Skip to main content

TAG-72 Antibody (B72.3) - Azide and BSA Free

Novus Biologicals, part of Bio-Techne | Catalog # NBP2-33180

Novus Biologicals, part of Bio-Techne
Catalog #
Availability
Size / Price
Qty
Loading...
NBP2-33180

Key Product Details

Species Reactivity

Human, Rat, Bovine, Canine, Hamster

Applications

Immunohistochemistry, Immunohistochemistry-Paraffin, Flow Cytometry, Immunocytochemistry/ Immunofluorescence

Label

Unconjugated

Antibody Source

Monoclonal Mouse IgG1 kappa Clone # B72.3

Format

Azide and BSA Free

Concentration

1.0 mg/ml

Product Specifications

Immunogen

Membrane-enriched fraction of a human breast carcinoma liver metastasis

Localization

Cytoplasmic and cell surface

Specificity

Recognizes an oncofetal antigen of 220kDa, identified as a tumor-associated glycoprotein (TAG-72) with properties of a mucin. This monoclonal antibody defines the mucin-carried sialylated-Tn epitope. TAG-72 is usually expressed by adenocarcinomas, but is negative in mesotheliomas. Studies have reported that this antibody has 80% sensitivity and 93% specificity for pulmonary adenocarcinoma. Therefore, TAG-72 is a useful marker to distinguish between mesothelioma and adenocarcinoma. However, false positive reactions can occur so results must be interpreted with the utmost caution. This antibody may be useful in the differentiation of non-small cell carcinomas from small cell carcinomas of the lung. The combined use of anti-TAG-72 and anti-GCDFP-15 is valuable in the diagnosis of apocrine carcinoma.

Clonality

Monoclonal

Host

Mouse

Isotype

IgG1 kappa

Theoretical MW

220 kDa.
Disclaimer note: The observed molecular weight of the protein may vary from the listed predicted molecular weight due to post translational modifications, post translation cleavages, relative charges, and other experimental factors.

Description

1.0 mg/ml of antibody purified from Bioreactor Concentrate by Protein A/G. Prepared in 10mM PBS WITHOUT BSA & azide. Also available at 200 ug/ml WITH BSA & azide (NBP2-29412).

Antibody with azide - store at 2 to 8C. Antibody without azide - store at -20 to -80C.

Scientific Data Images for TAG-72 Antibody (B72.3) - Azide and BSA Free

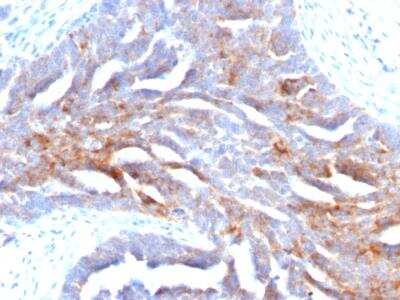
Immunohistochemistry-Paraffin: TAG-72 Antibody (B72.3) [Azide Free] [NBP2-33180] - Formalin-paraffin human Prostate Carcinoma stained with TAG-72 MAb (B72.3).
Immunohistochemistry-Paraffin: TAG-72 Antibody (B72.3) [Azide Free] [NBP2-33180] - Formalin-paraffin human Colon Carcinoma stained with TAG-72 MAb (B72.3).
Immunohistochemistry-Paraffin: TAG-72 Antibody (B72.3) [Azide Free] [NBP2-33180] - Formalin-paraffin human Ovarian Carcinoma stained with TAG-72 MAb (B72.3).

Applications for TAG-72 Antibody (B72.3) - Azide and BSA Free

Application
Recommended Usage

Flow Cytometry

Optimal dilutions of this antibody should be experimentally determined.

Immunocytochemistry/ Immunofluorescence

Optimal dilutions of this antibody should be experimentally determined.

Immunohistochemistry

Optimal dilutions of this antibody should be experimentally determined.

Immunohistochemistry-Paraffin

Optimal dilutions of this antibody should be experimentally determined.
Application Notes
Immunohistochemistry (Formalin-fixed): 1-2ug/ml for 30 minutes at RT. Staining of formalin-fixed tissues requires heating tissue sections in 10mM Tris with 1mM EDTA, pH 9.0, for 45 min at 95C followed by cooling at RT for 20 minutes.
Optimal dilution for a specific application should be determined.

Formulation, Preparation, and Storage

Purification

Protein A or G purified

Formulation

10 mM PBS

Format

Azide and BSA Free

Preservative

No Preservative

Concentration

1.0 mg/ml

Shipping

The product is shipped with polar packs. Upon receipt, store it immediately at the temperature recommended below.

Stability & Storage

Store at -20 to -80C. Avoid freeze-thaw cycles.

Background: TAG-72

Tumor-associated glycoprotein (TAG-72) is an oncofetal antigen with properties of a mucin. About 60% of carcinoma patients express TAG-72 in their sera. Majority of human adenocarcinomas including colorectal, pancreatic, gastric, ovarian, endometrial, mammary, and non-small cell lung cancer display some cell populations that are positive for Ab-1 staining. Weak or no reactivity has been observed with most cell types of normal adult tissue excepting the secretory endometrium. Ab-1 is reportedly useful in distinguishing pulmonary adenocarcinomas (B72.3+) from pleural mesotheliomas (B72.3-).

Alternate Names

CA 72-4, Protein TAG-72, tag 72, tag-72 Protein TAG-72

Additional TAG-72 Products

Product Documents for TAG-72 Antibody (B72.3) - Azide and BSA Free

Certificate of Analysis

To download a Certificate of Analysis, please enter a lot number in the search box below.

Product Specific Notices for TAG-72 Antibody (B72.3) - Azide and BSA Free

This product is for research use only and is not approved for use in humans or in clinical diagnosis. Primary Antibodies are guaranteed for 1 year from date of receipt.

Loading...
Loading...
Loading...
Loading...
Loading...