TBC1D15 Antibody - BSA Free
Novus Biologicals, part of Bio-Techne | Catalog # NBP2-20576
Key Product Details
Species Reactivity
Human, Mouse
Applications
Validated:
Immunohistochemistry, Immunohistochemistry-Paraffin, Western Blot, Immunocytochemistry/ Immunofluorescence
Cited:
Western Blot, Block/Neutralize
Label
Unconjugated
Antibody Source
Polyclonal Rabbit IgG
Format
BSA Free
Concentration
Concentrations vary lot to lot. See vial label for concentration. If unlisted please contact technical services.
Product Specifications
Immunogen
Recombinant protein encompassing a sequence within the center region of human TBC1D15. The exact sequence is proprietary.
Clonality
Polyclonal
Host
Rabbit
Isotype
IgG
Theoretical MW
79 kDa.
Disclaimer note: The observed molecular weight of the protein may vary from the listed predicted molecular weight due to post translational modifications, post translation cleavages, relative charges, and other experimental factors.
Disclaimer note: The observed molecular weight of the protein may vary from the listed predicted molecular weight due to post translational modifications, post translation cleavages, relative charges, and other experimental factors.
Scientific Data Images for TBC1D15 Antibody - BSA Free
Western Blot: TBC1D15 Antibody [NBP2-20576]
Western Blot: TBC1D15 Antibody [NBP2-20576] - Sample (30 ug of whole cell lysate) A: 293T B: A431 C: HeLa D: HepG2 7. 5% SDS PAGE gel, diluted at 1:3000.Immunohistochemistry-Paraffin: TBC1D15 Antibody [NBP2-20576]
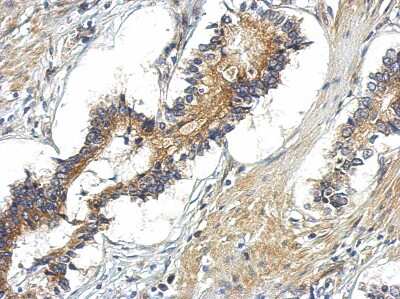
Immunohistochemistry-Paraffin: TBC1D15 Antibody [NBP2-20576] - Immunohistochemical analysis of paraffin-embedded Muscle, using antibody at 1:500 dilution.Immunohistochemistry-Paraffin: TBC1D15 Antibody [NBP2-20576]
Immunohistochemistry-Paraffin: TBC1D15 Antibody [NBP2-20576] - Immunohistochemical analysis of paraffin-embedded Gastric ca, using antibody at 1:500 dilution.Applications for TBC1D15 Antibody - BSA Free
Application
Recommended Usage
Immunohistochemistry
1:100-1:1000
Immunohistochemistry-Paraffin
1:100-1:1000
Western Blot
1:500-1:3000
Formulation, Preparation, and Storage
Purification
Antigen Affinity-purified
Formulation
PBS, 20% Glycerol
Format
BSA Free
Preservative
0.01% Thimerosal
Concentration
Concentrations vary lot to lot. See vial label for concentration. If unlisted please contact technical services.
Shipping
The product is shipped with polar packs. Upon receipt, store it immediately at the temperature recommended below.
Stability & Storage
Aliquot and store at -20C or -80C. Avoid freeze-thaw cycles.
Background: TBC1D15
Alternate Names
domain family member 15, TBC1 domain family, member 15
Gene Symbol
TBC1D15
UniProt
Additional TBC1D15 Products
Product Documents for TBC1D15 Antibody - BSA Free
Product Specific Notices for TBC1D15 Antibody - BSA Free
This product is for research use only and is not approved for use in humans or in clinical diagnosis. Primary Antibodies are guaranteed for 1 year from date of receipt.
Loading...
Loading...
Loading...
Loading...
⚠ WARNING: This product can expose you to chemicals including mercury, which is known to the State of California to cause reproductive toxicity with developmental effects. For more information go to www.P65Warnings.ca.gov.