Skip to main content

TAF9 Antibody - BSA Free

Novus Biologicals, part of Bio-Techne | Catalog # NBP2-41266

Novus Biologicals, part of Bio-Techne

Key Product Details

Species Reactivity

Validated:

Human, Mouse, Rat

Predicted:

Bovine (100%). Backed by our 100% Guarantee.

Applications

Immunohistochemistry, Immunohistochemistry-Paraffin, Western Blot, ELISA, Immunocytochemistry/ Immunofluorescence

Label

Unconjugated

Antibody Source

Polyclonal Rabbit IgG

Format

BSA Free

Concentration

1 mg/ml

Product Specifications

Immunogen

Antibody was raised against a 17 amino acid peptide near the center of human TAF9. The immunogen is located within amino acids 110 - 160 of TAF9. Amino Acid Squence: LTAPNYRLKSLQKKAS

Specificity

Multiple isoforms of TAF9 are known to exist. TAF9 is predicted to not cross-react with other TAF family members.

Clonality

Polyclonal

Host

Rabbit

Isotype

IgG

Theoretical MW

28 kDa.
Disclaimer note: The observed molecular weight of the protein may vary from the listed predicted molecular weight due to post translational modifications, post translation cleavages, relative charges, and other experimental factors.

Description

Novus Biologicals Rabbit TAF9 Antibody - BSA Free (NBP2-41266) is a polyclonal antibody validated for use in IHC, WB, ELISA and ICC/IF. All Novus Biologicals antibodies are covered by our 100% guarantee.

Scientific Data Images for TAF9 Antibody - BSA Free

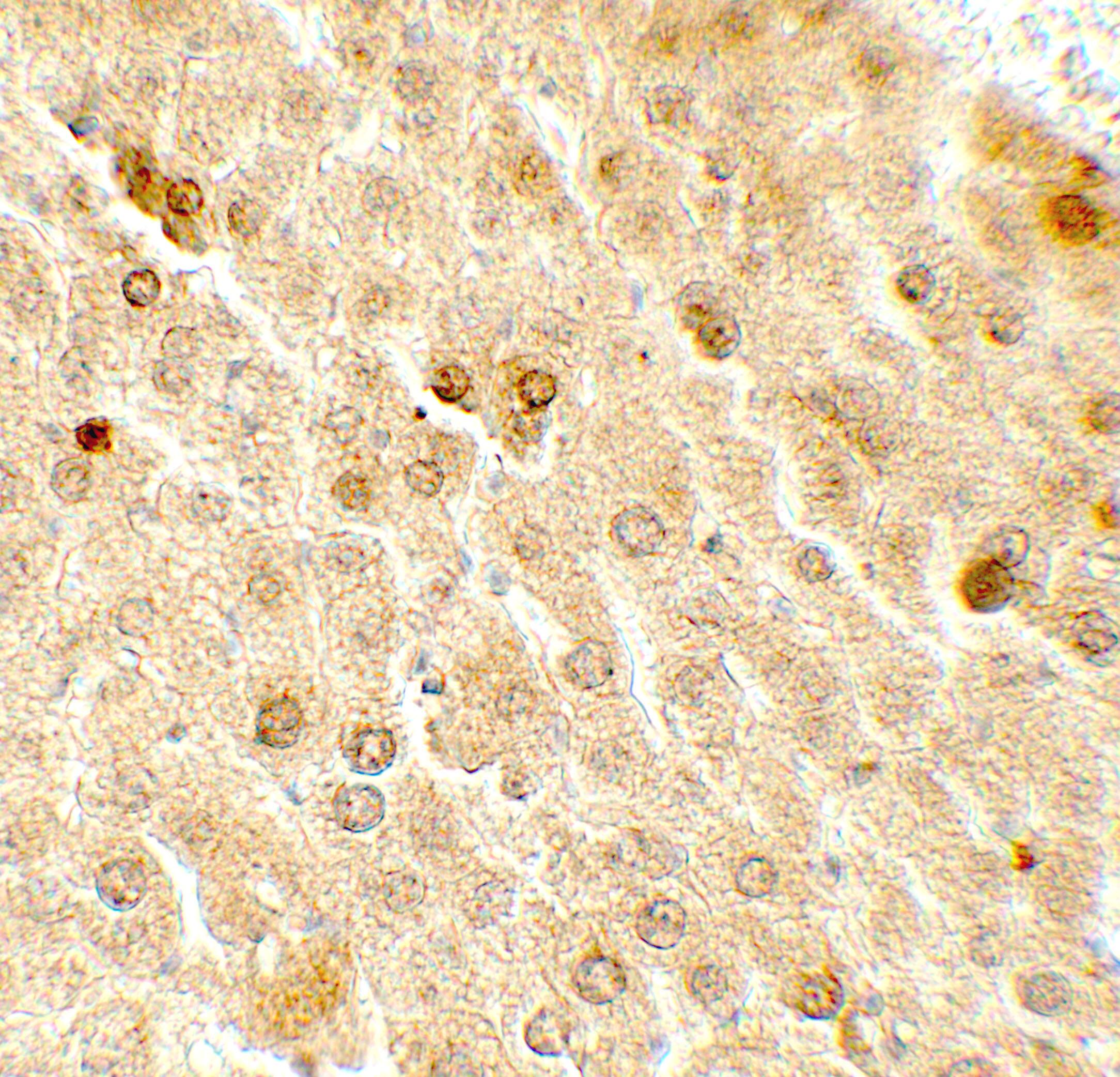
Immunohistochemistry: TAF9 Antibody - BSA Free [NBP2-41266]

