Skip to main content

TBC1D1 Antibody - BSA Free

Novus Biologicals, part of Bio-Techne | Catalog # NBP3-21442

Novus Biologicals, part of Bio-Techne
Catalog #
Availability
Size / Price
Qty
Loading...
NBP3-21442-100ul
NBP3-21442-25ul
Conjugate
Catalog #

Key Product Details

Species Reactivity

Human

Applications

Immunohistochemistry, Immunohistochemistry-Paraffin

Label

Unconjugated

Antibody Source

Polyclonal Rabbit IgG

Format

BSA Free

Concentration

Please see the vial label for concentration. If unlisted please contact technical services.

Product Specifications

Immunogen

Produced in rabbits immunized with E. coli-derived Human TBC1D1 fragment

Clonality

Polyclonal

Host

Rabbit

Isotype

IgG

Description

This antibody can be stored at 2-8C for one month without detectable loss of activity. Antibody products are stable for twelve months from date of receipt when stored at -20C to -80C.

Scientific Data Images for TBC1D1 Antibody - BSA Free

TBC1D1 Antibody

Immunohistochemistry-Paraffin: TBC1D1 Antibody [NBP3-21442] -

Immunohistochemistry-Paraffin: TBC1D1 Antibody [NBP3-21442] - Immunochemical staining of human TBC1D1 in human gallbladder with NBP3-21442 at 1:100 dilution, formalin-fixed paraffin embedded sections.
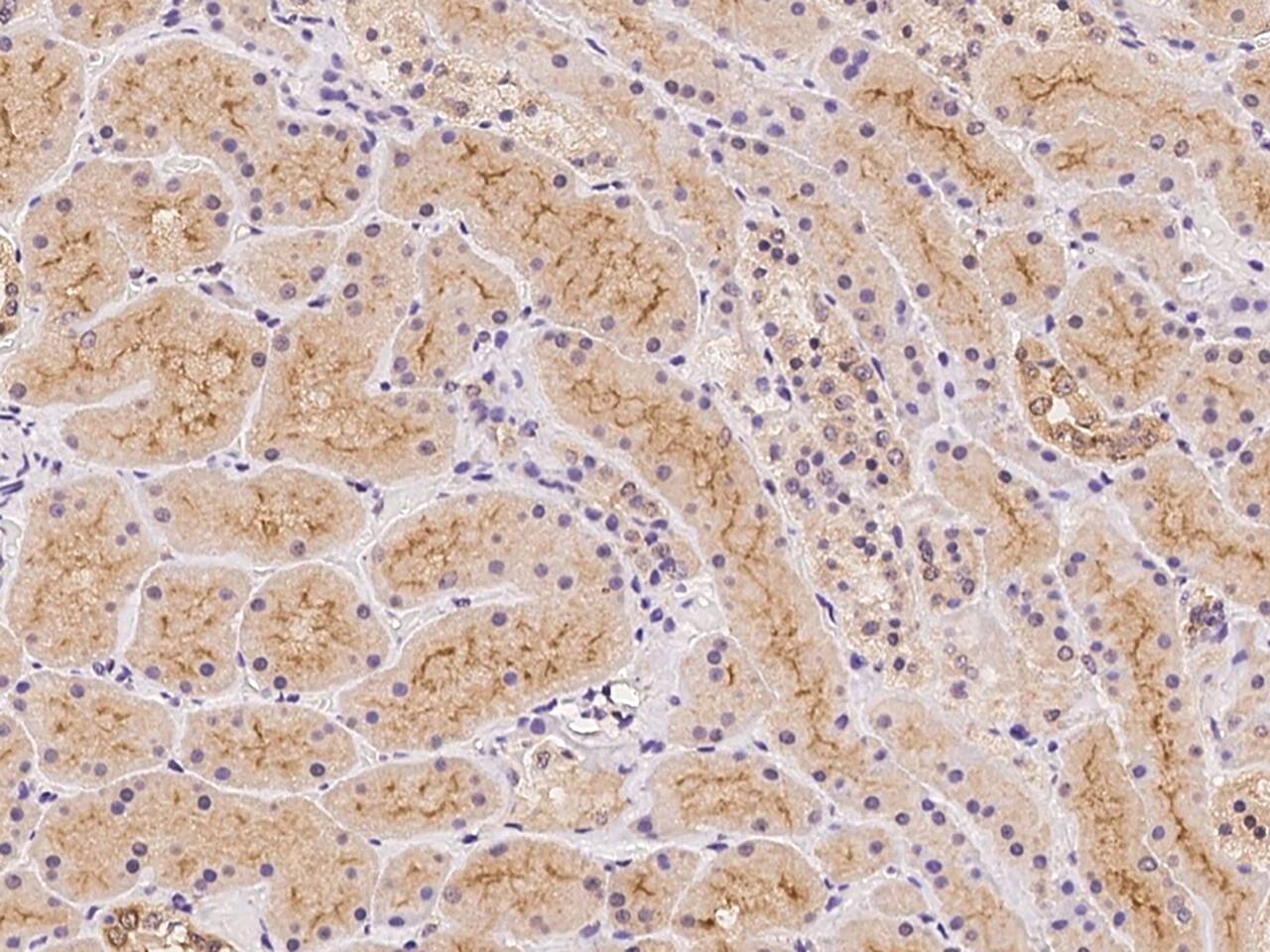
TBC1D1 Antibody

Immunohistochemistry-Paraffin: TBC1D1 Antibody [NBP3-21442] -

Immunohistochemistry-Paraffin: TBC1D1 Antibody [NBP3-21442] - Immunochemical staining of human TBC1D1 in human kidney with NBP3-21442 at 1:100 dilution, formalin-fixed paraffin embedded sections.

Applications for TBC1D1 Antibody - BSA Free

Application
Recommended Usage

Immunohistochemistry-Paraffin

1:50-1:200

Formulation, Preparation, and Storage

Purification

Antigen and protein A Affinity-purified

Formulation

PBS, pH 7.0

Format

BSA Free

Preservative

0.03% Proclin 300

Concentration

Please see the vial label for concentration. If unlisted please contact technical services.

Shipping

The product is shipped with polar packs. Upon receipt, store it immediately at the temperature recommended below.

Stability & Storage

Store at 4C short term. Aliquot and store at -20C long term. Avoid freeze-thaw cycles.

Background: TBC1D1

TBC1D1 is the founding member of a family of proteins sharing a 180- to 200-amino acid TBC domain and presumed to have a role in regulating cell growth and differentiation. These proteins share significant homology with TRE2/USP6, yeast Bub2, and CDC16. TBC1D1 and TBC1D4 (AS160) have been demonstrated to be Rab GAPs (GTPase-activating proteins) that link upstream to Akt and phosphoinositide 3-kinase and downstream to Rabs involved in trafficking of GLUT4 vesicles. TBC1D1 regulates insulin-mediated GLUT4 translocation through its GAP activity, and is a likely Akt substrate. Mutations in the Tbc1d1 gene lead to some cases of severe human obesity.

Alternate Names

KIAA1108TBC, TBC1, TBC1 (tre-2/USP6, BUB2, cdc16) domain family, member 1, TBC1 domain family member 1

Gene Symbol

TBC1D1

Additional TBC1D1 Products

Product Documents for TBC1D1 Antibody - BSA Free

Certificate of Analysis

To download a Certificate of Analysis, please enter a lot number in the search box below.

Product Specific Notices for TBC1D1 Antibody - BSA Free

This product is for research use only and is not approved for use in humans or in clinical diagnosis. Primary Antibodies are guaranteed for 1 year from date of receipt.

Loading...
Loading...
Loading...
Loading...