio-Techne
Catalog #
Availability
Size / Price
Qty
Loading...
NBP2-13416-25ul
NBP2-13416

Key Product Details

Species Reactivity

Validated:

Human

Predicted:

Mouse (91%), Rat (94%). Backed by our 100% Guarantee.

Applications

Immunohistochemistry, Immunohistochemistry-Paraffin, Immunocytochemistry/ Immunofluorescence

Label

Unconjugated

Antibody Source

Polyclonal Rabbit IgG

Format

BSA Free

Concentration

Concentrations vary lot to lot. See vial label for concentration. If unlisted please contact technical services.

Product Specifications

Immunogen

This antibody was developed against a recombinant protein corresponding to the amino acids: MLHLRKQLLSLTNQCFDIEEEVSKYQEYTNELQETLPQKMFTASSGIKHTMTPIYPSSNTLVEMTLGMKKLKEEMEGVVK

Clonality

Polyclonal

Host

Rabbit

Isotype

IgG

Description

Novus Biologicals Rabbit TBK1 Antibody - BSA Free (NBP2-13416) is a polyclonal antibody validated for use in IHC and ICC/IF. All Novus Biologicals antibodies are covered by our 100% guarantee.

Scientific Data Images for TBK1 Antibody - BSA Free

Immunocytochemistry/ Immunofluorescence: TBK1 Antibody [NBP2-13416]

Immunocytochemistry/ Immunofluorescence: TBK1 Antibody [NBP2-13416]

Immunocytochemistry/Immunofluorescence: TBK1 Antibody [NBP2-13416] - Staining of human cell line A-431 shows localization to nucleoplasm.
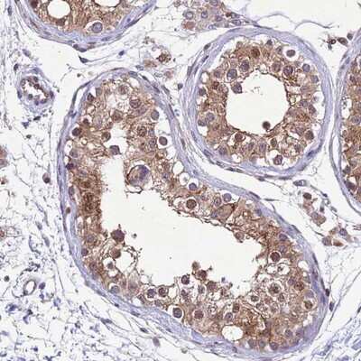
Immunohistochemistry-Paraffin: TBK1 Antibody [NBP2-13416]

Immunohistochemistry-Paraffin: TBK1 Antibody [NBP2-13416]

Immunohistochemistry-Paraffin: TBK1 Antibody [NBP2-13416] - Staining of human testis shows moderate cytoplasmic, membranous and nuclear positivity in cells in seminiferus ducts.
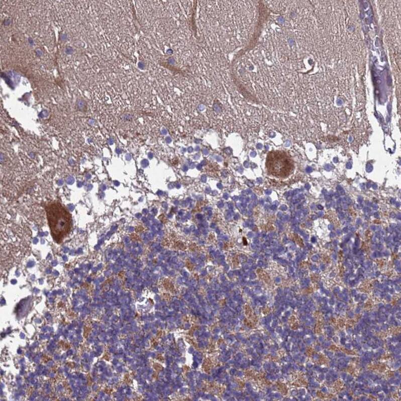
TBK1 Antibody - BSA Free Immunohistochemistry: TBK1 Antibody - BSA Free [NBP2-13416]

Immunohistochemistry: TBK1 Antibody - BSA Free [NBP2-13416]

Staining of human Cerebellum shows moderate nuclear and cytoplasmic positivity in Purkinje cells.

Applications for TBK1 Antibody - BSA Free

Application
Recommended Usage

Immunocytochemistry/ Immunofluorescence

0.25-2 ug/ml

Immunohistochemistry

1:200 - 1:500

Immunohistochemistry-Paraffin

1:200 - 1:500
Application Notes
For IHC-Paraffin, HIER pH 6 retrieval is recommended. Immunocytochemistry/Immunofluorescence Fixation Permeabilization: Use PFA/Triton X-100.

Formulation, Preparation, and Storage

Purification

Affinity purified

Formulation

PBS (pH 7.2) and 40% Glycerol

Format

BSA Free

Preservative

0.02% Sodium Azide

Concentration

Concentrations vary lot to lot. See vial label for concentration. If unlisted please contact technical services.

Shipping

The product is shipped with polar packs. Upon receipt, store it immediately at the temperature recommended below.

Stability & Storage

Store at 4C short term. Aliquot and store at -20C long term. Avoid freeze-thaw cycles.

Background: TBK1

NFkappaB-activating kinase (NAK) also known as TANK binding kinase-1 (TBK1) or tumor necrosis factor receptor associated factor 2-associated kinase (T2K) is a serine/threonine protein that belongs to the IkB kinase (IKK) family (1). Similar to IKK alpha and beta (2), NAK induces IkB degradation and NF-kB activity. NAK is activated by phorbol ester tumour promoters and growth factors, whereas catalytically inactive NAK specifically inhibits activation of NF-kB by protein kinase C-epsilon (PKCepsilon). NAK specifically phosphorylates IkB alpha on Serine 36 and NFkB subunit RelA (p65) on Serine 536 (3). NAK is also known to interact with TANK, TRAF-2 and TRIF (4).

Long Name

TANK Binding Kinase 1

Alternate Names

FTDALS4, NAK, NFKB-Activating Kinase

Gene Symbol

TBK1

Additional TBK1 Products

Product Documents for TBK1 Antibody - BSA Free

Certificate of Analysis

To download a Certificate of Analysis, please enter a lot number in the search box below.

Product Specific Notices for TBK1 Antibody - BSA Free

This product is for research use only and is not approved for use in humans or in clinical diagnosis. Primary Antibodies are guaranteed for 1 year from date of receipt.

Loading...
Loading...
Loading...
Loading...
Loading...