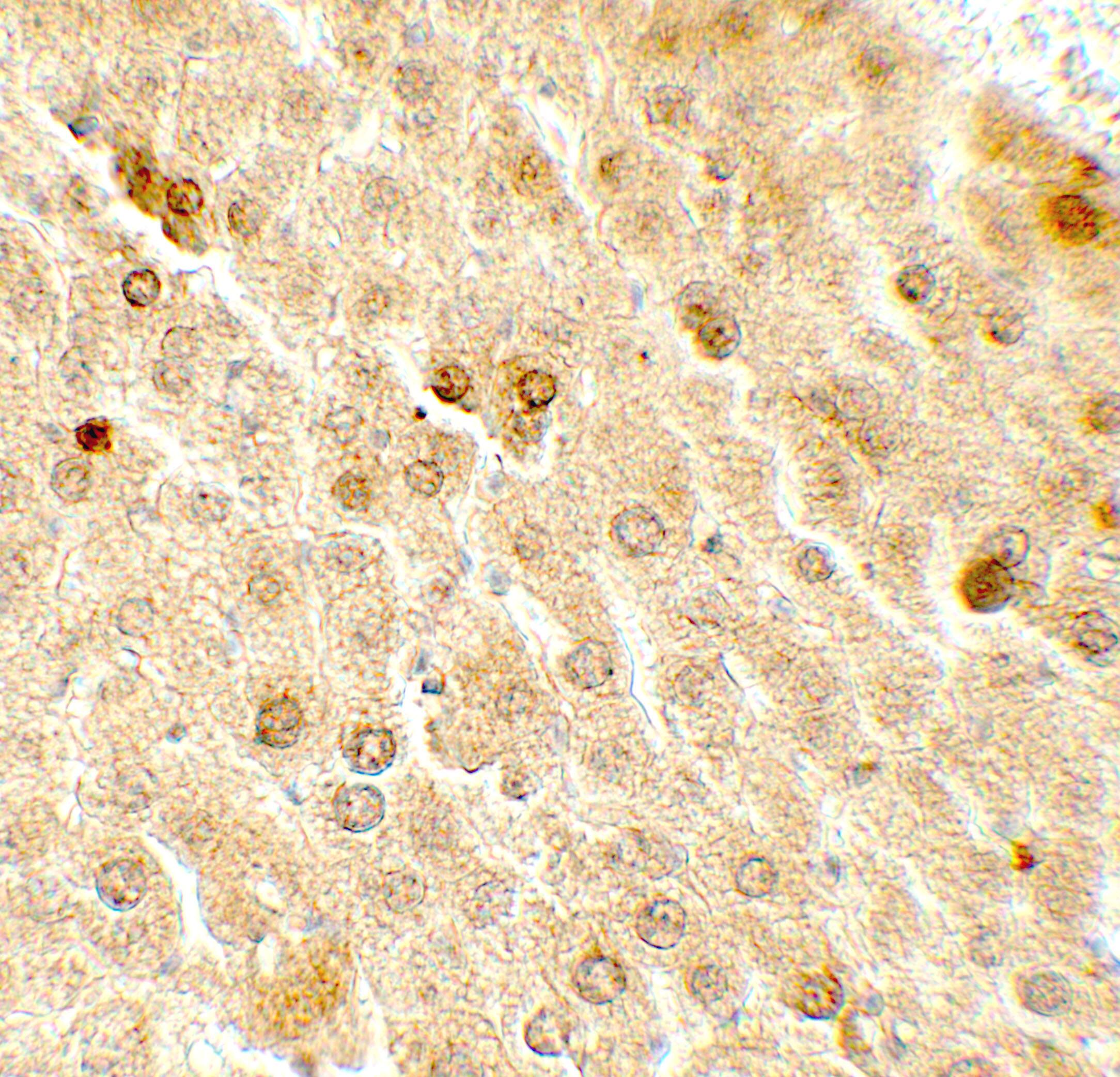
Immunohistochemistry: TAF9 Antibody - BSA Free [NBP2-41266]

