Tankyrase binding protein 1 Antibody - BSA Free
Novus Biologicals, part of Bio-Techne | Catalog # NBP2-34041
Key Product Details
Validated by
Orthogonal Validation, Independent Antibodies
Species Reactivity
Human
Applications
Immunohistochemistry, Immunohistochemistry-Paraffin
Label
Unconjugated
Antibody Source
Polyclonal Rabbit IgG
Format
BSA Free
Concentration
Concentrations vary lot to lot. See vial label for concentration. If unlisted please contact technical services.
Product Specifications
Immunogen
This antibody was developed against a recombinant protein corresponding to amino acids: EVLASPDRLWGSRLTFNHDGSSRYGPRTYGTTTAPRDEDGSTLFRGWSQEGPVKSPAECREEHSKTPEERSLPSDLAFNGDLAKAASSELPAD
Clonality
Polyclonal
Host
Rabbit
Isotype
IgG
Description
Novus Biologicals Rabbit Tankyrase binding protein 1 Antibody - BSA Free (NBP2-34041) is a polyclonal antibody validated for use in IHC. All Novus Biologicals antibodies are covered by our 100% guarantee.
Scientific Data Images for Tankyrase binding protein 1 Antibody - BSA Free
Immunohistochemistry-Paraffin: Tankyrase binding protein 1 Antibody [NBP2-34041]
Immunohistochemistry-Paraffin: Tankyrase binding protein 1 Antibody [NBP2-34041] - Staining of human prostate.Immunohistochemistry: Tankyrase binding protein 1 Antibody [NBP2-34041]
Immunohistochemistry: Tankyrase binding protein 1 Antibody [NBP2-34041] - Staining of human prostate shows distinct cytoplasmic and membranous positivity in glandular cells.Immunohistochemistry-Paraffin: Tankyrase binding protein 1 Antibody [NBP2-34041]
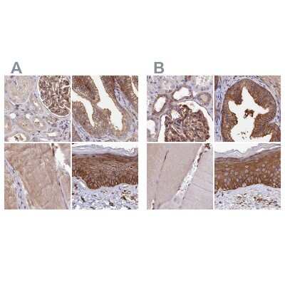
Immunohistochemistry-Paraffin: Tankyrase binding protein 1 Antibody [NBP2-34041] - Staining of human skeletal muscle shows low expression as expected.Applications for Tankyrase binding protein 1 Antibody - BSA Free
Application
Recommended Usage
Immunohistochemistry
1:200 - 1:500
Immunohistochemistry-Paraffin
1:200 - 1:500
Application Notes
For IHC-Paraffin, HIER pH 6 retrieval is recommended.
Formulation, Preparation, and Storage
Purification
Immunogen affinity purified
Formulation
PBS (pH 7.2) and 40% Glycerol
Format
BSA Free
Preservative
0.02% Sodium Azide
Concentration
Concentrations vary lot to lot. See vial label for concentration. If unlisted please contact technical services.
Shipping
The product is shipped with polar packs. Upon receipt, store it immediately at the temperature recommended below.
Stability & Storage
Store at 4C short term. Aliquot and store at -20C long term. Avoid freeze-thaw cycles.
Background: Tankyrase binding protein 1
Alternate Names
KIAA1741TAB182FLJ45975,182 kDa tankyrase-1-binding protein, tankyrase 1 binding protein 1, 182kDa, tankyrase 1-binding protein of 182 kDa
Gene Symbol
TNKS1BP1
UniProt
Additional Tankyrase binding protein 1 Products
Product Documents for Tankyrase binding protein 1 Antibody - BSA Free
Product Specific Notices for Tankyrase binding protein 1 Antibody - BSA Free
This product is for research use only and is not approved for use in humans or in clinical diagnosis. Primary Antibodies are guaranteed for 1 year from date of receipt.
Loading...
Loading...
Loading...
Loading...