Skip to main content

TAF15 Antibody - BSA Free

Novus Biologicals, part of Bio-Techne | Catalog # NBP3-38548

Novus Biologicals, part of Bio-Techne
Catalog #
Availability
Size / Price
Qty
Loading...
NBP3-38548-20ul
NBP3-38548-100ul

Key Product Details

Species Reactivity

Human

Applications

ELISA, Immunocytochemistry/ Immunofluorescence, Immunohistochemistry, Immunohistochemistry-Paraffin, Immunoprecipitation, Western Blot

Label

Unconjugated

Antibody Source

Polyclonal Rabbit IgG

Format

BSA Free

Concentration

Please see the vial label for concentration. If unlisted please contact technical services.

Product Specifications

Immunogen

Recombinant fusion protein containing a sequence corresponding to amino acids 1-280 of human TAF15 (NP_631961.1).

Sequence:
MSDSGSYGQSGGEQQSYSTYGNPGSQGYGQASQSYSGYGQTTDSSYGQNYSGYSSYGQSQSGYSQSYGGYENQKQSSYSQQPYNNQGQQQNMESSGSQGGRAPSYDQPDYGQQDSYDQQSGYDQHQGSYDEQSNYDQQHDSYSQNQQSYHSQRENYSHHTQDDRRDVSRYGEDNRGYGGSQGGGRGRGGYDKDGRGPMTGSSGGDRGGFKNFGGHRDYGPRTDADSESDNSDNNTIFVQGLGEGVSTDQVGEFFKQIGIIKTNKKTGKPMINLYTDKDTG

Clonality

Polyclonal

Host

Rabbit

Isotype

IgG

Theoretical MW

62 kDa.
Disclaimer note: The observed molecular weight of the protein may vary from the listed predicted molecular weight due to post translational modifications, post translation cleavages, relative charges, and other experimental factors.

Description

Novus Biologicals Rabbit TAF15 Antibody - BSA Free (NBP3-38548) is a polyclonal antibody validated for use in IHC, WB, ELISA, ICC/IF and IP. All Novus Biologicals antibodies are covered by our 100% guarantee.

Scientific Data Images for TAF15 Antibody - BSA Free

TAF15 Antibody

Western Blot: TAF15 Antibody [NBP3-38548] -

Western Blot: TAF15 Antibody [NBP3-38548] - Western blot analysis of various lysates using TAF15 Rabbit pAb at 1:1000 dilution.
Secondary antibody: HRP-conjugated Goat anti-Rabbit IgG (H+L) at 1:10000 dilution.
Lysates/proteins: 25ug per lane.
Blocking buffer: 3% nonfat dry milk in TBST.
Detection: ECL Enhanced Kit.
Exposure time: 5s.
TAF15 Antibody

Immunoprecipitation: TAF15 Antibody [NBP3-38548] -

Immunoprecipitation: TAF15 Antibody [NBP3-38548] - Immunoprecipitation analysis of 200 ug extracts of SKOV3 cells using 3 ug TAF15 antibody. Western blot was performed from the immunoprecipitate using TAF15 antibody at a dilution of 1:1000.
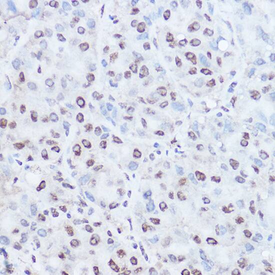
TAF15 Antibody

Immunohistochemistry: TAF15 Antibody [NBP3-38548] -

Immunohistochemistry: TAF15 Antibody [NBP3-38548] - Immunohistochemistry analysis of paraffin-embedded Human liver cancer using TAF15 Rabbit pAb at dilution of 1:100 (40x lens). High pressure antigen retrieval performed with 0.01M Citrate Bufferr (pH 6.0) prior to IHC staining.

Applications for TAF15 Antibody - BSA Free

Application
Recommended Usage

Immunocytochemistry/ Immunofluorescence

1:50 - 1:200

Immunohistochemistry-Paraffin

1:50 - 1:200

Immunoprecipitation

0.5ug - 4ug antibody for 200ug - 400ug extracts of whole cells

Western Blot

1:500 - 1:2000

Formulation, Preparation, and Storage

Purification

Affinity purified

Formulation

PBS (pH 7.3), 50% glycerol

Format

BSA Free

Preservative

0.02% Sodium Azide

Concentration

Please see the vial label for concentration. If unlisted please contact technical services.

Shipping

The product is shipped with polar packs. Upon receipt, store it immediately at the temperature recommended below.

Stability & Storage

Store at -20C. Avoid freeze-thaw cycles.

Background: TAF15

Initiation of transcription by RNA polymerase II requires the activities of more than 70 polypeptides. The protein that coordinates these activities is transcription factor IID (TFIID), which binds to the core promoter to position the polymerase properly, serves as the scaffold for assembly of the remainder of the transcription complex, and acts as a channel for regulatory signals. TFIID is composed of the TATA-binding protein (TBP) and a group of evolutionarily conserved proteins known as TBP-associated factors or TAFs. TAFs may participate in basal transcription, serve as coactivators, function in promoter recognition or modify general transcription factors (GTFs) to facilitate complex assembly and transcription initiation.

Alternate Names

68kDa, hTAFII68, Npl3, RBP56TAFII68, RNA-binding protein 56, TAF(II)68, TAF15 RNA polymerase II, TATA box binding protein (TBP)-associated factor, TAF2NRBP56/CSMF fusion, TATA box binding protein (TBP)-associated factor, RNA polymerase II, N, 68kD(RNA-binding protein 56), TATA box-binding protein-associated factor 2N (RNA-binding protein 56), TATA-binding protein-associated factor 2N, TBP-associated factor 15,68 kDa TATA-binding protein-associated factor

Gene Symbol

TAF15

Additional TAF15 Products

Product Documents for TAF15 Antibody - BSA Free

Certificate of Analysis

To download a Certificate of Analysis, please enter a lot number in the search box below.

Product Specific Notices for TAF15 Antibody - BSA Free

This product is for research use only and is not approved for use in humans or in clinical diagnosis. Primary Antibodies are guaranteed for 1 year from date of receipt.

Loading...
Loading...
Loading...
Loading...