Immunohistochemistry: TAF9 Antibody [NBP2-41266] - TAF9 in mouse liver tissue with TAF9 antibody at 5 ug/mL.
TAF9 Antibody - BSA Free

Immunohistochemistry: TAF9 Antibody - BSA Free [NBP2-41266] -

Immunohistochemistry: TAF9 Antibody - BSA Free [NBP2-41266] - Immunohistochemistry of TAF9 in mouse liver tissue with TAF9 antibody at 5 ug/mL.
TAF9 Antibody - BSA Free

Immunocytochemistry/ Immunofluorescence: TAF9 Antibody - BSA Free [NBP2-41266] -

Immunocytochemistry/ Immunofluorescence: TAF9 Antibody - BSA Free [NBP2-41266] - Immunofluorescence of TAF9 in mouse liver tissue with TAF9 antibody at 20 u/mL.

Applications for TAF9 Antibody - BSA Free

Application
Recommended Usage

Immunocytochemistry/ Immunofluorescence

20 ug/ml

Immunohistochemistry

5 ug/ml

Immunohistochemistry-Paraffin

5 ug/ml

Western Blot

1-2 ug/ml

Formulation, Preparation, and Storage

Purification

Peptide affinity purified

Formulation

PBS

Format

BSA Free

Preservative

0.02% Sodium Azide

Concentration

1 mg/ml

Shipping

The product is shipped with polar packs. Upon receipt, store it immediately at the temperature recommended below.

Stability & Storage

Store at 4C short term. Aliquot and store at -20C long term. Avoid freeze-thaw cycles.

Background: TAF9

TAF9 - TAF9 RNA polymerase II, TATA box binding protein (TBP)-associated factor, 32kDa

Alternate Names

EC 2.7.4.3, MGC:5067, MGC1603, RNA polymerase II TBP-associated factor subunit G, STAF31/32, TAF2G, TAF9, TAF9 RNA polymerase II, TATA box binding protein (TBP)-associated factor, 32kDa, TAFII31, TAFII-31, TAFII32, TAFII-32, TAFIID32, transcription initiation factor TFIID 31 kD subunit, Transcription initiation factor TFIID 31 kDa subunit, Transcription initiation factor TFIID 32 kDa subunit, transcription initiation factor TFIID subunit 9

Gene Symbol

TAF9

Additional TAF9 Products

Product Documents for TAF9 Antibody - BSA Free

Certificate of Analysis

To download a Certificate of Analysis, please enter a lot number in the search box below.

Product Specific Notices for TAF9 Antibody - BSA Free

This product is for research use only and is not approved for use in humans or in clinical diagnosis. Primary Antibodies are guaranteed for 1 year from date of receipt.

Loading...
Loading...
Loading...
Loading...