Skip to main content

TAF9b Antibody - BSA Free

Novus Biologicals, part of Bio-Techne | Catalog # NBP1-92475

Novus Biologicals, part of Bio-Techne
Catalog #
Availability
Size / Price
Qty
Loading...
NBP1-92475
NBP1-92475-25ul

Key Product Details

Species Reactivity

Validated:

Human

Predicted:

Rat (96%). Backed by our 100% Guarantee.

Applications

Immunohistochemistry, Immunohistochemistry-Paraffin

Label

Unconjugated

Antibody Source

Polyclonal Rabbit IgG

Format

BSA Free

Concentration

Concentrations vary lot to lot. See vial label for concentration. If unlisted please contact technical services.

Product Specifications

Immunogen

This antibody was developed against Recombinant Protein corresponding to amino acids: KGPNQGRLVPRLSVGAVSSKPTT

Reactivity Notes

Immunogen displays the following percentage of sequence identity for non-tested species: Mouse (87%)

Clonality

Polyclonal

Host

Rabbit

Isotype

IgG

Description

Novus Biologicals Rabbit TAF9b Antibody - BSA Free (NBP1-92475) is a polyclonal antibody validated for use in IHC. All Novus Biologicals antibodies are covered by our 100% guarantee.

Scientific Data Images for TAF9b Antibody - BSA Free

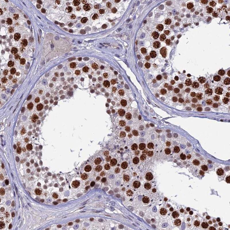
Immunohistochemistry-Paraffin: TAF9b Antibody [NBP1-92475]

Immunohistochemistry-Paraffin: TAF9b Antibody [NBP1-92475]

Immunohistochemistry-Paraffin: TAF9b Antibody [NBP1-92475] - Staining of human testis shows strong nuclear positivity in cells in seminiferus ducts.
TAF9b Antibody - BSA Free Immunohistochemistry: TAF9b Antibody - BSA Free [NBP1-92475]

Immunohistochemistry: TAF9b Antibody - BSA Free [NBP1-92475]

Staining of human testis shows strong nuclear positivity in cells in seminiferous ducts.

Applications for TAF9b Antibody - BSA Free

Application
Recommended Usage

Immunohistochemistry

1:50 - 1:200

Immunohistochemistry-Paraffin

1:50 - 1:200
Application Notes
For IHC-Paraffin, HIER pH 6 retrieval is recommended. Immunocytochemistry/Immunofluorescence Fixation Permeabilization: Use PFA/Triton X-100.

Formulation, Preparation, and Storage

Purification

Affinity purified

Formulation

PBS (pH 7.2) and 40% Glycerol

Format

BSA Free

Preservative

0.02% Sodium Azide

Concentration

Concentrations vary lot to lot. See vial label for concentration. If unlisted please contact technical services.

Shipping

The product is shipped with polar packs. Upon receipt, store it immediately at the temperature recommended below.

Stability & Storage

Store at 4C short term. Aliquot and store at -20C long term. Avoid freeze-thaw cycles.

Background: TAF9b

Initiation of transcription by RNA polymerase II requires the activities of more than 70 polypeptides. The protein thatcoordinates these activities is transcription factor IID (TFIID), which binds to the core promoter to position thepolymerase properly, serves as the scaffold for assembly of the remainder of the transcription complex, and acts as achannel for regulatory signals. TFIID is composed of the TATA-binding protein (TBP) and a group of evolutionarilyconserved proteins known as TBP-associated factors or TAFs. TAFs may participate in basal transcription, serve ascoactivators, function in promoter recognition or modify general transcription factors (GTFs) to facilitate complexassembly and transcription initiation. This gene encodes a protein that is similar to one of the small subunits ofTFIID, TBP-associated factor 9, and is also a subunit of TFIID. TAF9 and TAF9b share some functions but also havedistinct roles in the transcriptional regulatory process. (provided by RefSeq)

Alternate Names

31kDa, DN7, DN-7Transcription-associated factor TAFII31L, Neuronal cell death-related protein 7, TAF9B RNA polymerase II, TATA box binding protein (TBP)-associated factor, TAF9-like RNA polymerase II, TATA box binding protein (TBP)-associated factor, TAF9Ltranscription associated factor TAFII31L, TAFII31LTBP-associated factor 9L, TFIID-31, transcription initiation factor IID, 31kD subunit, transcription initiation factor TFIID subunit 9B, Transcription initiation factor TFIID subunit 9-like

Gene Symbol

TAF9B

Additional TAF9b Products

Product Documents for TAF9b Antibody - BSA Free

Certificate of Analysis

To download a Certificate of Analysis, please enter a lot number in the search box below.

Product Specific Notices for TAF9b Antibody - BSA Free

This product is for research use only and is not approved for use in humans or in clinical diagnosis. Primary Antibodies are guaranteed for 1 year from date of receipt.

Loading...
Loading...
Loading...
Loading...