Skip to main content

TAG-72 Antibody (B72.3)

Novus Biologicals, part of Bio-Techne | Catalog # NBP2-29412

Novus Biologicals, part of Bio-Techne
Catalog #
Availability
Size / Price
Qty
Loading...
NBP2-29412
NBP2-29412-20ug

Key Product Details

Species Reactivity

Human, Rat, Bovine, Canine, Hamster

Applications

Immunohistochemistry, Immunohistochemistry-Paraffin, Flow Cytometry, Immunocytochemistry/ Immunofluorescence

Label

Unconjugated

Antibody Source

Monoclonal Mouse IgG1 kappa Clone # B72.3

Concentration

0.2 mg/ml

Product Specifications

Immunogen

Membrane-enriched fraction of a human breast carcinoma liver metastasis

Localization

Cytoplasmic and cell surface

Specificity

Recognizes an oncofetal antigen of 220kDa, identified as a tumor-associated glycoprotein (TAG-72) with properties of a mucin. This monoclonal antibody defines the mucin-carried sialylated-Tn epitope. TAG-72 is usually expressed by adenocarcinomas, but is negative in mesotheliomas. Studies have reported that this antibody has 80% sensitivity and 93% specificity for pulmonary adenocarcinoma. Therefore, TAG-72 is a useful marker to distinguish between mesothelioma and adenocarcinoma. However, false positive reactions can occur so results must be interpreted with the utmost caution. This antibody may be useful in the differentiation of non-small cell carcinomas from small cell carcinomas of the lung. The combined use of anti-TAG-72 and anti-GCDFP-15 is valuable in the diagnosis of apocrine carcinoma.

Clonality

Monoclonal

Host

Mouse

Isotype

IgG1 kappa

Theoretical MW

220 kDa.
Disclaimer note: The observed molecular weight of the protein may vary from the listed predicted molecular weight due to post translational modifications, post translation cleavages, relative charges, and other experimental factors.

Description

200ug/ml of antibody purified from Bioreactor Concentrate by Protein A or G. Prepared in 10 mM PBS with 0.05% BSA & 0.05% azide. Also available WITHOUT BSA & azide at 1.0 mg/ml. (NBP2-33180)

Antibody with azide - store at 2 to 8C. Antibody without azide - store at -20 to -80C.

Scientific Data Images for TAG-72 Antibody (B72.3)

Immunohistochemistry-Paraffin: TAG-72 Antibody (B72.3) [NBP2-29412]

Immunohistochemistry-Paraffin: TAG-72 Antibody (B72.3) [NBP2-29412]

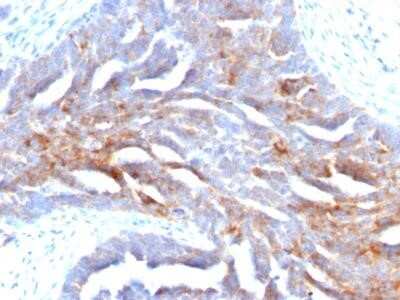
Immunohistochemistry-Paraffin: TAG-72 Antibody (B72.3) [NBP2-29412] - Analysis using the Azide and BSA Free version of NBP2-29412. Staining of human Prostate Carcinoma stained with TAG-72 MAb (B72.3).
Immunohistochemistry-Paraffin: TAG-72 Antibody (B72.3) [NBP2-29412]

Immunohistochemistry-Paraffin: TAG-72 Antibody (B72.3) [NBP2-29412]

Immunohistochemistry-Paraffin: TAG-72 Antibody (B72.3) [NBP2-29412] - Analysis using the Azide and BSA Free version of NBP2-29412. Staining of human Colon Carcinoma stained with TAG-72 MAb (B72.3).
Immunohistochemistry-Paraffin: TAG-72 Antibody (B72.3) [NBP2-29412]

Immunohistochemistry-Paraffin: TAG-72 Antibody (B72.3) [NBP2-29412]

Immunohistochemistry-Paraffin: TAG-72 Antibody (B72.3) [NBP2-29412] - Analysis using the Azide and BSA Free version of NBP2-29412. Staining of human Ovarian Carcinoma stained with TAG-72 MAb (B72.3).

Applications for TAG-72 Antibody (B72.3)

Application
Recommended Usage

Flow Cytometry

1-2 ug/million cells

Immunocytochemistry/ Immunofluorescence

1-2 ug/ml

Immunohistochemistry-Paraffin

1-2 ug/ml
Application Notes
Immunohistochemistry (Formalin-fixed): 1-2ug/ml for 30 minutes at RT. Staining of formalin-fixed tissues requires heating tissue sections in 10mM Tris with 1mM EDTA, pH 9.0, for 45 min at 95C followed by cooling at RT for 20 minutes.
Optimal dilution for a specific application should be determined.

Formulation, Preparation, and Storage

Purification

Protein A or G purified

Formulation

10 mM PBS with 0.05% BSA

Preservative

0.05% Sodium Azide

Concentration

0.2 mg/ml

Shipping

The product is shipped with polar packs. Upon receipt, store it immediately at the temperature recommended below.

Stability & Storage

Store at 4C.

Background: TAG-72

Tumor-associated glycoprotein (TAG) 72 is a tumor marker, identified and characterized using two different monoclonal antibodies B72.3 and CC49. It is a mucin-like protein of high molecular weight (220-400 kd). The protein is expressed in several epithelial-derived cancers including 94% of colonic adenocarcinomas, 84% of invasive ductal carcinomas of the breast, 96% of non-small cell lung carcinomas, 100%of common epithelial ovarian carcinomas, as well as the majority of pancreatic, gastric, and esophageal cancers evaluated. The protein expression is also detected in fetal colon, stomach, and esophagus, thus defining TAG-72 as an oncofetal antigen. The protein is pancarcinoma in nature. The pancarcinoma distribution and lack of significant reactivity with normal tissues of monoclonal antibody B72.3 suggests that TAG-72 has thus a potential diagnostic and therapeutic utility for human carcinomas.

Alternate Names

CA 72-4, Protein TAG-72, tag 72, tag-72 Protein TAG-72

Additional TAG-72 Products

Product Documents for TAG-72 Antibody (B72.3)

Certificate of Analysis

To download a Certificate of Analysis, please enter a lot number in the search box below.

Product Specific Notices for TAG-72 Antibody (B72.3)

This product is for research use only and is not approved for use in humans or in clinical diagnosis. Primary Antibodies are guaranteed for 1 year from date of receipt.

Loading...
Loading...
Loading...
Loading...
Loading...